近日,南昌大学第一附属医院郑泽琪、彭小平团队成功为一例大瓣环重度主动脉瓣反流患者行经心尖主动脉瓣置换手术,术后患者即刻血流动力学平稳,恢复状况良好。
南昌大学第一附属医院TAVR心脏团队心内科郑泽琪教授、彭小平教授、姜宇教授、郑耀富医师,联合心脏大血管外科、麻醉科、手术室、超声医学科等多位精英骨干,组成多学科团队,不断攀登新的技术高峰,为该地区广大心脏瓣膜病患者带来福音。
主动脉瓣大瓣环一般指瓣环测量直径>29 mm 的患者,该类患者由于主动脉根部解剖结构变异性大,无钙化难以锚定介入瓣膜,瓣膜释放后,由于应切力下降,因此存在瓣膜置入瞬间脱落移位至升主动脉及主动脉弓部或滑入左心室的风险。
患者情况:
70岁,男性。
1月前无明显诱因出现胸闷,呈间断性,活动后加重,休息数分钟后可缓解,无大汗、黑朦、胸痛等不适,症状反复发作,呈进行性加重趋势,予药物对症治疗后无明显好转。
既往史:
有心房颤动病史半年余,有脑梗死病史1月余;有肾囊肿剔除术史。
体格检查:
T 36.4℃ P 64次/分 R 20次/分 BP 102/46mmHg;
神志清楚,无颈静脉怒张,双肺呼吸音清,未闻及明显干湿性啰音;
心界扩大,心率72次/分,心律不齐,主动脉瓣听诊区可闻及舒张期杂音,未闻及心包积液
影像诊断:
1.患者主动脉瓣三叶式,瓣叶基本等大,瓣叶增厚,瓣叶未见明显钙化;
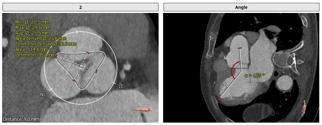
2.患者主动脉瓣环周长折算直径约30.1mm;
3.患者双侧冠脉开口高度可LCA:16.2mm,RCA:21.8mm;
4.患者术中造影角度LAO:7°,CAU:1°。
Annulus: 30.1mm
环上结构折算直径:30.3mm ;主动脉瓣环夹角:135°
左冠高度:16.2mm;右冠高度:21.8mm
LVOT: 31.5mm;窦部直径:42.7/42.0/46.9mm
窦管交界:39.9mm;升主动脉:44mm
术中造影角度LAO: 7°,Caudal: 1°
超声提示:
1、 左室射血分数52%;
2、 主动脉瓣关闭不全并有中大量反流;
3、 三尖瓣少中量反流;
4、 左心增大。
手术策略:
选用J-Valve 29mm经心尖介入主动脉瓣膜,人工缝制裙边,降低术后瓣周漏以及血流动力学异常的风险,挂线备用。
手术过程:
经食道超声心动图,再次评估患者心脏功能及主动脉瓣病变情况,再次测量主动脉瓣瓣环。心肺转流设备装机备用。
用经胸超声心动图确定心尖位置,并做好标记。常规肝素化,按照心尖标记,行第5、6 肋间左胸前外侧小切口,充分暴露心尖后将心包切开并悬吊,用3-0 Prolene 线加毛毡片完成荷包缝合。经股动脉植入6Fr鞘管,并插入猪尾造影导管至主动脉根部,造影确定主动脉瓣瓣环水平及两侧冠状动脉开口。
经心尖途径置入 J-Valve 瓣膜输送系统,在升主动脉部打开定位件,调整角度,轻轻向后牵拉输送器使定位件进入主动脉窦内。联合主动脉根部造影和食管超声观看定位件是否定位于窦底,形态随着心脏跳动而自然摆动即可。下降瓣膜至主动脉瓣环内,在主动脉瓣口释放瓣膜支架,此过程无需快速起搏。瓣膜成功释放后移除瓣膜输送系统。行主动脉根部造影及经食管超声检查,对瓣膜功能、位置情况进行术后即刻评估。确认位置良好、功能正常后,移除导丝及输送系统,并收紧心尖荷包缝线打结固定。
最后再次血管造影确认介入瓣膜位置稳定,活动良好,无瓣周漏,冠状动脉开口无阻塞。
造影显示主动脉窦部
从心尖置入输送系统
定位件入窦
瓣膜降至瓣环平面
释放瓣膜
造影确认瓣膜位置

撤出输送系统
造影确认植入效果
目前已上市的各类长支架瓣膜主要是通过支架的长度来增加与主动脉壁之间的锚定力度的,收缩期尚可,但舒张期瓣膜闭合后,舒张压力会通过闭合的瓣膜将压力传导到瓣膜金属支架上,因此没有了定位件夹持的它们就会很容易滑入左室内,这将是灾难性的后果;如将长支架用于严重AR患者,特别是这种大瓣环的患者,尤其需要依赖于其长度和强大的径向支撑力,一旦放置过深,将会增加房室传导阻滞的发生概率,那么永久性起搏器的植入率也会随之增加。研究表明,长支架瓣膜是永久性起搏器植入(Permanent Pacemaker Implantation, PPI)率增加的重要原因之一。因此,对于此类大瓣环的AR患者,经心尖TAVR有着不可替代的优势。尽管目前市场上最大规格的外径只有29mm,理论上无法满足大瓣环(ID>=29mm)患者的需求,但近期部分临床中心研究结果表明,只要保证好术中输送系统相对与瓣膜、瓣膜相对与瓣环的同轴性,一些相对较大的瓣环(如31mm)也是同样可以将其放置成功;并且在术前术者可以在金属支架周围加缝裙边,再通过挂线的方式施以双保险,防止瓣膜移位至升主动脉(dislocation into the ascending aorta)。
团队介绍:
南昌大学第一附属医院心脏瓣膜团队由郑泽琪教授、彭小平教授牵头组建,联合心脏大血管外科、麻醉科、手术室、超声医学科等多个学科组成多学科团队,整合了多个部门精英骨干,聚焦经导管心脏瓣膜病介入治疗,制定了精细的术前筛查、手术计划,术中精诚合作,术后精细管理,为每一位心脏瓣膜疾病患者提供最优化的治疗方案。团队自2018年组建以来,已完成60余例TAVR手术,包括全国首例经腋动脉入路无造影剂TAVR手术、江西省首例一站式TAVR+PCI术、江西省首例可回收TAVR术及江西省年龄最大(90岁超高龄患者)TAVR手术,江西省首例主动脉脑保护下TAVR手术,取得了良好的社会反响。
专家简介
郑泽琪
南昌大学第一附属医院
主任医师、教授、博士研究生导师,心内科主任,江西省高血压病研究所副所长,中国胸痛中心、中国心衰中心、中国高血压达标中心核查专家,中国心衰中心联盟专家委员会常务委员,中国高血压联盟第六届理事会理事,中国卒中学会心血管病分会第一届委员会常务委员,中国医师协会心血管内科医师分会第五届委员会委员,中国医师协会高血压专业委员第三届委员会委员,中国临床医学会江西省心血管专业委员会常务委员,江西省整合医学会心血管病专业委员会主任委员,江西省中西医结合学会第四届心血管病专业委员会主任委员,江西省介入心脏病学会冠心病诊疗专业委员会副主任委员,江西省医学会心血管学会第九届委员会副主任委员等。
彭小平
南昌大学第一附属医院
主任医师、教授,医学博士,博士研究生导师,留美归国学者,井冈学者特聘教授,南昌大学第一临床学院内科学教研室副主任,南昌大学第一附属医院胸痛中心主任、心内科行政副主任。
国家卫计委冠脉介入培训导师,国家心血管专科规范化培训导师,美国AHA会员、CTOCC成员、CTO老伙计成员,CIT工作组成员,全国高等医学教育学会诊断学分会委员,中国健康医学教育PBL联盟理事。
江西省医学会介入心血管病学分会候任主任委员,江西省中西医结合学会心血管专业委员会/脑心同治专业委员会副主任委员,江西省医师协会心血管专业委员会副会长,江西省医学会心血管专业委员会常委。担任总教练/副总教练带领学生团队获得全国医学院校大学生临床技能竞赛,获华东赛区特等奖/一等奖,全国二等奖。主持国家自然科学基金3项,发表SCI等论文数十篇。
全国青年岗位能手,国家卫健委医政管理局颁发的“改善医疗服务突出贡献工作者”。江西省抗击新冠肺炎疫情先进个人,南昌大学十大教学标兵,南昌大学优秀共产党员。
姜宇
南昌大学第一附属医院
胸痛中心副主任,副主任医师,硕士生导师,亚洲心脏病学会理事,中国冠状动脉慢性闭塞病变介入治疗俱乐部(CTOCC)会员,江西省医学会介入心血管病学会委员,江西省医学会第七届心血管病学专业委员会委员。中国生物医学工程学会心脏起搏与电生理分会江西省常委,江西省心电协会常务理事。
从事心血管内科、心脏介入治疗,从事心脏介入多年,能熟练完成起搏器安装、射频消融、先心封堵、冠脉介入等介入手术,擅长心血管疾病治疗,急性心肌梗死,严重心律失常,心源性休克,急性心功能不全,高血压,冠心病,心力衰竭的抢救及心血管介入手术。
郑耀富
南昌大学第一附属医院
主治医师,主要从事冠心病、结构性心脏病介入手术,擅长先天性心脏病介入术、左心耳封堵术、心血管超声等;江西省心血管介入心脏病学会青年专业委员会常务委员;江西省整合医学学会睡眠医学分会委员。