近期,温州医科大学附属第二医院吴连拼院长团队接连挑战两例高难度冠脉高风险主动脉瓣TAVR手术。术中,吴连拼院长带领团队运用纯熟的TAVR技术,确保了患者术后恢复状况良好。随着两例手术的成功实施,不仅极大鼓舞了团队士气,更是造福了周边地区广大主动脉瓣重度狭窄的患者。
病例一
患者男性,69岁,10余年前在从事重体力活后偶感胸闷胸痛,呈闷压感,停下休息后胸闷胸痛可缓解,查心脏B超显示“主动脉瓣退变伴重度狭窄、中度关闭不全”,合并中度肺动脉高压,心功能不全(NYHA II级)。吴连拼院长团队对其病变进行深入分析、反复讨论后,考虑该患者病情复杂,外科开胸风险较大,瓣膜情况复杂,病情严重。决定为该主动脉瓣重度狭窄患者行经导管主动脉瓣置换术(TAVR)。
CT评估报告
瓣环平均直径:26.0 mm,左室流出道平均直径:28.1 mm
升主动脉未见明显扩张,心脏角度:34°
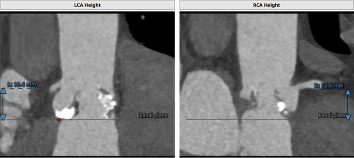
左冠开口高度:16.4 mm;右冠开口高度:15.6 mm
钙化积分:606 mm³,重度钙化
左冠瓣叶长度:19.2 mm,右冠瓣叶长度:17.4 mm
术前预案
由于患者瓣叶增厚且稍长,法式窦结构偏小,术者团队认为术中可能存在发生双侧冠脉阻塞的风险。结合患者主动脉根部情况及病情等综合因素,吴连拼院长在组织科室集体对患者病变进行深入分析和多次讨论后决定通过球囊预扩后予以进一步确认,必要时行冠脉保护。选用22 mm球囊预扩张。
手术过程
患者全麻后,右侧股动脉建立主入路,主动脉根部造影显示主动脉瓣明显钙化伴重度狭窄。直头导丝跨瓣后,在超硬导丝支撑下,瓣膜输送系统顺利跨瓣。在180次/分快速心室起搏下,确定降压至50mmHg后选择22mm球囊进行预扩张。根据术前评估及球囊预扩情况,最终选择进行植入。
主动脉根部造影
22mm球囊预扩
0位释放
瓣膜完整形态
术前、术后患者跨瓣压差对比
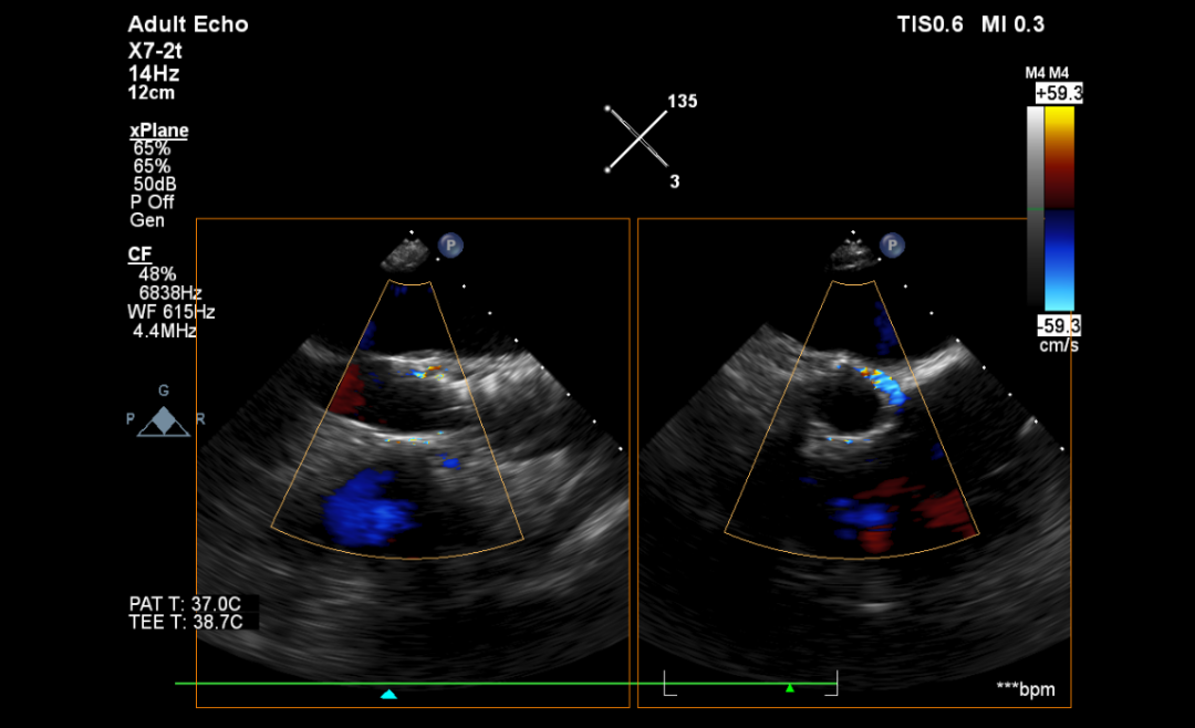
考虑患者窦部结构较小,为避免发生冠脉风险,选择不予以后扩。超声提示患者跨瓣压差即刻显著下降,反流量较术前明显改善。术中未出现相关并发症,术后患者心功能持续得到改善,效果良好,圆满取得此次手术成功。
病例二
患者,女,85岁
主诉:反复呼吸费力伴双下肢浮肿5月余,夜间阵发性呼吸困难 3天 。
既往病史:1、高血压10余年,不规则服用降压药物,血压未规律监。2、2014.05.20因“病态窦房结综合征” 行“永久起搏器植入术”
胸部CT:两肺渗出,两侧胸腔积液伴两肺下叶膨胀不全;前纵隔结节,考虑胸腺瘤,右肺上叶纤维增殖灶。
心超:主动脉退变伴重度狭窄,轻、中度反流,瓣上最大流速4.1m/s,平均压差42mmHg。
术前CT分析
瓣环
周长:68.1mm 平均直径:21.7mm
法氏窦
直径:25.3*24.2*25.1mm
窦管结合部
平均直径:25.8mm
升主动脉
平均直径:31.9mm
左冠高度高度:14.6mm
右冠高度高度:9.8mm
主动脉瓣角度 44°
钙化积分68mm³
右冠
术前预案
手术过程
右冠保护
第一次释放
第二次释放
反复造影确认冠脉风险
总结
吴连拼院长总结到冠脉堵塞风险,评估的是相对有效安全空间(瓣叶长度、厚度、钙化形态)。术中冠脉切线位球囊预扩仔细观察瓣叶和冠脉开口的距离及瓣叶活动情况,如果提示阻塞风险极高,应终止手术,不可心存侥幸。选择合适的器械,比如有收腰设计的瓣膜在应对冠脉风险时更有优势,必要时牺牲跨瓣压差和瓣周漏,选择小一号瓣膜,确保冠脉安全。对于冠脉高风险的病例,术中冠脉保护措施也很重要。
专家简介
吴连拼
温州医科大学附属第二医院
温州医科大学附属第二医院心内科,博士、主任医师;历任温医大二院医务处处长、纪委书记,现任副院长;温医大二院心内科学科带头人 ;中国心胸麻醉委员会基础与转化专业委员会常委;中国研究型医院协会心力衰竭专委会常委;中华医学会浙江省心血管专业委员会常委;中华医学会浙江省心血管专业委员会心肌疾病与遗传性心肌病变学组组长;中国创新心血管论坛主席团成员,中华医学会温州心血管专业委员会委员。日本宫崎大学、美国vanderbilt大学访问学者。第一或通讯作者发表学术论文40余篇,其中SCI论文20篇。
获浙江省科技进步奖二等奖一项,浙江省医药科技创新奖两项,主持国自然、省级课题多项,参编考译专著二部。擅长于心血管疾病的诊治。作为PI参加十五项药物临床研究(涵盖1,2,3,4期药物临床研究)。
