日月其迈,岁律更新。在历史即将翻开新的一页之际,华中科技大学同济医学院附属协和医院董念国教授团队应用TruDelta®经导管二尖瓣瓣膜系统为一位高龄、高风险、严重二尖瓣关闭不全的患者成功实施经导管二尖瓣置换手术,为2021年交出了一份圆满的答卷。此次手术使用的器械为江苏臻亿医疗科技有限公司研发的一款心尖锚固式瓣膜系统。据悉,进行此种锚固技术路线解决方案的临床应用在国内尚属首次,手术的成功代表着臻亿医疗二尖瓣介入置换器械创新研发迈上新台阶,也标志着国内二尖瓣介入置换临床技术已达到国际先进水平。在瓣膜领域各界人士的共同努力下,此种创新产品和技术将挽救更多生命,让更多中国患者重获生机。
患者资料
手术患者为一位高龄女性,多年来有间断发作的活动后心慌症状,近1年来患者胸闷气喘日益加重,呼吸困难,严重影响日常生活,于12月21日到武汉协和医院就诊,超声心动图检查显示二尖瓣口收缩期左房侧见大量反流信号;二尖瓣重度关闭不全;左心增大;左室收缩功能测值临界;心律失常。经武汉协和医院专家团队进行深入分析,反复讨论后最终决定采用国产二尖瓣瓣膜系统(TruDelta®)为患者进行微创介入二尖瓣置换术。
术前CT:收缩期NeoLVOT
术前CT:瓣环直径
手术过程
该例手术在纯超声引导下进行,从输送到瓣膜植入完成,仅用时20分钟。
手术采用心尖入路,术中利用TEE引导确定心肌穿刺点,穿刺后导丝顺利跨二尖瓣进入左心房;TEE引导反复确认导丝未从腱索中穿过后,沿导丝推进输送系统,开始释放瓣膜;在二维和三维超声引导下完成同轴定位、D型定位后,完全释放瓣膜,撤出输送系统;最后根据血压调整瓣膜张力,进行心尖固定。
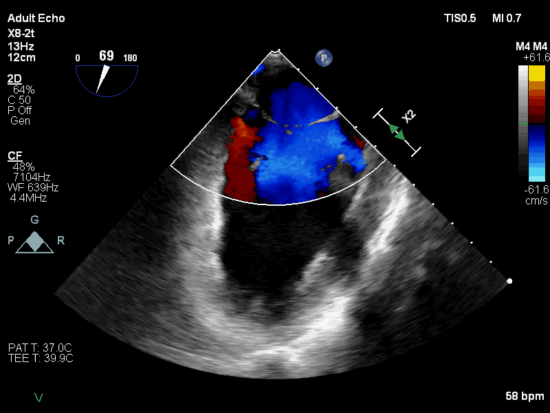
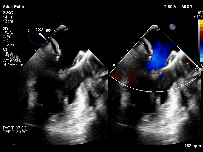
术后即刻超声心动图评估显示二尖瓣瓣膜释放位置精准,锚定稳固,无瓣周漏和中心反流,瓣膜工作形态良好,手术取得圆满成功。



术后,董念国教授表示“近年来越来越多的外科术式可以采用介入的方式进行,他的优点是创伤小、恢复快,操作便捷。TruDelta®经导管二尖瓣瓣膜系统锚固路线安全可靠,创新设计可以避免左心室流出道阻塞;具有可回收的性能便于调整植入位置;依靠心尖固定既不损伤瓣叶或瓣环又不易移位。患者适用范围更广,手术易操作,具有很好的临床推广前景,期待这款产品能造福更多患者。”
突破创新 蓄势待发
TruDelta®是国产首个心尖锚固式二尖瓣介入瓣膜,采用稳固的锚固机制和瓣环下支架锥型设计,适用于绝大多数二尖瓣疾病患者,可在纯超声引导下完成手术。此次手术的成功,证明了TruDelta®经导管二尖瓣瓣膜系统的安全性和有效性,也证明了国产二尖瓣介入置换器械突破瓶颈制约,已达到国际先进水平,进一步优化和补足了国内现有二尖瓣疾病的治疗手段。
莫道前路多险阻,再闯关山千万重。TruDelta®经导管二尖瓣瓣膜系统即将在寅虎之年联合云南阜外心血管病医院、华中科技大学同济医学院附属协和医院等开展多中心临床研究。
同时间赛跑,同历史并进。当前,臻亿医疗是国内唯一在二尖瓣修复、置换双擎发力且均有产品进入临床的创新企业,在面对难题和挑战之时,他们劈荆斩浪、勇往直前,期待未来能为二尖瓣国产介入器械高质量发展添能蓄势,创新更多技术为中国广大心脏瓣膜疾病患者带来新希望,为中国心血管医疗器械行业繁荣推进贡献智慧和力量!