“蜀道难”|重庆医科大学附属第一医院心内科何泉主任医师团队用无鞘法完成一例高难度一站式TAVR

“蜀道难,难于上青天”,千百年前李白面对蜀道的峥嵘与崎岖,不由的发出感概,现如今医科重庆医科大学附属第一医院何泉主任医师团队同样遇到了一例“路径险峻”的主动脉瓣狭窄患者。该患者的双侧股动脉、颈动脉均不符合入路条件,为手术通路的建立带来了较高挑战,且患者左冠脉存在狭窄,瓣叶冗长盖过冠脉开口,具有一定冠脉阻塞风险,种种因素导致手术难度陡然增加。何泉主任医师团队经过反复分析研判,灵活制定手术策略,采用了PCI+无鞘法TAVR的手术策略来应对挑战,最终手术获得圆满成功,患者症状得到即刻改善,术后无并发症的发生。

图片

心内科何泉主任医师团队


患者基本情况


患者:男性,60岁。

主诉:半年前无明显诱因出现活动后喘累,多于活动时间长、剧烈活动后发生,休息后可缓解。

现病史:

①肌酐500mmol/L  CKD5期  脑梗(恢复期);

②发现血压升高17+年,最高血压200/102mmHg,平素规律口服硝苯地平控释片+卡维地洛降压治疗,血压控制差,20天前调整为硝苯地平控释片30mg bid+硝苯地平缓释片20mg bid控制血压;

③发现血糖升高10+年,长期规律予以门冬30胰岛素14iu(早q)+8iu(晚)+瑞格列奈控制血糖,20天前调整为“达格列净10mgqd”控制血糖,血糖控制尚可;

术前检查


超声提示:主动脉瓣重度狭窄伴中度关闭不全,主动脉瓣口面积:0.8cm2主动脉向前速度:418cm/s,左房增大(40mm),左室肥厚伴舒张功能减退,少量心包积液,EF:64%。


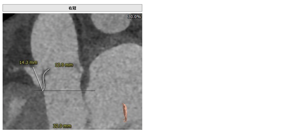
CT检查

图片
图片
图片
图片
图片
图片
图片
图片
图片
图片
图片
图片
图片
图片


手术策略


难点分析

①患者因规律透析导致钙磷代谢紊乱,外周血管斑块钙化严重,最狭窄处仅2.8mm,通路建立难度极大(左右颈动脉均不符合入路条件);

②主动脉根部钙化较轻,瓣叶肥厚,各交界缘不同程度粘连,瓣膜释放后具有瓣周漏风险;

③左冠高度不高,且瓣叶冗长,达冠脉开口层面,且冠脉存在狭窄,存在冠脉阻塞的风险;

制定策略

确保冠脉安全,拟采取PCI+TAVR一站式手术策略,因患者右侧股动脉钙化严重、入路狭窄,拟采取无鞘法从右股动脉穿刺入路,选用20mm球囊预扩、L23号VenusA-Valve瓣膜、采用VenusA-Plus输送系统确保瓣膜的精确释放,瓣膜释放后结合造影和超声情况,决定是否后扩。

术中影像


图片

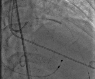
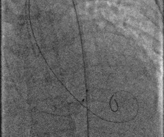
左冠造影

图片

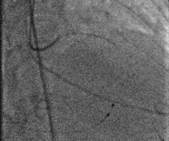
左冠球扩

图片

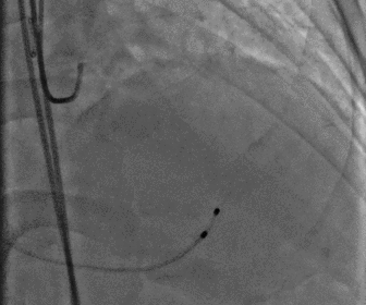
左冠支架植入

图片

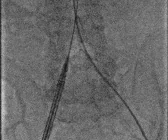
股动脉造影

图片

18f鞘芯预扩张

图片

球囊预扩

图片

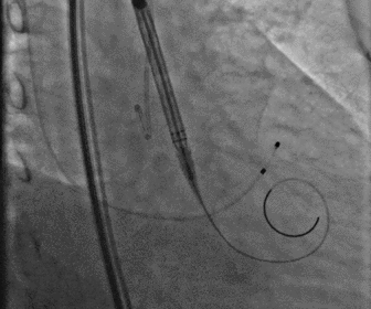
无鞘法上输送器

图片

定位胶囊腔

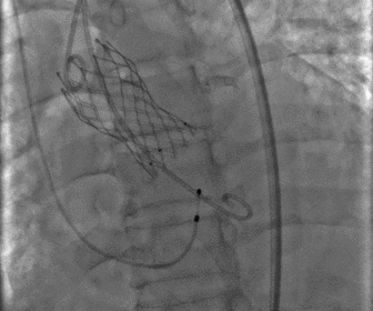
图片

瓣膜释放完毕

图片

股动脉术后造影

术后结果


术后造影及超声探查未见瓣周漏,跨瓣压差术前54mmHg,术后降为0mmHg,术中及术后未出现相关并发症,手术圆满完成。


专家简介


图片


重庆医科大学附属第一医院

何泉

心血管内科医师

医学博士 主任医师

  现任重庆市医学会心电生理和起搏专业委员会副主任委员;重庆市医学会心血管专委会委员;中华医学会心血管病学专委会大血管学组委员;中华医学会心电生理与起搏分会心脏性猝死预防工作委员会委员;中国生物医学工程学会心律分会房颤工作委员会委员;中华中医药学会介入心脏病学分会常务委员;中华心律失常杂志通讯编委;重庆市冠心病介入诊疗质量控制中心常务副主任;国家卫计委冠心病介入诊疗、心律失常介入诊疗培训基地导师。1995年毕业于重庆医科大学,于德国西德心脏中心、加拿大南湖医院心律失常诊治中心学习。2001年开始心血管疾病介入诊疗工作,擅长经导管主动脉瓣置换术、房颤、房速(房扑)、室性早搏、室速等复杂心律失常导管射频消融,并受邀在西南地区多家医院指导并推广这一技术,同时在冠心病介入,心脏起搏,心衰CRT/ICD植入方面亦有较高造诣。主持或参与多项国家级及省部级研究课题,国内外专业杂志发表论文20余篇,参编专著及卫生部规划教材多部。


图片
阅读数: 2973