全世界大约有3300万人患有房颤,这是一种常见的心律失常,这使他们中风的可能性比正常心律的人高5倍。在NVAF患者中,超过90%的与心脏有关的血块形成于左心耳。口服抗凝药物治疗成为预防中风的首要治疗策略,但部分患者因各种原因未能应用口服抗凝药物治疗,左心耳封堵术(LAAO)成为有效的替代治疗新方法。
根据联合国开发计划署2020年12月发布的《2020人类发展报告》数据显示,男性平均寿命最长的地区分别为:瑞士、香港、冰岛;而女性平均寿命最长的地区分别为香港、日本、澳门,澳门地区女性平均寿命87.62岁。作为长寿地处之一,澳门镜湖医院自2014年已开展左心耳封堵术,为不能耐受口服抗凝药物治疗的患者提供更好的治疗。
2021年澳门镜湖医院在疫情下成功开展新一代WATCHMAN FLX左心耳封堵系统,是亚太地区中继澳洲、香港后第三个应用此系统的城巿。目前已完成WATCHMAN FLX 12例,成功植入率100%,术中、术后无心包积液等手术相关并发症发生。
WATCHMAN自2015年获批准以来,目前是美国唯一可用于临床的左心耳封堵器。PINNACLE FLX研究是美国FDA的一项前瞻性、非随机多中心研究,评估了新一代WATCHMAN FLX 左心耳封堵器在非瓣膜性房颤患者中的安全性和有效性。主要的安全性终点是在手术后7天内或出院后发生以下事件之一,以较晚者为准:死亡、缺血性中风、全身性栓塞或与心脏/器械相关的需要心脏手术的事件。主要的有效性终点是有效的左心耳闭合率(封堵器周围渗漏≤5mm),由核心实验室在第12个月进行心超随访评估。
研究一共纳入了400例患者,平均年龄73.8±8.6岁,平均CHA2DS2-VASc评分为4.2±1.5。主要安全性终点发生率为0.5%,CI95%的单侧上限为1.6%,达到了4.2%的绩效目标(P<0.0001)。主要有效性终点的发生率为100%,CI95%的单侧上限为99.1%,达到了97.0%的绩效目标(P<0.0001)。有7例患者发现了与器械相关的血栓,没有需要进行心脏直视手术的心包积液病例,也没有器械栓塞。结果发现新一代左心耳封堵器不良事件的发生率很低,术后7天内或出院时发生安全性终点事件仅为0.5%(2/400);解剖学闭合非常高,有效率(封堵器周围渗漏<5 mm)达到了为100.0%。
带有18个周边固定锚钉(2排×9设计)的自膨胀镍钛合金框架,以及覆盖面向心房表面的可渗透聚酯纤维。虽然是5种尺寸,但覆盖左心耳直径范围比上一代大一些(14-31.5 mm)。封堵器远程为封闭式无创伤设计减少了穿孔和心包积液的风险。
新一代封堵器同时配有两排J形固定锚钉(2排18个,上一代10个),有利于植入控制和植入后的稳定性,还有完全和部分重新回收和释放的能力,从而减少了器械周围渗漏,也降低了器械掉落栓塞的风险。
中心的螺纹插入件新一代设计成凹入的,这可以减少裸露的金属表面,从而有可能改善愈合效果并减少与封堵器相关的血栓(DRT)。
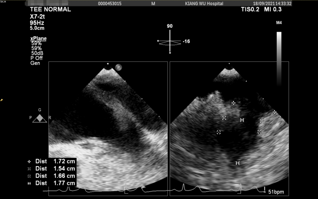
2021年9月18日成功置入澳门特别行政区首例WATCHMAN FLX左心耳封堵器
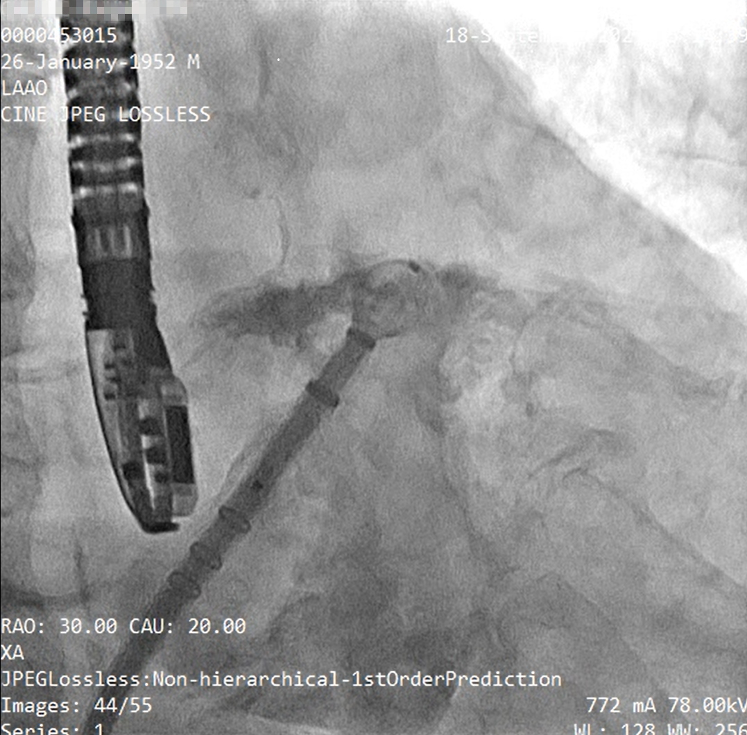
食道超声及左心耳造影
释放左心耳封堵器呈〝FLX BALL〞
经造影及食道超声检查后释放WATCHMAN FLX左心耳封堵器
专家简介
谭冠昶
澳门镜湖医院
专业擅长:冠心病诊治及介入治疗,目前已完成PCI术超过3000例,其中包括左主干病变、CTO例数超过200例,熟练掌握多种钙化病变器材操作,包括:ROTA旋磨系统、DIAMONDBACK 360旋磨系统、SHOCKWAVE冲击波球囊等;心律失常诊治及起搏器植入术,目前己完成单腔起搏器、双腔起搏器、ICD及CRTD起搏器超过100例,无导线起搏器(MICRA)160例;结构性心脏病诊治及介入治疗:目前已完成左心耳封堵术(LAAO)100例、经导管二尖瓣夹合术(MITRACLIP)30例、经导管主动脉瓣置换术(TAVI)20例;心源性休克、危重症诊治,熟练掌握主动脉球囊反搏器(IABP)、体外膜肺氧合(ECMO)等危重情况抢救器材操作。
社团职务:亚太结构性心脏病青年俱乐部黄金会员;中国医师协会心脏重症委员会交叉学科与心脏疾病学组委员;中国大湾区心脏协会常务理事;中国大湾区心脏协会泛血管医学分会副主任委员;中国大湾区心脏协会结构性心脏病分会常务委员;中国大湾区心脏协会心律学专业委员会委员;澳门医学专科学院内科分科学院心脏科院士;澳门医学专科学院内科分科学院院务委员会成员;澳门介入心血管病学会理事长;澳门心脏病学会副主席;澳门临床内科学会心脏分部部长。
