他人之石 可以攻玉——前降支起始部完全闭塞伴严重钙化及迂曲一例。
葛均波院士团队照片
病历资料
男,37岁。
主诉:反复胸痛1年、加重1小时。
现病史:患者1年前开始反复饮酒后胸痛、位于心前区、程度较轻,休息约半小时缓解;半年前剧烈活动后胸痛、部位同前,5月前就诊当地医院,CAG示LAD全闭,尝试介入未成功,遂来我院治疗。
既往病史:患者高血压史5年,“依那普利”治疗;高血脂3年,“瑞百安”治疗。
hs-cTnI:0.007 ng/mL, NT-proBNP:90 pg/mL
LVEF: 62%,左房增大,室间隔基底段增厚,左、右室壁厚度正常,左室前壁、前间壁中间段及心尖段内膜回声增强、运动协调。
入院诊断:冠心病、不稳定型心绞痛、高血压3级(极高危),高血脂症、睡眠障碍。
ECG:窦性心律、T波改变
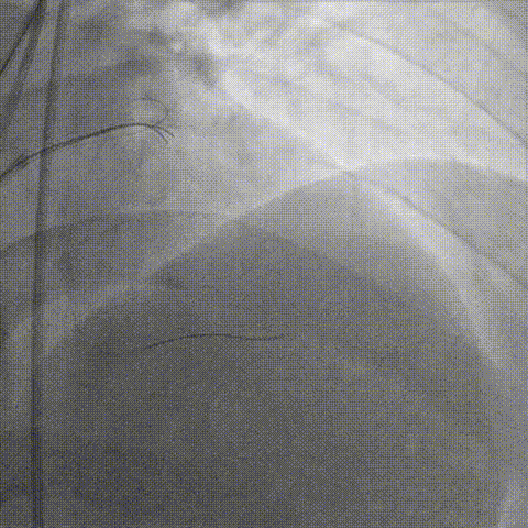
手术影像
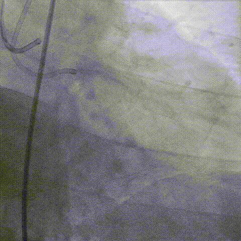
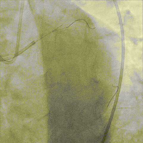
LAD开口全闭、OM开口70%
LM未见狭窄、LCX近中段40-50%狭窄
RCA 近段 60%、中段重度迂曲
策略讨论
LAD开口全闭、CTA示LAD严重钙化、RCA重度迂曲、外院尝试两次开通。
如何制定策略?
IVUS找开口、正向导丝升级技术。
若失败 、及时调整策略改逆向。
RCA重度迂曲、需使用支撑力优的器械。
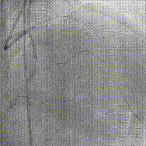
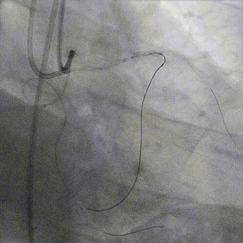
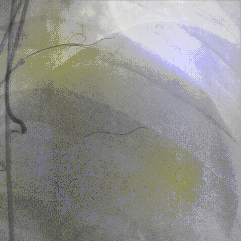
手术影像

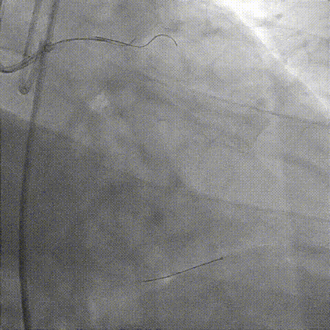
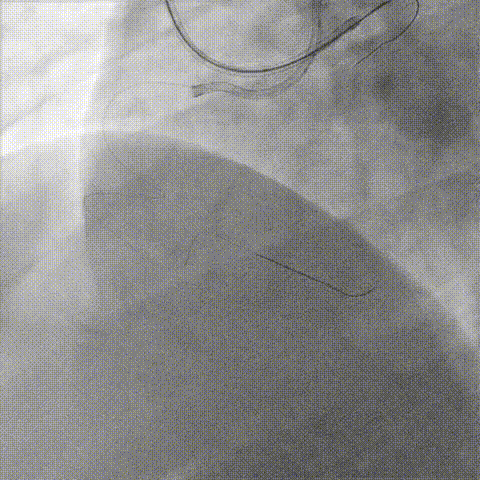
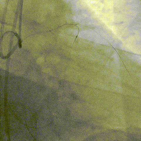
LAD pre-IVUS check RUN 1 looking for entry point
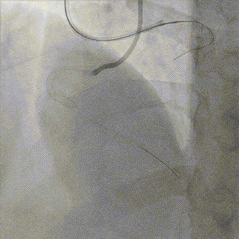
LAD SPB 3.5 SH, Sasuke, 正向尝试 Judo 1, Judo 3, Judo 6, CP, CP 8-20

正向导丝穿刺、严重钙化、走行困难
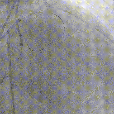
对侧造影提示导丝行至内膜下
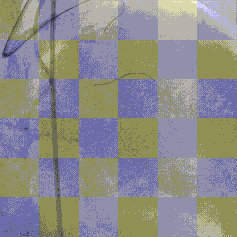
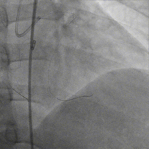
RCA AL 0.75,RCA近段 Ballon Dilatation
RCA Stent Synergy 3.5*20mm
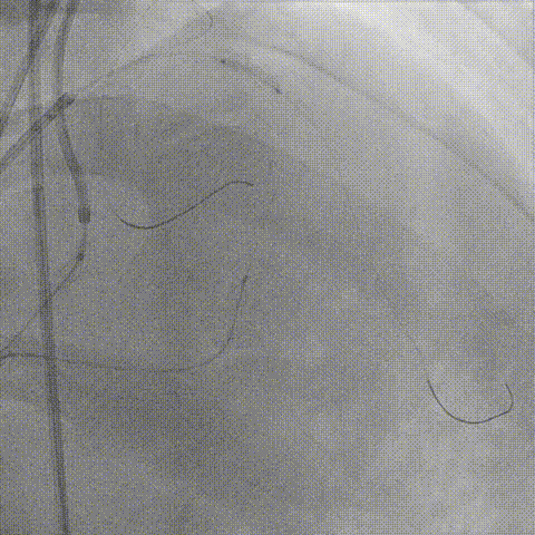
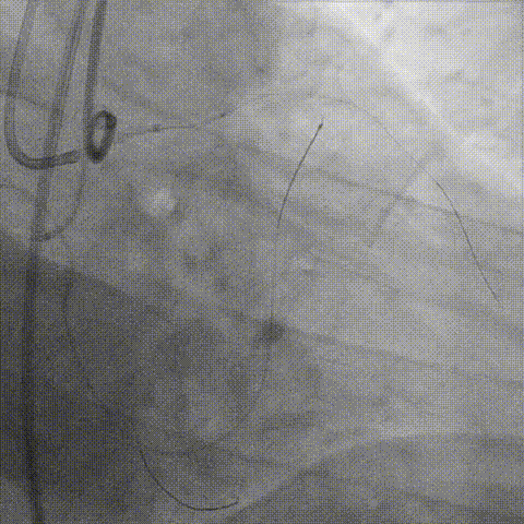
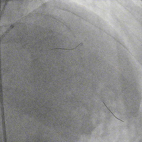
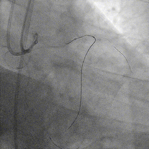
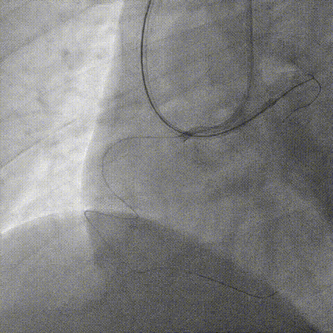
RCA中段重度迂曲、逆向联合Expressman与Mamba,因血管迂曲 Sion无法操控,换用Suoh 03通过间隔支进入LAD

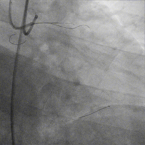
Mamba无法通过侧枝血管、深插Expressman、微导管至LAD中段、逆向先后尝试Judo 1, Judo 3, Judo 6, Gaia 3, CP 12

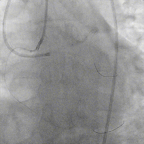
因血管钙化严重、导丝前进困难

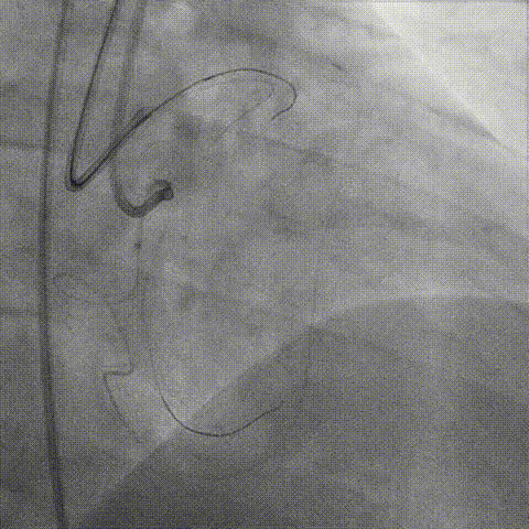
最终逆向更换Judo 6,但导丝仍进入内膜下、在逆向导丝指引下,正向选择Judo 6、LAD近段严重成角,最终Judo 6 在LAD中段与逆向Judo 6靠近

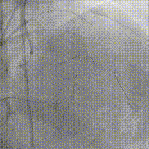
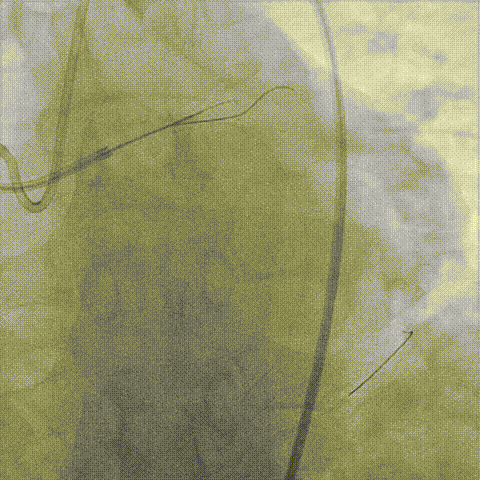
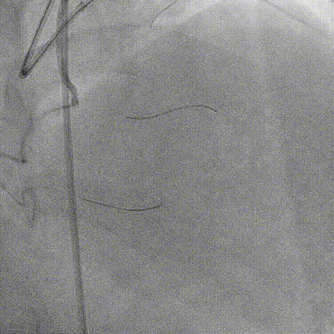
尝试反向CART技术,但1.5mm球囊无法进入严重钙化段,在正向Expressman支撑下,先后使用1.25mm, 1.0mm球囊,最高24atm
再换用2.0, 2.5球囊扩张、但仍无法完成AGT技术,遂使用3.0球囊,最终逆向导引钢丝进入正向指引导管内

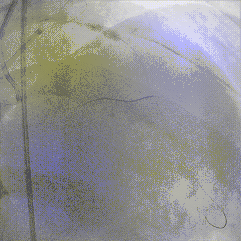
生理盐水冲洗RG3导丝(减轻导丝进入Mamba微导管手感生涩难题),顺利完成体外化
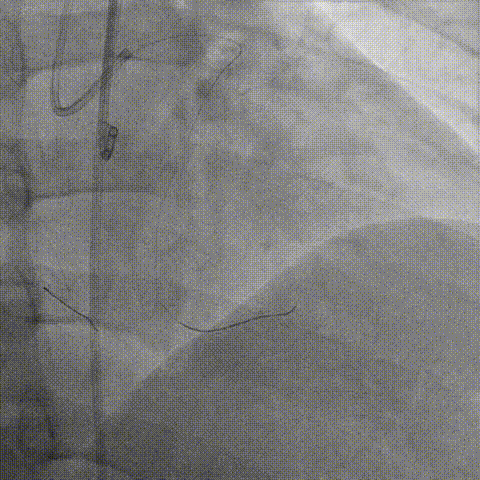
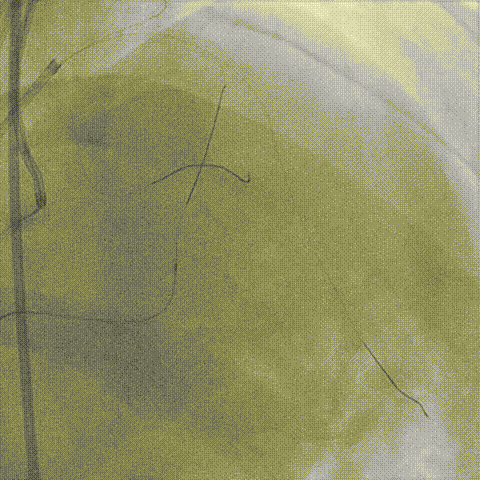
Ballon 2.5*15mm, 3.0*15mm Dilatation & IVUS check

LAD pre-IVUS check RUN 2
LAD Stent Synergy 3.5*38mm
Ballon QM 4.0*12mm, 5.0*8mm Dilatation & POT

LAD post-IVUS check RUN 3
Final result: TIMI flow grade 3
小结
CTA示LAD近中段严重钙化、LAD开口无残端、RCA极度迂曲。
首选IVUS找开口、因LM直径达6.5mm,无法看清分支方向。
正向导丝升级技术、熟悉各导丝性能、若失败及时调整手术策略。
心得体会
本次病例挑战之处在于严重钙化伴有迂曲、逆向时右冠也非常迂曲,导引钢丝无法操控,因此不管是正向还是逆向,都极为困难。
Mamba微导管使用心得:在RG3行体外化前,可使用生理盐水冲洗RG3导丝,能有效减轻RG3导丝行走于Mamba微导管内手感生涩难题。
Judo系列导丝介绍
专家简介
葛雷
复旦大学附属中山医院
主任医师;教授;复旦大学附属中山医院心内科。
2001年10月获复旦大学上海医学院(原上海医科大学)内科学临床医学博士学位,2004年3月至2005年3月在意大利米兰EMO Centro Cuore Columbus医院培训。现任复旦大学附属中山医院心脏介入中心副主任,中华医学会心血管病分会介入学组委员,卫生部冠心病介入培训基地培训导师,上海医学会冠脉介入学组副组长、欧洲心脏病学会委员(FESC),美国心血管造影与介入协会委员(FSCAI),亚太心脏介入学会委员(FAPSIC),亚太冠状动脉慢性完全闭塞病变(CTO)俱乐部(APCTO Club)主任委员,中国CTO俱乐部(CTOCC)秘书长,东方心脏病学会议(OCC)冠脉介入论坛副坛主,中日科技交流协会心血管病分分会副会长。
长期从事高危、复杂冠心病的诊断与治疗,多次在国内和国际学术会议上进行手术演示及学术报告。先后参与多项科研工作,其中包括:上海市科学技术委员会重点攻关项目:“完全可降解聚乳酸雷帕霉素冠脉支架的实验研究”(课题负责人,已结题);目前在研项目为国家科技部国家重点研发计划“全降解聚合物支架的动物和临床实验研究”(课题负责人)。
担任《冠状动脉慢性完全闭塞病变介入治疗》副主编、《冠状动脉慢性完全闭塞病变介入治疗2013》副主编、《冠状动脉慢性完全闭塞病变介入治疗2017》副主编、《冠状动脉慢性完全闭塞病变逆向介入治疗》主编,《冠状动脉慢性完全闭塞病变介入治疗:策略列、技术及病例精选》主编。
先后在JACC、JAMA、EHJ、AJC、Heart等国际著名期刊发表论文多篇。两次在韩国 AngioplastySummit 暨亚太TCT会议上获最佳论文奖。在国际上首次阐明分叉病变Crush技术最终球囊对吻的重要性、首次分析了药物洗脱支架在退化的大隐静脉桥血管的疗效和安全性,较早观察了药物洗脱支架在慢性闭塞病变的应用,以及较早提出CTO PCI手术中使用电生理模式降低射线量的观点,连续5年入选Elsevier中国高被引用学者榜单,单篇论文最高引用次数为2214次,总引用次数为15232次。
