2022年3月9日,吉林大学第一医院马大实教授、高永生教授以及团队的杨立明医生、王旭医生成功为重度主动脉瓣狭窄患者进行经导管主动脉瓣置换术(以下简称“TAVR”),在心脏超声科、麻醉科、影像科等多学科团队的密切协作下,马大实、高永生教授TAVR团队独立在全麻下应用TaurusOne为一例轻度钙化合并冠脉高风险主动脉瓣狭窄患者进行TAVR手术。术后评估冠脉显影良好、无瓣周漏、各项参数满意,手术圆满成功,从根本上解决了困扰患者多年的痛苦,为患者的寿命及生活质量均带来极大获益。
患者基本情况
患者男,62岁,因“劳累后胸闷气短8年,加重1月”入院,入院后完善心脏超声示:主动脉瓣狭窄(重度),有效瓣口面积为0.3 cm²,Vmax 4.95 m/s,PGmax 98 mmHg;PGmean 62mmHg,二尖瓣轻度病变兼中度关闭不全,双房、左室增大(LA 58mm,RA 50X63mm,LV 66mm),左室壁增厚(11mm),室壁搏动弥漫性减弱,左室收缩及舒张功能减低,三尖瓣轻-中度反流,肺动脉压力增高,心包腔微量积液,EF 31%。
结合患者症状及相关辅助学检查结果,重度主动脉瓣狭窄诊断明确,符合主动脉瓣置换术手术指征,经马大实、高永生教授TAVR团队全面讨论后,遵患者及家属意愿,拟行经导管主动脉瓣置换术。
术前CT评估
主动脉根部测量
CT特点:三叶式主动脉瓣,瓣叶轻度钙化,钙化主要位于无窦瓣叶边缘及左右窦交界处,瓣叶显著增厚伴左右窦部分融合;瓦氏窦、窦管交界内径偏小,升主动脉内径可;右冠开口高度可,左冠偏低,瓣叶冗长;非横位心。
瓣上测量
瓣上测量:瓣叶钙化较轻、增厚显著,瓣膜锚定难度稍高;左右窦交界纤维性融合存在一定限制。
弓部及入路评估
入路血管:外周入路走行及血管内径可,整体血管条件良好。
手术策略
1.全麻+TEE的手术方式;
2.右侧股动脉为主入路,左侧桡动脉为辅助入路;
3.20mm球囊进行预扩张,预装AV23瓣膜;
4.释放:左右重合位下标准位释放(瓣环下2-4mm),释放后多角度进一步观察瓣膜植入位置,必要时采取可回收功能。
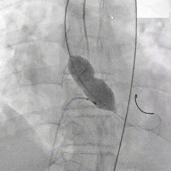
手术影像记录
主动脉根部造影
20mm TaurusAtlas球囊
输送系统过弓
确定初始释放位
瓣膜稳定释放至工作位
TaurusOne AV23mm瓣膜瓣下3-4mm 工作位造影
瓣膜完全释放
瓣膜位置理想
瓣膜植入前压差:121mmHg
瓣膜植入后即刻压差:16mmHg
术中超声
超声结果示:无明显瓣周漏,主动脉瓣口峰值流速为1.99 m/s,峰值跨瓣压差为 16 mmHg。
总结:
心脏瓣膜病是结构性心脏病领域最主要的疾病,既往只能通过外科开胸或置换的方式给予处置。近年来,经导管主动脉瓣置换术(“TAVR”)已成为主动脉瓣狭窄治疗的新兴手段,具有创伤小、风险低、并发症少、住院周期短等特点,给众多外科手术高危甚至禁忌患者带来了新的机会。
近日,吉林大学第一医院心脏外科马大实教授统筹协调,高永生教授亲自主刀,带领整个TAVR团队成功为重度主动脉瓣狭窄患者完成TAVR手术一例。此次手术病例具有锚定难度高、易发生瓣膜移位、冠脉风险高等特点,术前马大实教授、高永生教授带领整个TAVR团队对术中可能出现的任何不良现象进行讨论并制定详细预案;术中在瓣膜释放过程反复出现下移并出现血压下降现象,高永生主任沉着镇定指导团队积极对症处理,找到理想初始释放位并将人工瓣膜释放至理想位置,术后评估冠脉灌注正常、位置良好,跨瓣压差由130mmHg下降至16mmHg,超声评估各项参数良好,无明显瓣周漏,术后不久患者即恢复自主心率、自主呼吸、生命体征稳定。通过微创技术,解决患者多年疾病困扰。
专家简介
马大实
吉林大学第一医院
吉林大学第一医院心脏外科主任、教授,硕士研究生导师。
1997年毕业于中国人民解放军第一军医大学临床医学专业,2013年赴上海儿童医学中心进修小儿先心病外科手术治疗,2018年成为国内首批亚洲心脏瓣膜病学会中国分会心脏二尖瓣修复技术培训学员之一并顺利结业。曾赴加拿大进行学术交流访问。从事本专业工作20余年,熟练掌握各类心血管疾病的诊断及治疗,擅长心脏瓣膜修复术,瓣膜置换术、主动脉外科手术、外科房颤射频消融术,冠状动脉旁路移植术、先心病及大血管疾病介入治疗、心脏移植、ECMO心肺辅助技术等。发表学术论文20余篇,获吉林大学校级医疗成果奖2项,主持及参与临床实验项目6项,累计科研经费60余万元。2020年参加抗击新冠疫情工作,被长春市卫健委授予为“长春市优秀医师”荣誉称号,被吉林大学评为“优秀党务工作者”。
社会任职:
中国医药教育协会心脏外科专业委员会副主任委员,中国医师协会心血管外科医师分会第五届委员会委员,亚洲心脏瓣膜病学会中国分会心脏瓣膜病介入治疗技术委员会委员,中国研究型医院学会心房颤动专业委员会委员,中国研究型医院学会血栓与止血专业委员会委员,北京围手术期医学研究会心脏外科专业委员会常务委员,《中国心脏外科学科规范化建设系统工程》项目技术指导专家,卫健委先心病介入治疗培训基地导师,中国医师协会先心病介入治疗培训基地导师,吉林省先心病及心律失常介入治疗质控中心秘书,吉林省卫生应急专家库-医疗组专家,吉林省健康科普专家,长春市卫生计生健康教育专家团成员。
高永生
吉林大学第一医院
吉林大学第一医院心脏外科主任医师、教授、硕士研究生导师。
1988年毕业于白求恩医科大学临床医学专业。2003-2004年赴北京安贞医院进修介入外科和瓣膜外科。擅长先天性心脏病、风湿性心脏瓣膜病、冠心病的诊断和外科治疗,尤其擅长先心病及大血管疾病的介入治疗。在吉林省率先开展先心病介入封堵术和主动脉覆膜支架植入术,填补了吉林省该领域空白,处国内领先水平。其中卵圆孔未闭(PFO)介入封堵术数量连续七年居全国单中心首位,一体化分支支架主动脉覆膜支架植入术连续两年数量居全国单中心首位。曾受俄罗斯邀请于2012年赴俄罗斯多家俄罗斯心血管联邦中心进行先天性心脏病介入治疗手术演示。
社会任职:
中国医师协会介入医师分会大血管介入专业委员会委员,中国医师协会心血管外科医师分会介入治疗学术委员会副秘书长,中国医师协会腔内血管学专业药物专家委员会委员,亚洲心脏瓣膜病学会中国分会心脏瓣膜病介入治疗技术委员会常委,中国人体健康科技促进会结构性心脏病专业委员会常务委员,吉林省医学会第三届心外科专科分会委员,卫健委先心病介入治疗培训基地导师,中国医师协会先心病介入治疗培训基地导师,吉林省先心病和心律失常介入质量控制中心副主委,长春市卫生计生健康教育专家团成员。

