2022年5月21日,新疆喀什地区第一人民医院成功应用TaurusElite为一例大瓣环重度钙化主动脉瓣狭窄患者完成置换手术。此次接受手术是主动脉重度狭窄伴二尖瓣重度反流的心衰患者,长期的胸闷气短,夜间不能平卧严重影响生活质量,慕名前来喀什地区第一人民医院力求诊治。该患者左室明显扩张,EF值仅有33.3%,心功能极差,外科开胸换瓣风险极高,援疆专家王培宁主任与患者及其家属充分沟通后,和多科室、多名专家一致决定为患者选择一种手术风险相对较小,术后恢复快,并发症相对较少的治疗方案——经导管主动脉瓣膜置换术(TAVR)。此次TAVR手术的开展是新疆地州首例,广东省人民医院团队及喀什地区第一人民医院团队前期准备充足,援疆专家王培宁主任多次主动邀请广东省人民医院陈纪言、罗建方主任进行线上术前交流讨论,同时特邀广东省人民医院心内科专家李光、董豪坚主任前来指导,通过缜密的术前影像学评估,综合制定了详尽的手术策略和预案,从而促使了喀什地区第一台TAVR手术的成功开展。团队之间紧密配合,瓣膜零位释放,完美植入,术中即刻超声显示无反流和瓣周漏,二尖瓣反流也重度由改善为轻度。患者术后两小时后拔管撤机,血压在没有升压药的情况下明显回升,整个手术过程中也没发生神经系统、心血管系统等并发症,患者术后精神状态佳,患者自述呼吸通畅,手术圆满成功。
患者基本信息:
患者男性,62岁主诉胸闷、气短4年,加重伴浮肿10天入院。患者及家属述患者于4年前开始了出现活动时胸闷、气短不适,近期上述症状反复出现,并间断有夜间呼吸困难、气憋等不适,完善相关检查后诊断为老年退行性瓣膜病主动脉瓣狭窄(重度)并反流(中度)、二尖瓣反流(重度)、(左房,左室增大)心力衰竭、心功能IV级。
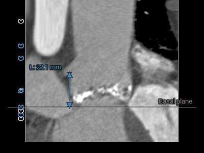
术前CT评估:
主动脉根部总览
重度钙化,分布于各窦内沿轴向延伸至窦底,无冠窦钙化延伸到LVOT水平
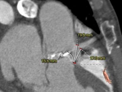
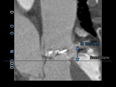
主动脉根部测量:
三叶式主动脉瓣,R-N疑似粘连,LVOT呈敞口型,非横位心。
冠脉测量:
冠脉开口高度可,切线角度测量,未见冗长瓣叶。
主动脉弓测量:
主动脉弓部宽度、角度可。
外周入路:
股-髂动脉内径可,走行适宜,腹主动脉少量钙化分布,股动脉无钙化。
术前讨论:
病例特点:
三叶式主动脉瓣,R-N疑似粘连,重度钙化,分布于各窦内沿轴向延伸至窦底,无冠窦钙化延伸到LVOT水平;LVOT呈敞口型;
左、右冠脉开口高度可,切线角度测量,未见冗长瓣叶;
瓦氏窦、窦管交界内径可,升主动脉40mm处内径可,无明显扩张;
主动脉瓣水平夹角约57°,非横位心,主动脉弓宽度角度可;
股-髂动脉内径可,走行适宜,腹主动脉少量钙化分布,股动脉无钙化。
手术策略:
推荐右侧股动脉为主入路,左侧为辅助入路; 推荐23mm球囊,预装AV31瓣膜,建议瓣环下零位左右定位释放。
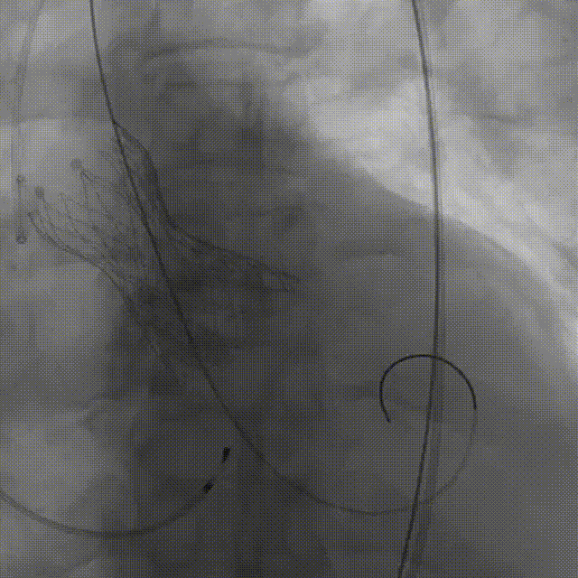
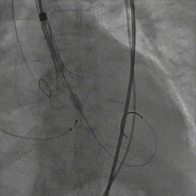
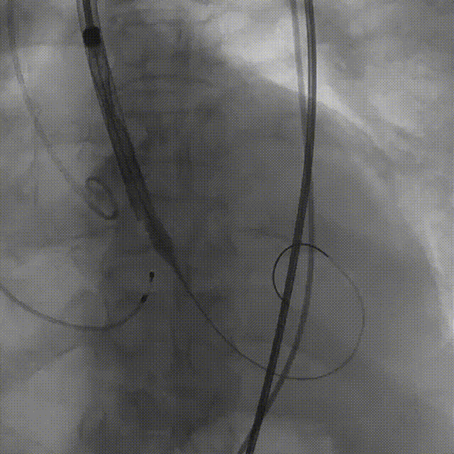
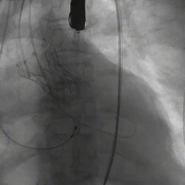
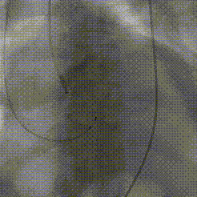
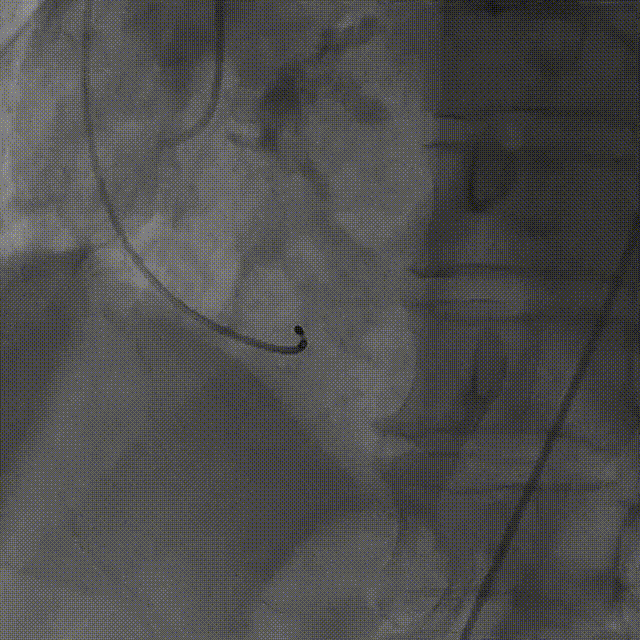
手术影像:
左冠造影灌注良好
右冠造影灌注良好
主动脉根部造影,狭窄伴反流
导丝顺利跨瓣
23mm球囊预扩无腰征,微量漏
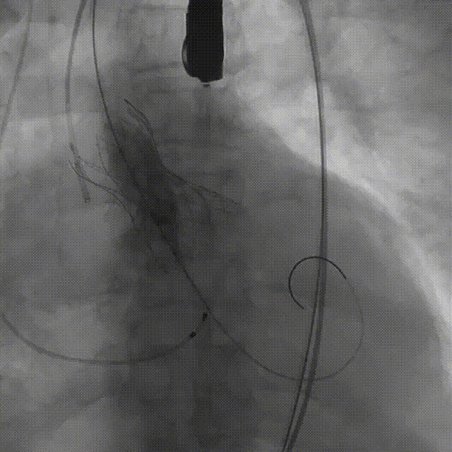
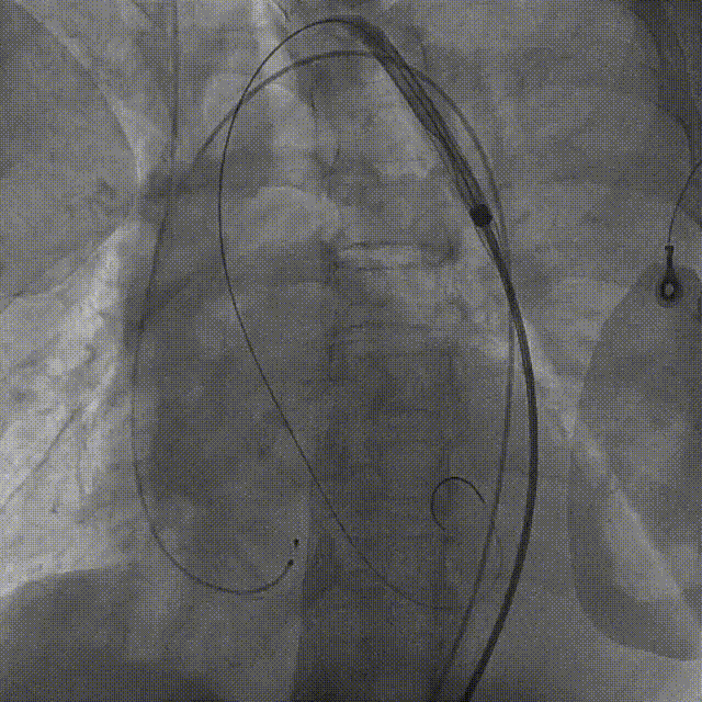
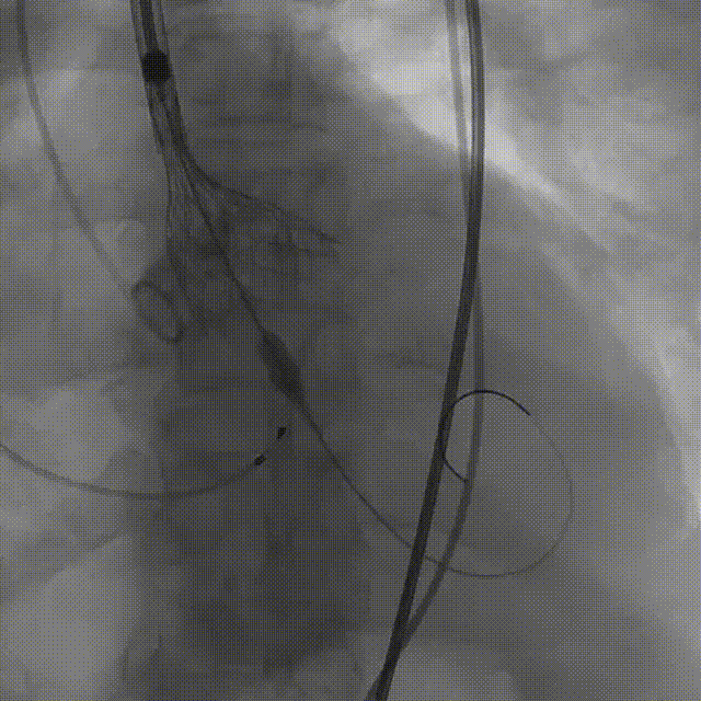
输送器柔顺过弓、跨瓣
瓣膜开始零位定位
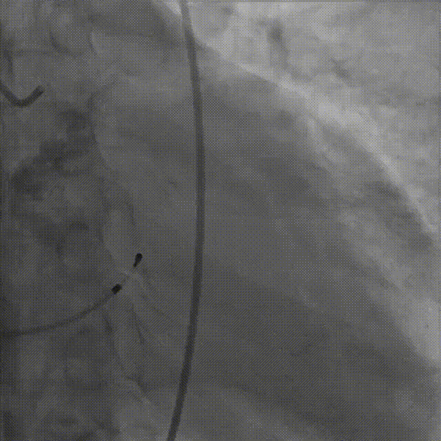
瓣膜逐步释放到工作位
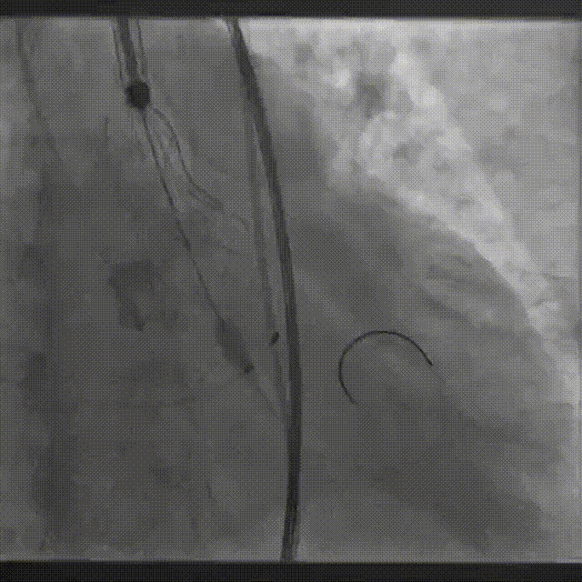
工作位造影位置良好
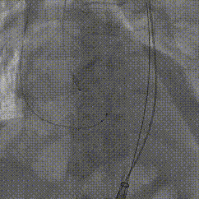
瓣膜逐个脱钩
完全释放后造影,膨胀不良,有漏
25mm球囊后扩
后扩后瓣膜形态良好,造影基本无漏
外周血管造影检查良好
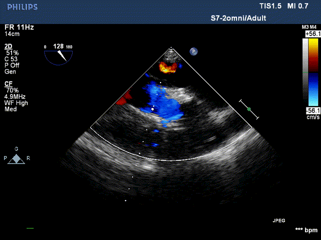
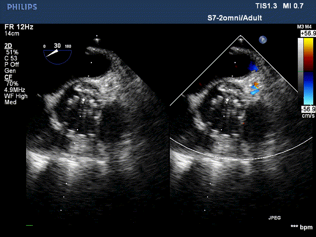
术后超声:
术后超声提示:无瓣周漏,血流动力学明显改善,二尖瓣重度反流改善为轻度反流。
跨瓣压差:
术前跨瓣压差96mmHg,术后跨瓣压差2mmHg。
术者寄语:
喀什地区地处祖国最边陲,由于生活、饮食结构等因素,心血管患病率及死亡率远高于全国平均水平。但喀什地区本身经济水平不发达,人民群众的日常花销与收入不成正比,物质基础薄弱,医疗意识也比较薄弱,在治病看病过程中,疾病和医疗观念错误、匮乏。同时也因近两年受地方疫情管控政策的影响,医护人员对于新诊疗技术的提升往往有些心有余而力不足,综合上述情况导致喀什地区整体医疗技术水平的提升进展缓慢。
专家简介
陈纪言
广东省人民医院
主任医师,男,现任广东省人民医院心血管内科主任医师、心内科主任、硕士研究生导师。1984年毕业于暨南大学医学院获学士学位,1994年到澳大利亚墨尔本Epworth医院进修学习冠心病诊治技术一年。2008年6月毕业于广东省心血管病研究所获博士学位。
从事心血管内科专业已二十多年,在各种心血管常见病、多发病的治疗方面具有精湛的技术,并对心血管病各种急、危、重症的治疗有较高的造诣,尤其在冠心病内科诊断和治疗,包括经皮冠状动脉介入术,以及风心瓣膜病、肥厚型心肌病的诊断、治疗等方面有独到的见解,并将其实践于临床之中,获得良好的效果。
发表有关心血管专业的临床论著50多篇,获国家级、省部级和卫生厅科技成果进步奖共7项,副主编著作1本,曾作为主要研究者参与OASIS-5、TIMI-25、MILESTONE-II、CCS-2、ORIGIN、SINO-SIRIUS、CCSR、TAXUS、MICE等多个国际多中心临床试验。现任广东省介入性心脏病学会理事长、中山医科大学客座教授、广东省自然科学基金评委、《介入放射学杂志》编委、《中国处方药》编委、《中华心血管病杂志》编委、《中国介入心脏病学杂志》常务编委、《岭南心血管病杂志(中英文版)》编委、《美国心脏病学杂志(JACC)中文版》编委、《欧洲心脏杂志(EHJ)》编委。1997年度广东省政府授予广东省劳动模范、1998年度广东省突出贡献专家、1998年度卫生部与美国强生战略技术合作优秀中青年临床医师二等奖、1999年全国百名优秀医师称号、2000年赛勒中国医师年度荣誉奖,2004年获政府特殊津贴。陈纪言医生在2012年荣获“中国名医百强榜”上榜名医。
罗建方
广东省人民医院
医学博士、主任医师、博士生导师。现任广东省人民医院南海医院院长、广东省人民医院心内科副主任、广东省冠心病防治研究重点实验室副主任。美国心脏病学院Fellow (FACC)、欧洲心脏病协会Fellow (FESC)、美国心血管造影与介入学会Fellow (FSCAI)、首批Global Hybrid Algorithm Community国际认证Hybrid CTO带教专家、卫生部心血管疾病介入诊疗培训基地(冠心病介入治疗)导师。
中华医学会心血管病学分会大血管学组副组长、中国医师协会心血管内科医师分会结构性心脏病学组副组长、中国研究型医院学会心血管影像专业委员会副主任委员、中国研究型医院学会血管医学专业委员会副主任委员、中国医疗保健国际交流促进会血管疾病分会副主任委员、中国医疗保健国际交流促进会难治性高血压与周围动脉病分会副主任委员、中国医药教育协会血管医学分会副主任委员、广东省介入性心脏病学会周围血管介入分会主任委员、广东省医师协会心血管介入医师分会副主任委员、广东省医师协会心血管内科医师分会常务委员、广东省医学会心血管病分会结构性心脏病学组副组长、《中国介入心脏病学杂志》编委等。
血管疾病多学科协作论坛(VMDT)执行主席、冠心病与周围血管介入沙龙(CPIS)执行主席、亚太CTO俱乐部广州峰会共同执行主席、亚洲心脏病学会年会秘书长等。
李光
广东省人民医院
主任医师、医学博士、心内五区主任,从事心血管临床和介入治疗,擅长冠心病、风湿性瓣膜病临床及介入治疗以及高血压等病的治疗。曾赴澳大利亚墨尔本Epworth医院学习一年。
从事心血管临床和介入治疗,擅长冠心病、风湿性瓣膜病,临床及介入治疗及高血压等病的治疗。
董豪坚
广东省人民医院
广东省心血管病研究所心内科五区副主任,广东省人民医院心内科副主任医师。
医学博士,副主任医师,硕士生导师;擅长心血管病的内科以及介入治疗(冠状动脉疾病,外周动脉疾病以及结构性心脏病)。长期从事心血管重症诊治、冠脉及周围血管介入治疗临床和科研工作。曾于日本北海道札幌心血管病院学习冠脉介入及TAVR技术、德国莱比锡大学医院学习周围血管介入技术。
社会任职:广东省介入性心脏病学会心脏超声分会副主任委员;中国医疗保健国际交流促进会血管疾病高血压分会委员;广东省医学会理事会理事;广东省医学会心血管病学会委员;广东省介入性心脏病学会周围血管介入分会委员。
王培宁
广东省人民医院
心血管内科副主任医师,医学博士。广东省医疗行业协会中医中药管理分会第一届委员会常务委员;广东省医疗行业协会中医中药管理分会心血管药物治疗专业委员会副主任委员;中国老年保健医学研究会心血管病分会第一届青年委员会委员;从事心血管内科临床诊疗工作数年,对心律失常、冠心病、高血压等常见病积累了丰富经验,在致心律失常性右室心肌病遗传学方面曾做研究,在国内外期刊发表论著数篇。擅长冠脉手术、射频消融及起搏器植入手术。
依马木麦麦提·麦麦提沙吾提
喀什地区第一人民医院
内科主任医师、副教授,心血管内科专科医师,现任喀什地区第一人民医院心律失常科主任,喀什地区医学会心电生理和起搏专业委员会主任委员,中国心脏联盟心血管疾病预防与康复学会常务委员,新疆中西医结合学会心血管病专业委员会委员。
从医39年,参与和主持各类心血管介入手术千余例,先后获得喀什地区科技进步奖一项、院级新技术新项目奖四项,主持省级自然科学基金项目一项,发表学术论文10余篇(第一、第二作者)。擅长心脏起搏器(双腔\无导线、CRT\CRT-D\ICD\S-ICD)植入术、冠状动脉造影及支架植入术、先天性心脏病介入封堵术、心律失常导管消融治疗等。





