四川大学华西医院陈茂教授团队完成全国首例经皮穿刺三尖瓣置换术

2022年5月27日,四川大学华西医院心脏内科陈茂、冯沅教授带领的瓣膜病介入治疗多学科团队,在国内首次采用纯介入方式通过穿刺右侧颈静脉成功完成经导管三尖瓣置换。植入的人工瓣膜是具有中国自主知识产权的LuX-Valve Plus系统。术中上海长海医院陆方林教授和乔帆副教授给予了在线支持。

患者为89岁高龄男性,罹患三尖瓣反流多年,近期症状明显加重,经过充分的药物治疗后仍然存在严重心力衰竭。通过纯介入方式实施三尖瓣置换,使这位超高龄的老人以最小的代价获得了有效的治疗。介入治疗的效果十分满意,术后三尖瓣反流消除,老人迅速恢复,心功能明显改善。该手术的成功实施标志着国内经导管三尖瓣置换进入纯介入时代。

图片

患者信息

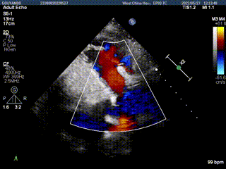
89岁男性。术前超声报告显示:双房增大,左室壁肥厚,主、肺动脉增宽,三尖瓣重度反流。

团队前期经过多次讨论,制定了周密的手术策略和预案。由于患者已是近九旬的超高龄老人,传统外科开胸手术风险极高,纯介入经血管三尖瓣替换能够明显减少创伤。术中陈茂及冯沅教授结合体表定位在造影指示下精准穿刺右侧颈静脉并预置两把血管缝合器。成功建立经皮血管入路后在食道超声和DSA的引导下顺利完成人工瓣膜植入,术后超声和造影显示人工三尖瓣同轴性良好,瓣架固定牢靠,无反流和瓣周漏,平均跨瓣压差降为1mmHg。术毕收紧预置的血管缝合器缝线完成止血,缝合效果满意,在手术室即刻拔除气管插管。

图片
图片

术中操作

图片

缝合后的右颈静脉穿刺点

图片

术前超声

图片

术后超声

图片

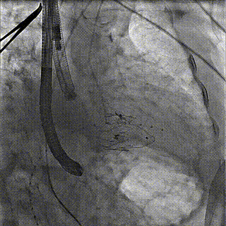
术前DSA造影

图片

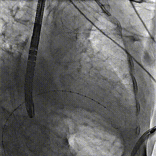
术后DSA造影

图片

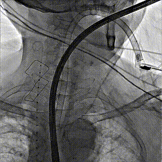
颈静脉穿刺造影

陈茂教授:LuX-Valve Plus经血管三尖瓣置换系统可操作性强,植入效果好,创伤很小,有望成为治疗重度三尖瓣反流患者的“有力武器”。本次手术的成功验证了通过穿刺颈静脉的纯介入方式完成LuX-Valve Plus系统植入的可行性,也进一步验证了通过该系统实施经导管三尖瓣置换的安全性和有效性,期待在后期临床研究开展中使更多的三尖瓣反流患者获益。

专家简介

微信图片_20220531153414.jpg

陈茂

四川大学华西医院

国家“万人计划”科技创新领军人才、四川省卫生健康首席专家、四川省卫生计生领军人才、四川省卫生厅学术技术带头人、四川省卫生厅“有突出贡献中青年专家”以及首届“国之名医”荣誉称号获得者。FCSC,FACC,FESC,中华医学会心血管病分会常委,中国医师协会心血管内科医师分会常委,中华医学会心血管病分会结构心脏病学组组长,中国医疗保健国际交流促进会心血管健康医学分会副主任委员,四川省国际医学促进会副会长,四川省医学会心血管病专委会前任及候任主任委员,长城国际心脏病学组委员会县域心血管医师联盟副理事长。PCR—CIT China Chengdu Valves会议、中国中西部心血管病会议执行主席,London Valves会议、Tokyo Valves会议联合国际主席,ESC、PCR、TCT、CSI等会议的专家会员。

微信图片_20220531153419.jpg

冯沅

四川大学华西医院

华西医院先心病亚专业组长,中华医学会心血管病分会结构性心脏病学组委员,中国医师协会结构性心脏病学组委员,四川省心脏瓣膜联盟副主任委员,亚洲心脏瓣膜病学会中国分会心脏瓣膜病介入治疗技术学术委员会常委。

阅读数: 5286