2022年5月29日,自贡市第一人民医院曹文斋主任团队成功完成首例TaurusElite经导管主动脉瓣系统的植入,为一例严重主动脉狭窄疾病患者进行了经导管主动脉瓣置换。此次接受手术的是一位主动脉瓣严重钙化的患者。患者及家属对于外科开胸手术表示出明确的拒绝,曹文斋主任团队与患者及家属充分沟通,明确阐述了重度主动脉的危害性,经过充分检查评估后决定为患者选择相对风险小且术后恢复快的治疗方案——经导管主动脉瓣置换(TAVR)。此次手术是自贡市第一人民医院首例,院方高度重视,院领导及医务科康芨科长组织胸心外科、麻醉科、重症医学科、超声科、手术室、放射科通力合作,在心内科学科主任冯沅教授指导下,曹文斋主任团队通过细致的术前影像的评估,综合患者的身体情况,进行风险评估后制定了精准针对性的手术方案。一次就做到精准稳定的释放,术中即时超声提示无反流或瓣周漏。患者植入人工瓣膜后瓣膜工作正常稳定,均未出现并发症,术后即刻患者血流动力学得到了显著改善,手术圆满成功,为患者带来更长久生存期受益和更高生活质量。
患者基本信息:
患者为65岁男性,一年前无明显诱因出现爬坡等活动后呼吸困难,近一年内经常出现气短胸闷情况,曾经出现发作性晕厥3次,主要表现为突然晕倒、意识丧失,均于活动时出现,每次持续数秒后恢复经术前超声心动图诊断,患者属高危:主动脉瓣重度狭窄,重度钙化,主动脉瓣前向血流4.7m/s,平均垮瓣压差42mmHg。
术前评估:
1.主动脉瓣瓣环周长82.8mm,平均周长径26.4mm。
2.主动脉瓣成三叶式,瓣叶增厚明显钙化,左右钙化融合。
3.左右冠脉开口高度可,未见瓣叶冗长。
4.双侧股动脉入路血管管径良好。
病例特点:
该病人为一例典型主动脉瓣重度狭窄患者,手术难度适中
瓣叶明显钙化,左室流出道呈直筒形,瓣膜锚定难度适中,由于钙化较重,人工瓣膜可能会受到挤压形变,人工瓣膜释放过程有位移可能,释放后有瓣周漏可能,存在瓣中瓣风险。结合瓦氏窦、窦管结合部等相关结构分析,冠脉阻塞风险低。
主动脉根部评估:
瓣环上解剖结构评估:
外周血管及主动脉弓解剖:
手术策略讨论:
1.考虑到患者瓣叶增厚,重度钙化,需要更强的径向力锚定,预装AV29瓣膜。
2.根据术前CT评估,跨瓣角度为RAO 16°CAU 35°(近左右重合位)左右,球囊预扩角度为LAO 16°CRA 3°(左冠切线位)左右,释放角度为RAO 16°CAU 35°(近左右重合位)左右。使用22mm球囊预扩,充分利用沛嘉TaurusElite产品可回收的功能,瓣环上0mm高度释放.
3.患者双侧入路血管条件佳,常规选择右侧股动脉为主入路,左侧为辅入路。
手术过程概览:
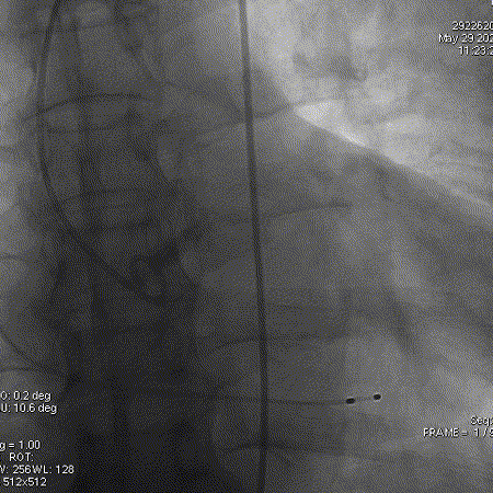
主动脉根部造影
导丝跨瓣
球囊预扩
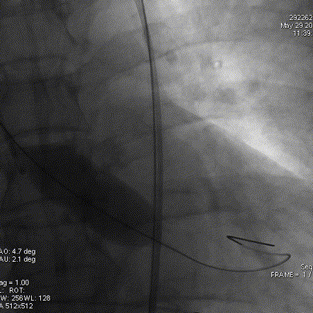
输送器过弓
瓣膜定位
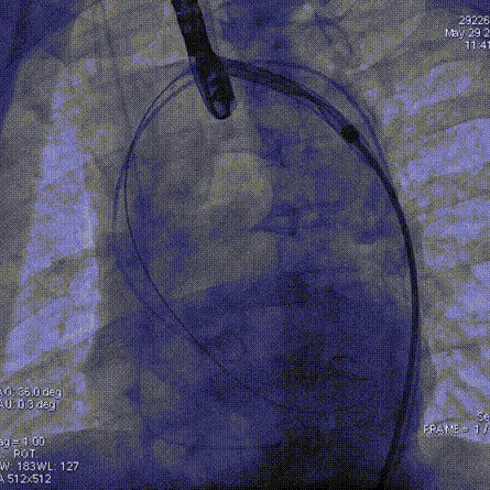
工作位造影
术后即刻超声评估:
术前超声
术后超声
术后压差从42mmHg降至15mmHg,前向血流从4.7m/s降至2.7m/s
术后超声心动图提示:主动脉瓣人工瓣膜前向血流2.7m/s,平均垮瓣压差约15mmHg,少量瓣周漏,左室壁搏幅正常范围,心包未见积液,手术效果良好。
术者寄语:
截至现在,心血管疾病仍是对我国人民生命安全威胁最大的疾病,心血管疾病中的重度主动脉瓣狭窄(SAS)更是“杀手”:发病后保守治疗2年生存率不足50%。我院我科历来重视新技术、新疗法的创立与推广,从接触到TAVR技术开始,就不断深入了解技术背景,强化自身开展基础。本例TaurusElite的完美植入,离不开院里的大力支持和患者及家属的绝对信任,更离不开冯沅主任的事无巨细的指导并与团队在术前进行了详尽的讨论与充分的准备。
我们始终秉承 “仁爱精业 济世自强”的医院精神,稳步推广与发展技术。我们有信心在医院综合学科支持下,团队精诚合作,不断突破,为更多的瓣膜病患者带来福祉,爱岗敬业,服务群众,服务社会。
专家简介
冯沅
四川大学华西医院
主任医师,硕士研究生导师,华西医院先心病亚专业组长,中华医学会心血管病分会结构性心脏病学组委员,中国医师协会结构性心脏病学组委员,四川省心脏瓣膜联盟副主任委员,亚洲心脏瓣膜病学会中国分会心脏瓣膜病介入治疗技术学术委员会常委。
曹文斋
自贡市第一人民医院
博士,博士后,主任医师,硕士研究生导师,四川省第十二批学术技术带头人后备人选,四川省卫健委第十四批学术技术带头人后备人选,自贡市第四批“双千计划”杰出创新人才(培养类),国际高血压学会会员,美国心脏病学青年会员(ACC FIT),中国老年医学学会高血压分会四川工作组成员,四川省国际医促会心律委员会常委,四川省医学会罕见病专委会委员,四川省医学会科研管理委员会委员。

