TAVR(经导管主动脉瓣置换术)被誉为引领“第四次心脏介入革命”的创新性技术,在我国已经经过近二十年的发展,在临床中已得到了广泛的应用。2022年6月11日,宜昌市国药葛洲坝中心医院卢志先主任团队为提高医院心血管学科水平,为宜昌市民提供更优质医疗服务,在武汉大学人民医院江洪教授团队的指导下,联合超声科、麻醉科、护理、重症医学等多学科心脏瓣膜团队,成功引入并开展TAVR这项新技术,为一例横位心、高钙化的Type1型二叶瓣患者植入TaurusElite瓣膜。
该病例术前心脏彩超提示为主动脉瓣重度狭窄并轻-中度关闭不全,主动脉瓣局部钙化,主动脉瓣口平均跨瓣压差60mmHg,患者完全符合TAVR手术适应症。手术团队与患者及家属充分沟通后,经详细的术前讨论,评估患者手术风险及获益后,决定采用TAVR手术方式为患者置换“心门”,解除病痛。术中卢志先主任团队与江洪教授团队通力协作、相互配合,精准地使瓣膜一次性释放,此时患者的血流动力学显著改善,跨瓣压差即刻降至5mmHg左右,手术效果十分优异,也有力的保证患者的远期预后效果!手术的圆满成功也预示着葛洲坝中心医院结构性心脏病诊疗水平将开启新篇章。
患者基本情况
患者77岁男性,入院心脏彩超提示:LA36mm,LV45mm,EF59%;室间隔厚16.2mm,主动脉瓣瓣环直径约20mm,静息状态下主动脉瓣跨瓣流速约5.02m/s,平均跨瓣压差60mmHg,舒张期主动脉瓣反流信号。
结论:1、主动脉瓣重度狭窄并轻-中度关闭不全;2、主动脉瓣局部钙化;3、升主动脉扩大;4、左室壁增厚,室间隔增厚;5、舒张功能降低。
术前CT评估
●Type1型二叶式主动脉瓣,L-R窦融合嵴,瓣叶增厚伴重度钙化,钙化延续至左室流出道;左、无冠窦瓣叶钙化较重;LVOT 呈收口形态;
●左右冠脉开口高度尚可,切线位测量未见冗长瓣叶;冠脉未见钙化斑块;
●瓦氏窦、窦管交界内径正常,升主动脉扩张;
●瓣环平面与水平夹角为64°,横位心,主动脉弓夹角、弓距尚可;
●入路血管情况良好。
主动脉根部测量
瓣上结构测量
冠脉阻挡风险、左室大小及横位心评估
外周血管入路评估
术前讨论
病例特点及手术难点
●横位心,主动脉弓夹角、弓距尚可,升主动脉扩张,输送器能过弓、跨瓣难度增加,备Snare辅助。
手术策略
●右侧股动脉为主入路,左侧为辅助入路;
●RAO36° CAU38°(近左右重合位)左右跨瓣;
●20mm球囊充分预扩,预扩角度RAO36° CAU38(近左右重合位)左右;
●预装AV23瓣膜,瓣环上0-2mm定位释放,释放角度RAO36° CAU38(近左右重合位)左右;
●释放后调整至右无重合位RAO8° CRA12°左右进一步评估冠脉灌注、瓣膜稳定性及展开形态后释放;
●瓣膜植入成功后,常规造影评估入路血管情况,避免遗漏血管并发症情况。
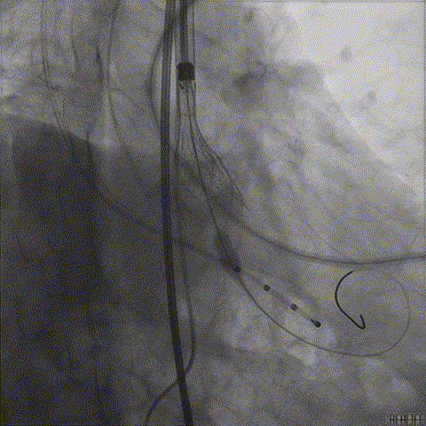
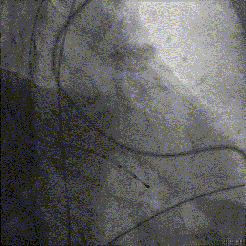
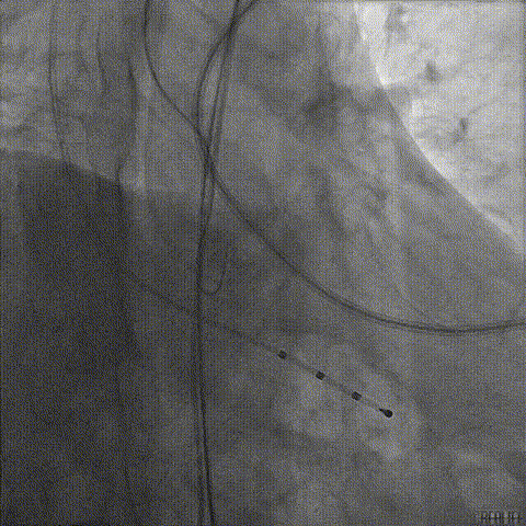
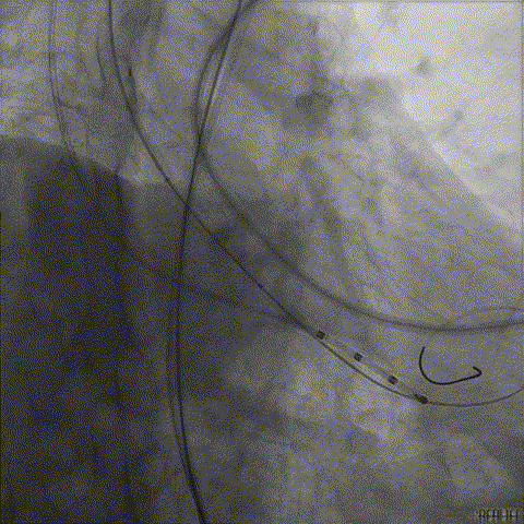
手术过程
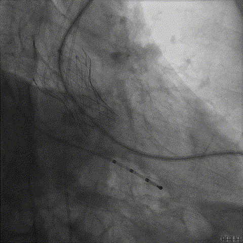
主动脉根部造影提示主动脉瓣轻度反流,直头导丝在AL2导管辅助下跨瓣,交换猪尾导管,测量跨瓣压差为101mmHg。
主动脉根部造影
导丝跨瓣
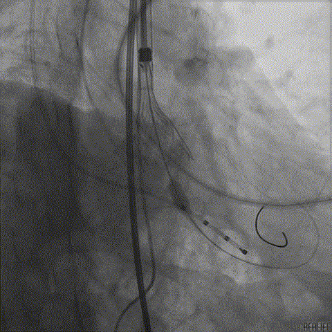
使用TaurusAtlas 20mm球囊充分预扩,球囊无明显腰征,无造影剂渗漏,冠脉显影正常。TaurusElite输送系统顺利过弓跨瓣后,AV23瓣膜零位定位。
球囊预扩
瓣膜初始定位
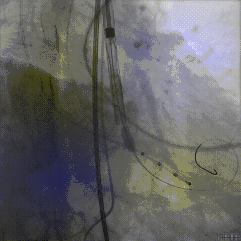
160次/分快速起搏下,TaurusElite AV23瓣膜快速释放至工作位,造影显示瓣膜形态、位置良好,冠脉血流灌注正常。
瓣膜快速释放
工作位评估
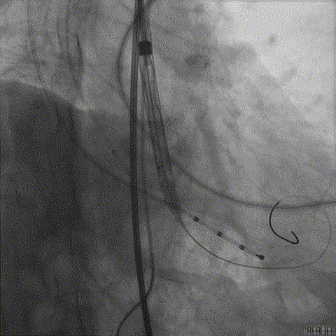
完全释放后瓣膜形态、位置良好,微少量瓣周漏,测跨瓣压差为5mmHg。
瓣架脱钩
术后主动脉根部造影
超声术后评估
超声显示最大流速降到1.59m/s,峰值压差10.19mmHg,假体瓣膜形态良好,工作正常,左右融合钙化嵴处存在少量瓣周漏。
术后超声评估
总结
主动脉瓣狭窄时,心脏的主动脉瓣增厚和钙化,导致瓣膜无法完全开放,富氧的血液无法通过心脏顺利泵出到身体的其他部位。患者一年来持续发生心慌、胸闷,病情加重一月,若不进行救治极易发生心衰和猝死,必须积极治疗。相对SAVR(即传统外科开胸手术),TAVR 损伤相对轻微,感染几率更小,恢复时间更短,术前经全面的评估,患者满足行TAVR的手术指征。
术前葛洲坝中心医院卢志先主任团队反复分析病情,CT分析提示患者为Type1型二叶瓣,瓣叶增厚伴重度钙化,瓣上限制较重,给瓣膜的锚定增加了一定的难度,瓣膜植入后存在形变、移位和瓣周漏的风险;且患者为横位心,升主动脉瘤样扩张,需要输送系统具有良好的过弓、跨瓣性能。此外卢志先主任团队对手术过程也进行周详地演练操作,尽量排除手术风险,确保手术顺利进行。手术过程中,TaurusElite输送系统具有较优异的柔顺性,轻松完成过弓及跨瓣操作,此外TaurusElite瓣膜高密度流入端设计提供了足够的径向支撑力,保证了瓣膜的锚定力,瓣膜内外双裙边设计能提供良好的辅助锚定力,有效减少瓣周漏。并且TaurusElite瓣膜系统具有多次完全可回收、回收后可重新跨瓣等设计特点,针对瓣膜释放过程中可能出现的瓣膜下滑或上跳的风险,能让术者在释放过程中更有信心,可以降低手术风险,减少并发症的产生,对于新术者也能降低学习难度,提高手术成功率。本例患者瓣膜植入后瓣膜形态、位置良好,冠脉血流灌注正常,术后压差降至5mmHg,微少量瓣周漏,手术效果十分优异。
此例手术是国药葛洲坝中心医院开展的首例TAVR手术,葛洲坝中心医院心内科联合多学科的TAVR团队术前制定了周密诊疗计划,这是高标准完成瓣膜置入的必要条件。TAVR新技术的成功落地也标志着葛洲坝中心医院结构性心脏病的诊疗水平迈上新的台阶。
专家简介
卢志先
国药葛洲坝中心医院
心血管内科主任,主任医师,毕业于南昌大学医学院,宜昌市医学会心血管分会副主任委员。对高血压、冠心病、急性心梗、心衰、各种心律失常等心血管疾病的治疗有丰富的经验。可开展冠脉造影术及冠脉支架植入术,各类心脏永久起搏器植入术,心律失常的射频消融术,主动脉夹层支架植入术等。
孟军
国药葛洲坝中心医院
心血管内科副主任,主任医师,三峡大学医学院第三临床学院内科教研室主任,宜昌市医学会内科分会常务委员,心血管分学会委员。近年来在国内核心期刊发表论文十余篇,参与多项课题获得省市级科技进步奖。从事心内科临床工作20余年,擅长高血压、冠心病、心律失常、心衰等疾病的诊治,能熟练进行心脏起搏器植入术、冠脉造影及支架植入术等各种介入手术。
周月涛
国药葛洲坝中心医院
心血管内科副主任,主任医师,毕业于四川大学华西医学院,宜昌市心血管学会委员,擅长于心血管疾病的诊断、治疗,能开展进行心脏起搏器植入术、冠脉造影及支架植入术等各种介入手术。
冯家乐
国药葛洲坝中心医院
心内科主治医师,毕业于武汉大学医学院,三峡大学第三临床内科教学秘书,2011年于武汉大学人民医院参加卫生部心脏介入专项进修,欧阳非凡大师讲堂一期学员。擅长高血压、冠心病、心律失常、难治性心力衰竭的诊治,以及冠脉介入、心律失常射频消融、起搏器植入等心脏介入手术操作。



