嘉境 · 瓣旅|昆明市第一人民医院甘美医院心胸外科团队成功完成TaurusElite经导管主动脉瓣系统上市后首次植入

2022年6月14日昆明市第一人民医院甘美医院心胸外科团队成功完成了TaurusElite经导管主动脉瓣系统上市后的首次植入。该病例极具挑战,患者为Type0型二叶式主动脉瓣畸形伴瓣叶增厚并严重横位心,复杂的解剖结构大大增加了手术难度,术前心胸外科团队反复沟讨论,精准评估,制定了详细的手术策略,术中多学科的默契配合,以精湛的手术技巧顺利为患者植入人工假体瓣膜,人工假体瓣膜植入后患者血流动力学得到即刻改善,为患者后续生命生存质量带来极大获益,保障了患者的远期预后。

图片

患者基本信息:

患者为70岁女性,因“无明显诱因伴呼吸困难”入院。超声提示:主动脉瓣重度狭窄并轻度关闭不全,二尖瓣少量反流,三尖瓣少-中量反流,MaxPG:118mmHg,流速:5.4m/s,EF65%。

术前评估:

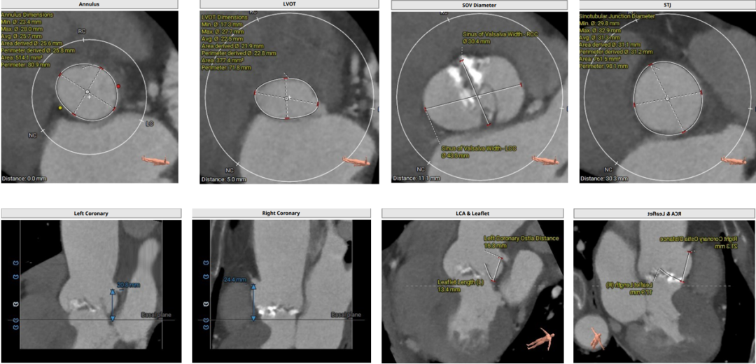
1.主动脉瓣瓣环周长80.9mm,平均周长径25.8mm;

2.Type0型二叶式主动脉瓣,中度钙化,瓣叶增厚,左室流出道呈收口状;

3.左右冠共窦,冠脉开口高度可,左、右冠瓣叶长度<冠脉开口到瓣叶附着缘距离;

4.瓦式窦、窦管交界、升主动脉内径尚可;

5.瓣环水平夹角66°,横位心,主动脉弓宽度、角度可;

6.双侧外周入路行走适宜,未见明显迂曲。

病例特点:

该病人为一例典型Type0型二叶式主动脉瓣重度狭窄并严重横位心患者,结合瓣叶及钙化情况,人工瓣膜跨瓣及定位难度较大。

1.中度钙化,瓣叶增厚,钙化分布不均匀、结合STJ、LVOT、瓦氏窦及升主综合评估人工瓣膜锚定难度较高,存在瓣膜移位、变形和瓣周漏风险;

2.冠脉开口高度尚可,结合瓣叶长度、瓦氏窦内径、STJ内径、及瓣叶增厚情况综合分析,冠脉堵塞风险适中;

3.主动脉瓣环与水平夹角66°,横位心,预计输送系统跨瓣、过弓难度较大;

4.双侧髂骨动脉无明显扭曲,整体血管入路直径良好。

主动脉根部评估:

图片

根部预览

图片

根部评估

图片

瓣上评估

图片

外周血管及主动脉弓解剖

手术策略讨论:

1.推荐右侧股动脉为主入路,左侧辅助入路,推荐20F血管鞘;

2.根据当前影像资料及测量数据,推荐跨瓣、球扩、释放共同采取角度为荐 LAO5°CAU34°(双窦展开)左右;

3.推荐选择22mm球囊预扩张,推荐预装AV26瓣膜;

4.瓣膜释放高度推荐瓣环下0--1mm左右。释放后建议调整至LAO35°CRA25°(正交体位)进一步确定人工瓣膜形态。

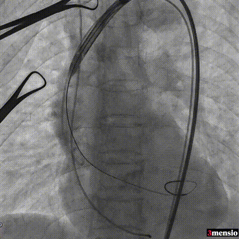
手术过程概览: 

图片

主动脉根部造影

图片

导丝跨瓣

图片

22mm球囊预扩

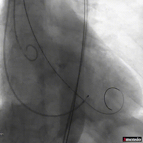
图片

输送系统过弓

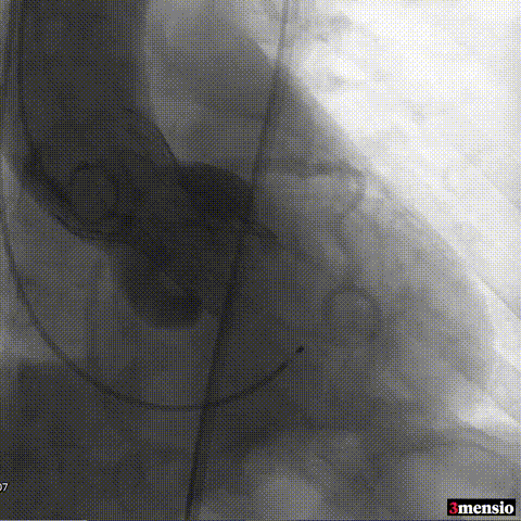
图片

瓣膜定位

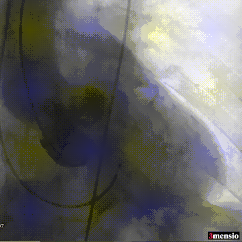
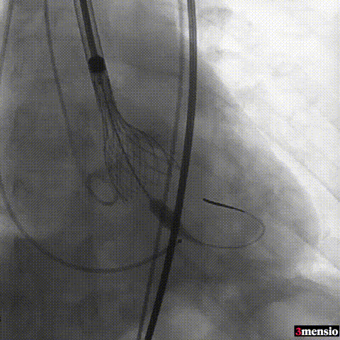
图片

瓣膜释放至工作位评估

图片

瓣膜释放

术后即刻评估:

图片
图片

术后压差从66mmHg降至2mmHg,瓣膜正常工作,患者血流动力学即刻得到改善。

科室介绍


昆明市第一人民医院甘美医院心胸外科成立于 1993年,至今 20多年的历史,现有编制床位 57张,专科医师 13人,护士 25人。科室医护骨干均先后至上海儿童医学中心、北京阜外医院、首都医大附属北京安贞医院、四川大学附属华西医院进修学习,科室现有主任医师 3人,副主任医师 5人,主治医师 7人,住院医师 3人;博士学位 1人,硕士学位 7人。现已常规开展各类简单、复杂先心病手术:动脉导管未闭、室间隔缺损、房间隔缺损、法洛氏四联症、完全性心内膜垫缺损、肺静脉异位引流、肺动脉闭锁、大动脉转位等,及心脏瓣膜疾病、大血管疾病和各类普胸手术(包括:肺部肿瘤、食道肿瘤、纵膈肿瘤、漏斗胸矫治、多汗症外科治疗、机器人微创肺叶切除术

阅读数: 866