2022年6月12日,南昌市第三医院欧阳先国主任团队成功完成首例TaurusElite经导管主动脉瓣系统植入。患者是一位64岁的老年男性,于5月下旬入院,入院后完善心脏CT提示患者为Type1型中重度钙化二叶式主动脉瓣,中重度狭窄并中度关闭不全,其钙化重,瓣口面积小,瓣口限制明显,预估术中瓣膜锚定难度较大,瓣膜植入存在移位及瓣周漏风险。欧阳先国主任和黄瑛主任带领手术团队术前反复讨论、精准评估,制定了详细的手术策略,术中在心血管内三科、麻醉科、超声科、介入手术室的通力合作下,手术圆满成功,瓣膜植入后即刻血流动力学改善,无位移及瓣周漏,为患者后续生命生存质量带来极大获益,保障了患者的远期预后。这是TaurusElite经导管主动脉瓣系统上市以来,在南昌市第三医院的首例植入。
患者基本信息
患者为64岁男性,于两年前反复出现胸闷气促不适,症状位于左侧心前区,曾2021年多次在南昌市第三医院诊疗,给予抗栓、调脂、减轻心脏负荷、扩冠等支持治疗后,患者症状好转出院;近日患者休息时感胸闷气促不适再次发作,伴呼吸困难全身乏力不适,程度较前加重,遂至南昌市第三医院就诊,经术前超声心动图诊断,患者主动脉瓣中重度狭窄伴中度关闭不全,重度钙化,主动脉瓣前向血流3.8m/s,平均跨瓣压差34mmHg。
术前CT评估
1.Type1型二叶式主动脉瓣,瓣叶增厚伴中度钙化,左右窦间可见钙化融合嵴,钙化主要分布于无冠窦瓣叶边缘以及左右瓣叶交合缘,左室流出道为类直筒型;
2.冠脉开口高度尚可,切线位未见左右冠瓣叶冗长;
3.瓦氏窦、窦管交界、升主动脉内径尚可;
4.左室腔内径明显偏大,心室壁厚度尚可;
5.主动脉瓣环与水平面夹角为40° ,主动脉弓部夹角及弓距尚可;
6.腹主动脉可见钙化斑块,双侧股髂动脉未见明显扭曲、斑块,入路血管内径尚可。
CT动态预览
主动脉根部测量
瓣上结构测量
冠脉阻挡风险、左室大小及横位心评估
外周血管入路评估
病例特点及手术难点
1.Type1型二叶式主动脉瓣,瓣叶增厚伴中度钙化,左右窦间可见钙化融合嵴,钙化主要分布于无冠窦瓣叶边缘以及左右瓣叶交合缘,综合预估瓣膜锚定难度尚可,瓣膜植入后形变及移位的风险适中,瓣周漏、瓣中瓣风险适中;
2.左右冠脉开口高度尚可,切线位测量未见瓣叶冗长,综合预估冠脉堵塞风险不高;
3.左室腔内径偏大,心室壁厚度正常,术中密切关注患者血流动力学变化;
4.非横位心,主动脉弓宽度、角度尚可,预计输送器鞥比较顺利过弓跨瓣;
5.腹主动脉可见少量钙化斑块,输送器通过时引起钙化斑块脱离引起栓塞及卒中的风险适中、入路谨慎操作,避免入路血管相关并发症。
手术策略
1.采用全麻+TEE的手术方式;
2.右侧股动脉为主入路,左侧股动脉为辅入路;
3.推荐选择22mm球囊扩张;
4.推荐预装AV26瓣膜,释放角度为左右重合位,推荐瓣环平面上2~4mm定位释放。
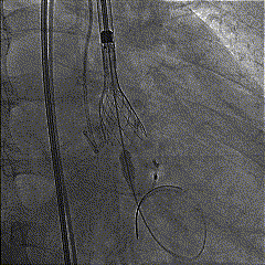
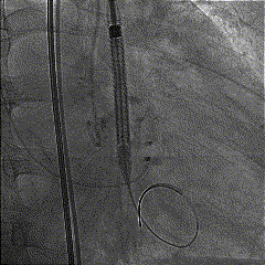
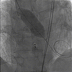
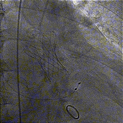
手术过程
主动脉根部造影提示主动脉瓣轻度反流,予以22mm球囊充分预扩,球囊有轻微腰征,无造影剂渗漏,冠脉显影正常。
根部造影
球囊预扩
TaurusElite输送系统柔顺过弓跨瓣后,AV26瓣膜瓣环平面定位释放,到工作位后造影瓣膜形态、位置良好,冠脉血流灌注正常;完全释放后瓣膜形态、位置良好,微少量瓣周漏。
定位释放
释放到工作位评估
术后造影
术后压差从38mmHg降到8mmHg,前向血流从3.8m/s降至1.36m/s。
总结
本例患者为主动脉瓣中重度狭窄伴中度反流,患者伴心衰、冠状动脉粥样硬化、扩张性心肌病及脑梗等基础疾病,无法耐受外科开胸手术,术前评估适宜行TAVR手术,有TAVR手术指征。术前CT分析提示患者为Type1型二叶式主动脉瓣,瓣环径较大,达到28.1mm,瓣叶轻度增厚伴重度钙化,瓣上限制较重左右窦瓣叶交合缘可见钙化融合剂,给瓣膜的锚定增加了较大的难度,瓣膜植入后存在形变、移位和瓣周漏的风险。患者为非横位心,升主动脉内径可,输送系统可顺利过弓、跨瓣。此外,该患者全心扩大,EF值为45%,术中循环崩溃风险适中,对术者快速、精准的操作能力及手术团队的密切配合要求较高。
手术过程中,TaurusElite输送系统具有较优异的柔顺性,轻松完成过弓跨瓣操作。其次,由于Type1型三叶瓣狭窄表现为瓣叶+瓣环的“火山口”立体结构,TaurusElite瓣膜高密度流入端设计提供了足够的径向支撑力,保证了瓣膜的锚定力,瓣膜内外双裙边设计能提供良好的辅助锚定力,有效减少瓣周漏。另外,TaurusElite瓣膜系统具有多次完全可回收、回收后可重新跨瓣等设计特点,针对瓣膜释放过程中可能出现的瓣膜下滑或上跳的风险,能让术者在释放过程中更有信心,可以降低手术风险,减少并发症的产生,对于新术者也能降低学习难度,提高手术成功率。本例患者于瓣环上4mm左右定位释放,释放后瓣膜形态、位置良好,冠脉血流灌注正常,术后压差降至8mmHg,轻微瓣周漏,手术效果十分优异。此例手术是南昌市第三医院开展的首例TAVR手术,这也标志着南昌市第三医院心脏瓣膜病的诊治取得了新的突破。
专家简介
欧阳先国
南昌市第三医院
心血管三科主任,主任医师。
赣南医学院兼职教授,江西研究型医院学会心血管分会常委;中国心脏联盟心血管疾病预防与康复专业委员会江西联盟第一届常务委员,南昌医学会心血管专业委员会副主任委员,南昌康复学会心血分会副主任委员。
黄瑛
南昌市第三医院
心内三科科副主任、主任医师。
现任江西省中西医结合心血管病分会常务委员、江西省医学会介入心血管病分会委员,江西省介入心脏病学会心电生理专业委员会委员,擅长冠心病、高血压、心力衰竭的诊治及冠心病介入、心脏起搏器植入术。特别对合并糖尿病、肾功能不全及多脏器功能衰竭等复杂临床问题及老年病人的危重抢救、综合治疗积累了丰富的临床经验。

