6月11日,吉林大学第一医院马大实教授、高永生教授以及团队的杨立明医生、王旭医生成功为64岁高危主动脉瓣狭窄患者实施经导管主动脉瓣置换术(TAVR),更换了“心门”,推动了吉大一院结构性心脏瓣膜病介入治疗再迈新征程。
术前,马大实教授、高永生教授多次组织科室会诊,制定手术方案,考虑到患者主动脉瓣二瓣畸形、严重钙化、升主动脉瘤样增宽、心律失常、糖尿病等诸多因素,如果选择传统开胸手术,患者耐受力差且术中需同时行Bentall术,手术复杂风险极高且术后恢复慢。TAVI作为一种新兴技术,对主动脉瓣重度狭窄的患者创伤小、不需要输血、住院时间短、恢复快,给外科手术禁忌或者高危的患者带来了治愈的希望。综合研判后决定为患者选择更安全有效的TAVR手术。经过马大实教授统筹协调、高永生教授亲自主刀,在多学科的密切协作下,成功释放瓣膜。术后结果显示:介入瓣膜定位准确、功能良好,术后评估冠脉显影良好、无瓣周漏、各项参数满意,手术圆满成功,从根本上解决了困扰患者多年的痛苦,为患者的寿命及生活质量均带来极大获益。
患者基本情况
患者男性,64岁,因“劳力后出现胸闷,气短10天余”入院。
入院后完善相关辅助检查如下:
心脏超声示:
主动脉瓣狭窄(中重度),有效瓣口面积为1.4cm²,Vmax 3.45m/s,MPG 26mmHg;主动脉瓣反流 (中度)二尖瓣反流(轻度),左室肥厚,升主动脉瘤样增宽,EF 67%。
诊断:
(一)心脏瓣膜病 主动脉瓣中重度狭窄并轻中度反流;
(二)心律失常 心房颤动;
(三)糖尿病。
主动脉根部测量
CT特点:Type 0型二叶式主动脉瓣,左右冠不同窦,瓣叶中重度钙化伴增生肥厚,钙化呈偏心性分布;左右冠开口高度可,无冗长瓣叶;近横位心,心室壁肥厚。
瓣上测量
瓣上测量:瓣叶中重度钙化伴增生肥厚,钙化呈偏心性分布,主要分布于瓣叶边缘及前壁交界附着缘。
弓部及入路评估
入路血管: 双侧髂动脉可见明显扭曲,未见明显钙化,入路血管直径良好。
手术策略
1. 采取全麻监测,经食道超声的手术方式;
2. 右侧股动脉为主入路,左侧为辅助入路;
3. 依据瓣环及瓣上测量结果,给予23mm球囊进行预扩张,预装AV31瓣膜;术中结合球囊扩张情况进一步明确瓣膜尺寸选择;
4. 释放:双窦展开,瓣环下0-2mm,结合正交体位进一步明确瓣膜植入深度;
5. 患者心室壁肥厚,术前适当补液,术中密切关注血流动力学变化,警惕循环崩溃风险;
6. 术后经胸超声进一步评估瓣膜植入深度、跨瓣压差、有无瓣周漏等相关参数;常规生命体征监测,密观病情变化。
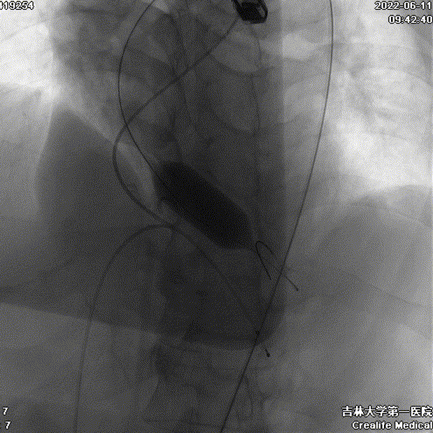
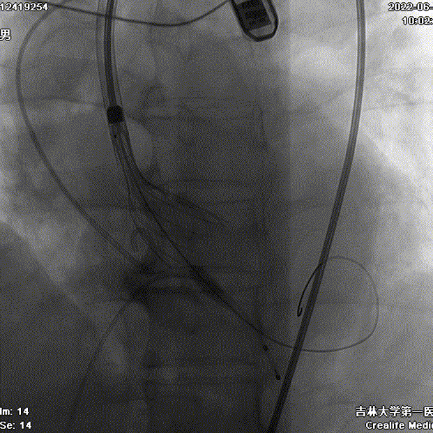
术中影像
主动脉根部造影
23mm球囊预扩张
瓣膜工作位造影
瓣膜形态良好 位置理想
少量瓣周漏 平均跨瓣压差7mmHg
术者团队寄语
近日,吉林大学第一医院心脏外科马大实教授统筹协调,高永生教授亲自主刀,带领整个TAVR团队独立完成了全院第二例TAVR手术,成功为一名高危主动脉瓣狭窄患者完成TAVR手术。此次手术病例具有锚定难度高、易发生瓣膜移位等特点,术前马大实教授、高永生教授带领整个TAVR团队对术中可能出现的任何不良现象进行讨论并制定详细预案;术中沉着镇定指导团队,找到理想初始释放位并将人工瓣膜释放至理想位置,术后评估冠脉灌注正常、位置良好,平均跨瓣压差7mmHg,超声评估各项参数良好,少量瓣周漏,术后不久患者即恢复自主心率、自主呼吸、生命体征稳定。通过微创技术,解决患者多年疾病困扰。
专家简介
马大实
吉林大学第一医院
心脏外科主任、主任医师,教授、硕士研究生导师。
1997年毕业于中国人民解放军第一军医大学临床医学专业,2013年赴上海儿童医学中心进修小儿先心病外科手术治疗,2018年成为国内首批亚洲心脏瓣膜病学会中国分会心脏二尖瓣修复技术培训学员之一并顺利结业。曾赴加拿大进行学术交流访问。发表学术论文20余篇,获吉林大学校级医疗成果奖2项,主持及参与临床实验项目6项,累计科研经费60余万元。现任中国医药教育协会心脏外科专业委员会副主任委员、中国医师协会心血管外科医师分会第五届委员会委员、亚洲心脏瓣膜病学会中国分会心脏瓣膜病介入治疗技术委员会委员、中国研究型医院学会心房颤动专业委员会委员、中国研究型医院学会血栓与止血专业委员会委员、卫健委先心病介入治疗培训基地导师等。2020年参加抗击新冠疫情工作,被长春市卫健委授予为“长春市优秀医师”荣誉称号。主要研究方向为心脏瓣膜病、冠心病及大血管疾病的外科治疗及ECMO心肺辅助治疗。
高永生
吉林大学第一医院
主任医师、教授,临床医学硕士。现任中国医师协会大全心血管外科介入分会副秘书长、中华医学会大全胸心外科分会委员。1988年毕业于白求恩医科大学临床医学专业。2003-2004年在北京安贞医院大全进修介入外科和瓣膜外科。擅长先天性心脏病、风湿性心脏瓣膜病、冠心病的诊断和外科治疗,尤其擅长先心病及大血管疾病的介入治疗。2008年独立完成主动脉夹层介入治疗手术(吉林省首位),率先在吉林省开展肺动脉瓣狭窄介入治疗术和卵圆孔未闭(PFO)介入封堵术(介入数量居全国第一位),填补了吉林省该领域空白,处国内领先水平。曾受俄罗斯邀请于2012年赴俄罗斯多家俄罗斯心血管联邦中心进行先天性心脏病介入治疗手术演示。

