2022年6月17日,南方医科大学顺德医院心内科黎文生教授TAVR团队成功完成TaurusElite经导管主动脉瓣系统植入。患者是一位“入路迂曲伴重度钙化Type1型二叶式病变重度主动脉瓣狭窄” 的高龄女性,近期出现急性心衰表现。TAVR团队的核心黎文生教授带领手术团队成员林明灼教授、钟建开教授开展术前充分讨论、精准评估,制定了详尽的手术策略。手术过程中,黎文生教授及整个TAVR团队紧密配合,TaurusElite输送器的优异柔顺性和推送性很好地应对复杂入路问题,瓣膜最后在最佳位置“完美”释放,术后瓣膜工作稳定,造影未见明显反流,植入效果理想。
患者基本信息:
患者为81岁高龄女性,患者于1年前开始出现活动后胸闷、气促不适。步行上二楼及快步走时感气促,伴心悸,无伴黑朦、晕厥等不适,休息后可缓解。曾多次外院就诊,症状无好转,活动耐力量进行性下降,步行上二楼需要休息一次。行心脏彩超提示主动脉瓣重度狭窄伴中度关闭不全。
术前评估:
Type 1型二叶式主动脉瓣,右无融合,重度钙化,钙化分布不均匀,无窦和左窦瓣叶钙化较重呈长条块状,右冠窦内钙化向左室流出道衍生,无窦和右窦瓣叶对合缘处存在钙化嵴,左窦和右窦瓣叶对合缘处存在局部钙化黏连,瓣叶对合缘处存在增厚及钙化粘连。
瓦氏窦内径尚可,窦管交界内径尚可、升主动脉内径可,左室腔内径尚可、心室壁增厚,左室流出道呈敞口形态。
左冠脉开口高度偏低,左冠切线角度测量瓣叶小于LCA开口下缘到根部距离,右冠脉显影不佳,右冠切线角度测量瓣叶小于RCA开口下缘到根部距离。
主动脉瓣环水平夹角47度,非横位心,主动脉弓宽度、角度可,弓部存在少量散在钙化。
外周走行存在多处迂曲,腹主上端和左侧髂总动脉存在少量散在钙化斑,血管内径可,血管内壁存在钙化和不规则纤维增厚。
主动脉根部CTA:
根部概览
ANNULUS
SOV DIAMETER
LVOT
STJ
LEFT CORONARY
RIGHT CORONARY
LCA&LEAFLET
RCA&LEAFLET
2mm SUPRA ANNULUS
4mm SUPRA ANNULUS
6mm SUPRA ANNULUS
8mm SUPRA ANNULUS
10mm SUPRA ANNULUS
12mm SUPRA ANNULUS
HU850
虚拟瓣环与水平夹角
外周血管及主动脉弓解剖:
手术策略讨论:
考虑右侧股动脉为主入路,左侧为辅助入路。右冠窦内钙化向左室流出道衍生,左室流出道呈敞口形态,非横位心,弓部存在少量散在钙化,预估输送器过弓与跨瓣顺利。瓣叶冗长,CT提示右冠脉显影不佳,建议术前行冠脉造影进一步评估冠脉风险。外周走行可见多处迂曲,需注意小心通过。由于Type1型二叶式主动脉瓣伴瓣叶长条块状重度钙化,瓣口限制明显,手术预装AV26备AV23瓣膜,根据20mm球囊预扩结果选择瓣膜型号,计划瓣膜释放定位深度接近瓣环。
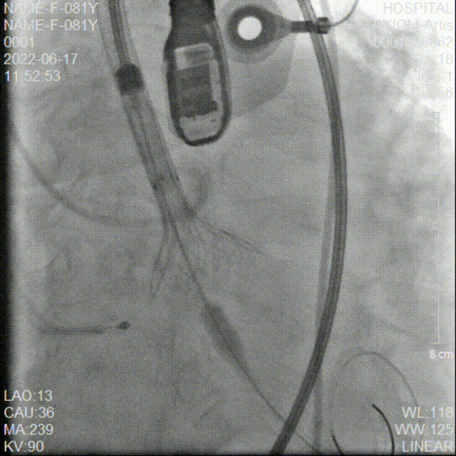
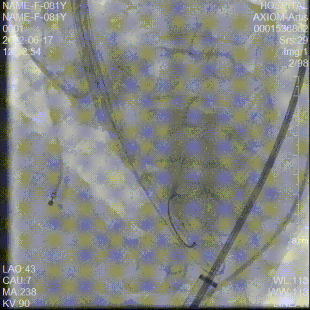
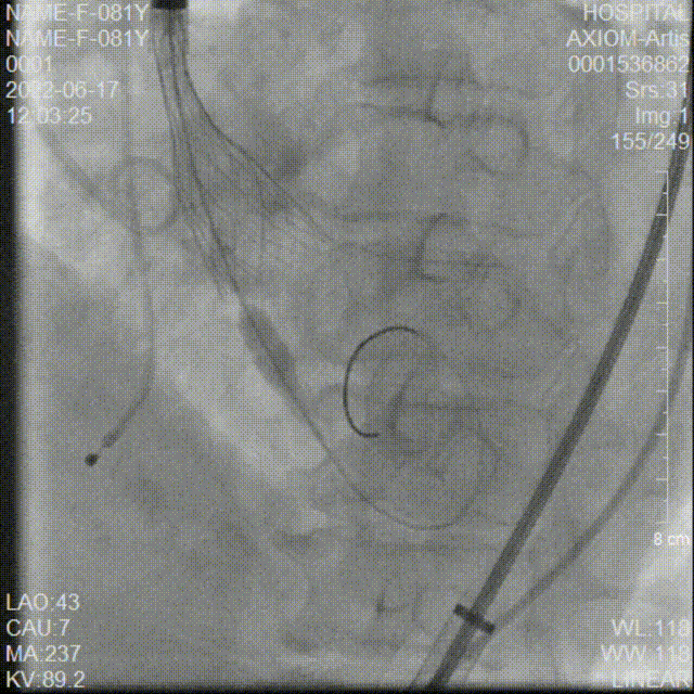
手术过程:
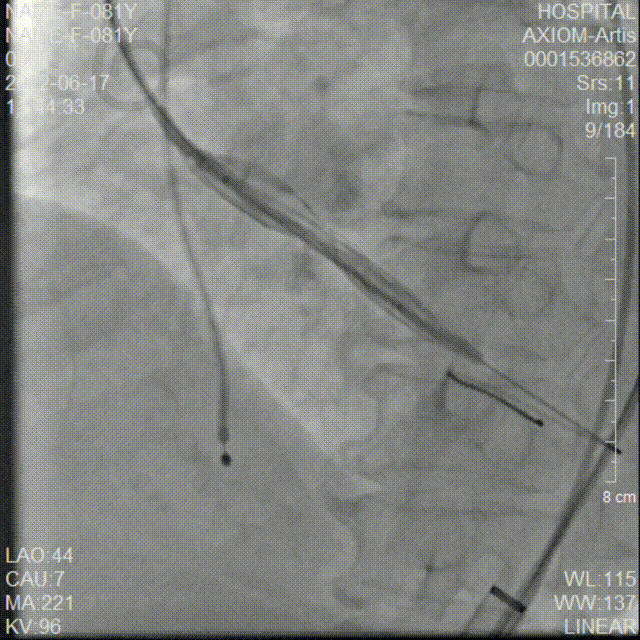
冠脉造影检查
冠脉造影检查
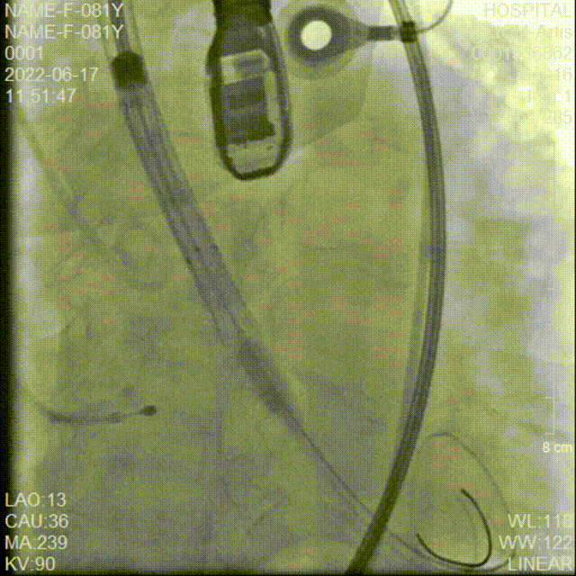
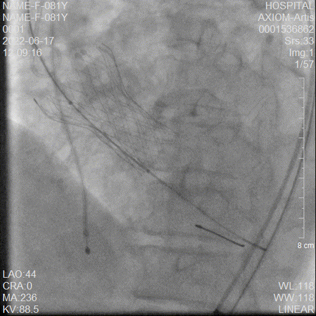
20mm球囊预扩
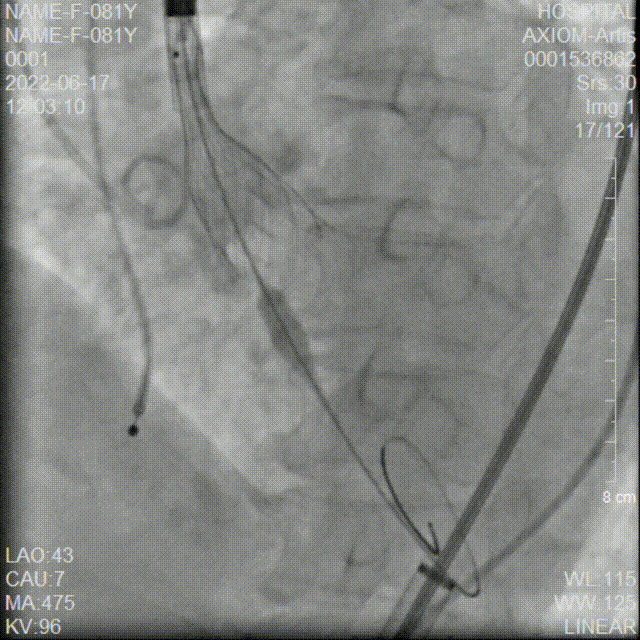
AV26瓣膜定位
AV26瓣膜第一次释放到工作位
第一次释放到工作位造影检查
AV26瓣膜第二次释放到工作位
第二次释放到工作位造影检查
AV26瓣膜第三次释放到工作位
第三次释放到工作位造影检查
AV26瓣膜第四次释放到工作位
第四次释放到工作位造影检查
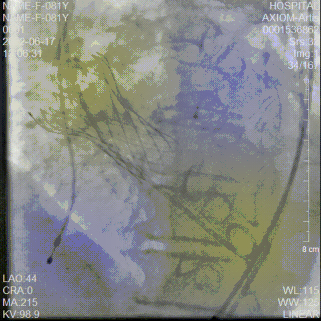
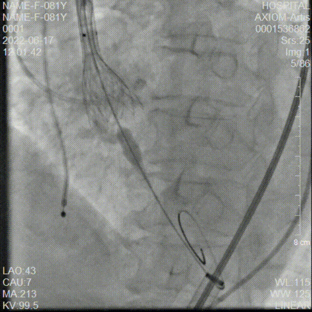
AV26瓣膜脱钩释放
AV26瓣膜完全释放后造影
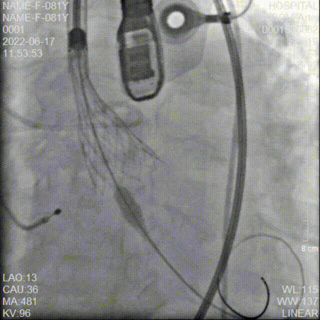
20mm球囊后扩
后扩后造影
讨论与小结:
术中20mm球囊预扩可见明显腰征,没有瓣周漏,双侧冠脉灌注情况良好,随后选择AV26瓣膜。TaurusElite AV26瓣膜送至主动脉弓,输送系统轻松过弓及跨瓣。
本例手术为Type1型二叶式主动脉瓣重度狭窄合并中量返流的高龄心衰患者,重度钙化且分布不均匀,右冠窦内钙化向左室流出道衍生,左室流出道呈敞口形态,术中瓣膜释放过程中多次出现下滑,黎文生教授TAVR团队通力配合、全面细致评估,充分利用TaurusElite瓣膜系统优异的多次可回收功能,在瓣膜释放至工作位时多角度评估瓣膜植入深度、锚定力以及冠脉灌注情况,最后瓣膜释放定位位置接近瓣环。为使患者获益更佳,决定使用20mm球囊后扩改善瓣膜展开形态及组织贴合情况。
术后行主动脉根部造影检查与经食道超声影像评估,无瓣周漏,瓣膜形态良好,跨瓣压差由术前的107 mmHg即刻下降为0 mmHg,TaurusElite植入圆满成功!
科室简介
南方医科大学顺德医院心内科
我院心血管内科是广东省临床重点专科、佛山市医学高水平重点专科、佛山市“十三五”重点专科培育单位,开设4个病区,开放床位共135张(其中CCU监护病床12张)。现有医生28人,其中主任医师6人、副主任医师9人,主治医师10名。博导2名,硕士研究生导师2人,博士3人,硕士14人。佛山市劳模专家工作室1个,顺德区专家工作室5个,广东省杰出青年医学人才1名,佛山市杰出青年医学人才及骨干人才共3名。
专科特色
(一)冠心病介入治疗术
(二)心电生理技术
(三)大动脉及外周动脉介入治疗
(四)结构性心脏病的介入治疗
(五)高血压病等慢性疾病的系统化管理
专家简介
黎文生
南方医科大学顺德医院
门诊时间:每周三下午 每周五下午
南方医科大学顺德医院心血管内科副主任,副主任医师 胸痛中心医疗总监,2000年毕业于中南大学湘雅医学院。曾在阜外医院和广东省人民医院进修各一年。长年从事临床工作。
擅长:冠心病介入诊疗、主动脉夹层及主动脉瘤的覆膜支架腔内隔绝术、主动脉瓣膜置换术等。
学术任职:广东省医学会心血管病分会第十届委员会胸痛学组副组长;广东省胸痛中心协会理事;广东省基层医药学会心血管专业委员会常委;顺德医学会心血管分会副主任委员;广东省中医药学会分会心力衰竭专业委员会第一届委员会常务委员;广东省介入性心脏病学会会员。
林明灼
南方医科大学顺德医院
门诊时间:每周一下午
南方医科大学顺德医院心血管内科 副主任医师。
2007年毕业于广东医学院临床医学系,从事临床工作15年,曾在广东省人民医院心脏病研究所进修学习。擅长心血管危重症的救治,在冠心病、外周血管疾病、结构性心脏病和心衰的诊治方面有较丰富的临床经验,发表论文多篇。
钟建开
南方医科大学顺德医院
门诊时间:每周二上午
南方医科大学顺德医院心血管内科副主任医师。
医疗特长:擅长心脏瓣膜病、冠心病、动脉粥样硬化症、高脂血症、恶性心律失常、心功能衰竭等心血管疾病诊治;熟练掌握各种心血管疾病的介入诊断和治疗。


