2020年初,温州医科大学附属第二医院在心血管内科吴连拼教授带领下,联合心胸外科、超声科、放射科、麻醉科、CCU、ECMO及手术护理团队,成立心脏瓣膜介入团队,在浙南闽北率先开展可回收式经导管主动脉瓣置换手术(TAVR)和经导管二尖瓣钳夹缘对缘修复术(MitraClip)。目前,温医大附二院心脏瓣膜介入团队可常规独立开展心脏瓣膜微创介入手术,并通过经导管主动脉瓣置换手术(TAVR)为多名高风险、高难度患者进行微创手术治疗,为广大心脏瓣膜疾病患者带来福音。
2022年6月11日与6月17日,温州医科大学附属第二医院吴连拼教授团队成功应用TaurusElite可回收瓣膜,分别为两位重度主动脉瓣狭窄患者完成了TAVR手术。此次接受手术的两例患者,基础条件差,长期受主动脉瓣狭窄困扰,术后患者症状显著改善,状态稳定。
病例一:
患者为94岁高龄女性,近半年多次因急性左心衰收住温州医科大学附属第二医院CCU接受治疗。术前两日,该患者再次出现呼吸费力明显,难以平卧,伴腹胀不适等症状,通过急诊科再次转CCU检查治疗。
住院后,通过主动脉瓣听诊可闻及主动脉瓣区粗糙、高音调的喷射性收缩期杂音,双肺可闻及明显湿啰音。术前心超显示瓣环直径22.5mm,左房38mm,左室收缩末内径38mm,左室流出道23mm。窦管高度18.5mm,内径24mm。瓣上最大流速5.06m/s,峰值压差76mmHg,平均压差65mmHg。诊断为主动脉瓣重度狭窄伴轻中度关闭不全,二尖瓣重度反流,心功能IV级。
主动脉根部评估:
短轴
长轴
三叶式主动脉瓣,瓣环周长69.1mm,平均周长径22mm,LVOT周长径22.5mm,STJ周长径23.6mm,SOV瓦式窦:平均周长径 26.9mm,升主动脉最大直径30.2mm。
左冠高度9.7mm 右冠高度14.0mm,左冠冠脉开口高度小于瓣叶长度,右冠脉开口高度大于瓣叶长度,综合考虑可能存在左冠阻挡风险,术中球囊预扩须密切注意冠脉灌注。
瓣叶轻度钙化伴增厚,钙化分布不均匀
HU1460 积分70mm²
左室腔内径正常,心室壁增厚
外周血管及主动脉弓解剖:
主动脉弓角度与宽度可,心脏水平夹角55°,近似横位心,外周血管内散见钙化灶,双侧入路血管内径良好,整体入路血管条件较好。
手术策略讨论:
温州医科大学附属第二医院吴连拼教授团队以及护理团队、麻醉科、超声科等多学科进行充分术前讨论分析。
① 患者94岁高龄,基础情况差,反复心衰,EuroSCORE II评分高危,外科换瓣不可行,经导管主动脉瓣置换术成为防止病情恶化、挽救生命的唯一希望。
② 患者为三叶式主动脉瓣,瓣叶重轻度钙化伴增厚,瓣环及瓣上结构均偏小,左冠瓣叶长于瓣叶至冠脉开口下缘,存在冠脉堵塞风险。为减少心脏电刺激引发循环崩溃,术中不预扩,工作位造影管擦左冠脉灌注情况,必要时开窗支架保护。
③ 患者瓣环、流出道、瓦氏窦、STJ等结构均较小,预装直径23mm瓣膜,瓣环下2mm左右释放。
④ 患者整体血管情况良好,外周部分血管弥散性斑块,术中大鞘及输送器轻柔操作,避免外周血管损伤,必要时备snare辅助。
⑤ 如瓣周漏比较明显,则考虑球囊后扩或者瓣中瓣改善瓣周漏。
手术过程回顾:
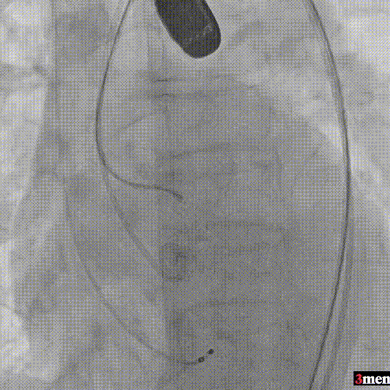
患者全麻后,右侧股动脉建立主入路,主动脉根部造影显示主动脉瓣无明显钙化。心室内轻中量反流,主动脉及心脏情况整体较为稳定,根据术前策略预装23mm瓣膜。超硬置入左心室后,因超硬压迫无冠瓣叶导致急性反流,病人血压降至40mmHg,遂迅速将输送器送入主动脉根部,快速释放瓣膜后,病人血压恢复至正常。瓣膜脱钩后造影显示左冠开口存在一定狭窄,IVUS评估左冠开口狭窄约60%,符合PCI指征,植入开窗支架改善狭窄,最终再次造影加IVUS评估左冠开口,确定狭窄解除。
右侧股动脉穿刺
主动脉根部造影
直头导丝跨瓣
跨瓣压差测量
输送器定位
完全释放后造影疑似左冠狭窄
IVUS探查左冠开口狭窄60%
放置开窗支架
球囊后扩支架
假体瓣膜形态良好,无明显瓣周漏
术后测量跨瓣压差仅为1mmHg
病例二:
患者69岁女性,因“反复胸闷急促1年,反复晕厥3月,再发4天”入院,该患者伴有肾功能异常、痛风、脑梗史,心功能III级。
术前超声主动脉窦部31mm,升主动脉31mm,左房35mm,左室流出道24mm,室间隔16mm,左室舒张末内径40mm,左室收缩末内径26mm,左室后壁13mm,瓣口血流呈湍流,瓣上最大流速5.31m/s,峰值压差为113mmHg,平均压差为56mmHg,瓣口面积0.9cm²。诊断为主动脉瓣重度狭窄伴轻度关闭不全,心源性晕厥。
主动脉根部评估:
短轴
长轴
三叶式主动脉瓣;瓣环周长23mm,平均周长径72.1mm;左冠脉开口高度大于瓣叶长度;综合考虑冠脉风险低;LVOT周长径22.6mm;升主动脉直径32.1mm。
左冠高度12.1mm,右冠高度14.1mm;右冠脉开口高度大于瓣叶长度;SOV瓦式窦:平均周长径31.3mm;术中球囊预扩须密切注意冠脉灌注;STJ周长径26.5mm。
瓣叶重度钙化伴增厚,钙化分布不均匀
HU596 积分930mm²
左室腔内径偏小,心室壁增厚明显
外周血管及主动脉弓解剖:
主动脉弓角度与宽度可,心脏水平夹角46°,非横位心;外周血管内未见明显钙化,双侧入路血管内径良好,整体入路血管条件较好。
术前超声压差评估:
术前超声显示压差121mmHg
手术策略讨论:
温州医科大学附属第二医院吴连拼教授团队以及护理团队、麻醉科、超声科等多学科进行充分术前讨论分析。
① 患者为先天发育畸形二叶式主动脉瓣,左、右冠瓣叶融合,瓣叶轻重度钙化伴增厚,且钙化分布不均,瓣叶钙化较少,锚定差,瓣周漏及瓣膜位移风险高。术中选择18mm球囊预扩,并在预扩时密切注意根部限制性结构打开情况,及双侧冠脉灌注情况。
② 患者心室腔较小,导丝塑性小弯型,术中严格管理超硬导丝,防止超硬导丝弹出心室或者钩住瓣膜。
③ 心室壁较厚,存在循环崩溃风险,一旦发生循环崩溃应立即果断植入人工瓣膜,并且术中ECMO团队随时待命。
④综合评估患者瓣环、流出道、瓦氏窦、STJ等结构,选择直径23mm瓣膜
⑤患者整体血管情况良好,无明显钙化及扭曲,术中大鞘及输送器轻柔操作,避免外周血管损伤,必要时备snare辅助
⑥患者瓣上结构限制严重,术中须严格控制瓣膜释放深度,选择瓣上3mm左右释放。
⑦必要时球囊后扩改善瓣膜形态及瓣周漏。
手术过程回顾:
患者全麻后,右侧股动脉建立主入路,主动脉根部造影显示主动脉瓣明显钙化。心室内轻微反流,主动脉及心脏情况整体较为稳定。直头导丝跨瓣后,在超硬导丝支撑下,瓣膜输送系统顺利跨瓣。在180次/分快速心室起搏下,确定降压至50mmHg后选择18mm球囊进行预扩张。在球囊扩张后,该患者血压未见升高,随即进行胸外按压,同时根据术前评估及球囊预扩情况,选取直径23mm瓣膜果断快速进行瓣膜定位并释放。瓣膜释放后患者心律和血压趋于平稳。
主动脉根部造影
直头导丝跨瓣
球囊预扩
瓣膜定位并行胸外按压
瓣膜释放至工作位
瓣膜脱钩
造影查看瓣膜形态
球囊后扩
最终造影
瓣膜释放后,超声提示患者存在一定的跨瓣压差和反流,通过球囊后扩,患者跨瓣压差即刻显著下降,反流量轻微。术后患者心功能持续得到改善,效果良好,此次手术取得圆满成功。
术后总结:
TAVR手术过程,由于患者心功能不好,通常会合并术中循环崩溃风险,如何在术前做好风险预案,术中快速处理是临床面临的难点。
面对此次两例高难度TAVR手术,吴连拼教授在术前评估阶段带领团队反复分析两例病例特点,制作了周密的手术预案。
对于具有冠脉高风险的患者需要选用合适的球囊在预扩阶段充分评估瓣叶推移情况,预估瓣膜植入风险;对于瓣膜,需要选择具有收腰设计的瓣膜,以避免瓣架将瓣叶完全推移。除了TAVR手术球囊瓣膜选择外,对于冠脉的评估也至关重要。随着血管内超声在优化PCI手术逐渐的普及,尤其在左主干病变中发挥着愈发重要的作用,我们医院也将IVUS在左主干病变中的心得应用在TAVR术中冠脉阻挡高风险的患者中,更加精准的评估瓣膜植入后左主干开口的受累情况。若发现左主干开口狭窄,需采取开窗支架技术,保障左主干开口血流关注,冠脉支架植入后仍需IVUS评估冠脉支架的贴壁、左主干开口以及冠脉支架与假体瓣膜之间的相互关系。
对于因心室小心室肌厚而造成循环崩溃风险时,一方面术前要积极的进行补液扩容,另外在术中如出现循环崩溃,需采取果断快速瓣膜定位和释放。两位患者入院症状与主动脉狭窄的病理改变有明确关系,均心衰严重,心室偏小。吴连拼教授带领团队反复分析病例特点,掌握患者综合情况,预估术中可能出现急性反流从而循环崩溃,制定了若出现循环崩溃,则需速精准释放瓣膜,减少TAVR手术整体时间,减少对心脏的刺激的策略,并最终顺利完成了两次TAVR手术,取得非常良好的效果。
吴连拼教授寄语:
截至现在,对我国人民生命安全威胁最大的疾病,仍是心血管疾病。其中,主动脉瓣重度狭窄这一病症,又以其发病后2年生存率不足50%,成为了严重威胁患者生命的一类重疾。以往由于手段有限,对于外科手术高危患者,或者高龄、虚弱的患者,医生常常无法对因治疗,重新为患者打开“心扉”。自葛均波院士团队首度开展TAVR技术后,这项微创、并且患者接受度高的技术,已成为广大主动脉狭窄患者翘首以盼的救命手段。我院我科历来重视新技术、新疗法的创立与推广,从接触到TAVR技术开始,就不断深入了解技术背景,强化自身开展基础,在较短时间内建立了多学科合作的TAVR常规开展平台。同时,鉴于广大患者群体对主动脉瓣狭窄认识不足,我院我科积极开展患者普及教育,与兄弟科室、兄弟单位同仁并肩协作,最大限度让患者了解主狭、认知TAVR,在具有一定知识储备的情况下自主地决定治疗方案。
两例TAVR的完美开展,离不开整个心脏瓣膜介入团队的通力合作,也离不开患者对TAVR、对温州医科大学附属第二医院心脏瓣膜介入团队的信任。我有幸能与大家一起完成这两例具有挑战性,但最终迎来了完美结果的手术,心中激情澎湃。以此为开端,我及我们多学科合作的平台必将以更高的热情,立即马上绝无停滞地投入向患者答疑解惑、为患者解危纾困的工作中去,将先进的医疗手段,更广泛地覆盖到我们苦于疾病的患者朋友!
专家简介
吴连拼
温州医科大学附属第二医院
心内科,医学博士,心血管内科主任医师,博士研究生导师,历任温州医科大学附属第二医院医务处处长,纪委书记,现任温州医科大学附属第二医院副院长,心内科学科带头人。中国医师协会浙江心血管医师分会副会长,中国心胸血管麻醉学会基础与转化医学分会常委,中国研究型医院学会心力衰竭专业委员会常委,中华医学会浙江省医学会心血管病学分会常委,中华医学会浙江省医学会介入心血管病学分会常委,中华医学会浙江省医学会心血管病学分会心肌疾病与遗传性心肌病学组组长。
日本宫崎大学、美国范德堡vanderbilt大学访问学者。从事医、教、研工作24年,获浙江省科技进步奖二等奖一项,中国中医药协会中医药科技奖二等奖一项,浙江省医药科技创新奖两项。获评“《中国医师报》第三届中青年心血管病学菁英(临床技术创新类)”、“浙江省医政工作先进个人”、“新疆维吾尔自治区优秀援疆医生”等荣誉。获“浙江好人”、“温州市道德模范”、“温州名医”等称号。
张新民
温州医科大学附属第二医院
心内科,副主任医师,医学博士,硕士研究生导师,浙江省医学会心血管分会青年委员,温州市生理科学会循环生理专委会常务委员,中华医学会温州心血管分会青年委员,温州心身医学分会双心学组成员,国家住院医师规范化培训重点专业基地专科导师。
参与多项国家级、省部级课题,主持厅局级课题三项,国内外发表学术论文10余篇,多次在国家级心血管会议做病例报告。
吴道珠
温州医科大学附属第二医院
超声科,副主任医师,规培教学主任,浙江省数理医学会心脏大血管学组副主任,浙江省超声工程协会心超学组常务委员,浙江省医学会心超学组委员,温州医学会委员,曾年在德国阿莎芬堡医院进修胎儿心脏,擅长胎儿心脏疾病诊断、小儿先天性心脏病及成人心脏疾病诊断。
袁开明
温州医科大学附属第二医院
麻醉科副主任、副主任医师,医学博士,硕士研究生导师,任中国心胸血管麻醉学会小儿分会委员,浙江省医学会ERAS分会青委会副主委、麻醉学分会青委,中国老年医学学会麻醉学分会委员,中国神经科学学会麻醉与脑科学分会青委等。
主持国家级项目1项,省级项目1项,厅局级项目3项。发表SCI论文十余篇,参编著作5部。



