2022年6月30日,宝鸡市人民医院心血管内一科白志生主任团队应用TaurusElite经导管主动脉瓣置换系统成功完成首台TAVR手术。该患者主动脉瓣狭窄伴关闭不全、冠心病、心功能Ⅳ级,积极纠正心衰治疗后,轻微运动后仍气短症状。该患者病史已有11年,反复住院治疗,且逐年加重,辗转多家医院后慕名来到宝鸡市人民医院。心血管内一科白志生主任对患者做了详细检查,考虑患者严重心衰,心功能差,开胸手术风险高,全科进行危重病例讨论,一致认为患者符合TAVR手术指征。此次手术特别邀请西京医院心脏大血管外科刘洋教授前来指导,专家及心血管一科团队根据患者的实际情况,经过反复研讨,一致认为患者冠脉钙化重,有闭塞支且侧支循环己形成,对于TAVR手术而言,患者心脏解剖为Type1型二叶式主动脉瓣,L-R纤维性增厚并融合,伴有严重横位心,大大增加了手术难度。术中心血管内一科协同超声医学科、麻醉手术科、介入科、心胸外科、医学影像科,在刘洋教授的指导下密切协作,瓣膜植入位置理想,多角度造影确认无瓣周漏,跨瓣压差降低为5mmHg,术中及术后未现TAVR相关并发症,手术完美结束。
患者基本信息:
患者女性,62岁,以“间断胸闷、气短11年,加重8天”为主诉入院。经心脏超声检查,测辦口面积1.26cm²,主动脉辦上流速Vmax3.22m/s,平均跨瓣压差PG42mmHg。
超声提示:
主动脉瓣狭窄(中度)伴关闭不全(中度);
二尖辦反流(少量);
左房左室。
术前CT评估:
主动脉根部总览
轻度钙化,钙化块主要沿无冠窦瓣叶分布
主动脉根部测量:
Type1型二叶瓣,L-R纤维样融合,LVOT偏敞口型,水平夹角72°,严重横位心
冠脉测量:
冠脉开口高度可,切线角度测量未见冗长瓣叶
主动脉弓测量:
主动脉弓部宽度、角度可
外周入路:
整体入路血管直径尚可,走行尚可腹主-髂总钙化分布较多
术前讨论:
•Type1型二叶瓣,L-R纤维样融合,轻度钙化,钙化块主要沿无冠窦瓣叶分布;LVOT偏敞口型;
•-左、右冠脉开口高度可,左冠起源于STJ之上;切线角度测量未见冗长瓣叶;
•-瓦氏窦、窦管交界内径稍偏小,升主动脉扩张,最宽处约45.2mm;
•-左心室内径偏大,心室壁较薄;
•-主动脉瓣水平夹角约72°严重横位心,主动脉弓宽度角度可,弓顶部散在钙化分布;
•-股-髂动脉走行适宜,内径可,腹主-髂总钙化分布较多,右侧股动脉穿刺点有钙化分布,股动脉分叉较高;左侧股动脉穿刺点极少钙化。
手术策略:
•推荐右侧股动脉为主入路,左侧为辅助入路;
•推荐20mm球囊预扩,直接预装26瓣膜,建议瓣环下零位左右定位释放。
术中操作:
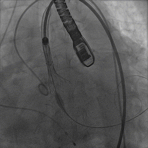
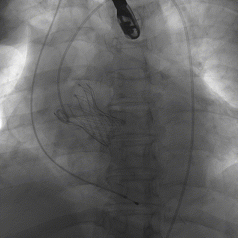
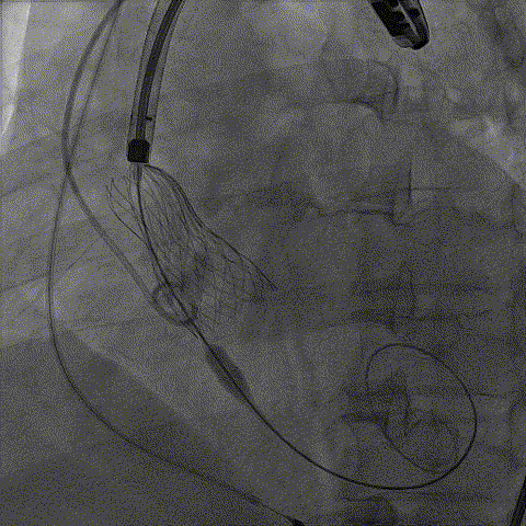
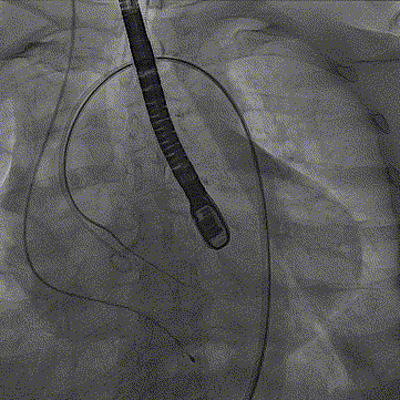
手术影像:
导丝顺利跨瓣
严重横位心,输送器无需
snare顺利跨瓣释放
工作位造影位置良好
瓣膜依次缓慢脱钩
完全释放后造影无漏
外周入路造影良好
超声评估:
术后超声提示:主动脉瓣无瓣周漏
术者寄语:
随着老龄化社会的快速到来,老年瓣膜病的发病率和发病人数逐年上升,瓣膜的退行性改变成了影响老年人生活质量、导致心力衰竭和死亡的重要病因,这方面问题越来越受到心血管医生关注,成为了目前心血管内外科医生研究及解决的热点之一。另外随着中国TAVR事业的不断蓬勃发展,TAVR手术以微创、疗效好、恢复快为特点,为心血管病的诊疗带来了颠覆式革命性的进步。但TAVR手术由于需要精准协作的手术团队力量,手术中血流动力学变化大,难度较高,是心脏介入手术领域皇冠上的明珠,只有术者的不断进步才能更好的为病患服务,解除病患痛苦,提高人民的生活质量。此次手术在宝鸡市心血管内科专业领域首例开展,宝鸡市人民医院心血管一科经过严谨的患者选择,反复讨论,在上级医院专家的指导支持下,顺利完成首台TAVR手术。此次手术的顺利开展,展示了宝鸡市人民医院在瓣膜介入领域的跨越式发展,未来将以TAVR作为介入换瓣的奠基,造福一方瓣膜疾病患者。
专家简介
白志生
宝鸡市人民医院
主任医师,教授,硕士研究生学历,主任医师,中共党员,宝鸡市人民医院心血管内一科科主任,宝鸡市人民医院胸痛中心、心衰中心、高血压达标中心业务总监。擅长心血管病急危重症的诊治及心血管病介入诊疗技术,在冠心病介入诊疗、起搏器植入术、先心病封堵术,射频消融术水平和例数处全市前列,个人累积完成介入手术5000余例。带领心血管内科团队在宝鸡市率先通过了国家级胸痛中心(标准版)、国家级心衰中心(标准版)、高血压达标中心认证工作。目前正在进行房颤中心、晕厥中心、心脏康复中心的创建工作。
现任国际血管联盟中国分部心血管专家委员会委员,中国医药教育协会基层医药教育专业委员会委员,陕西省健康促进与教育协会结构性心脏病专业委员会副主委,陕西省医师协会心衰专业委员会常委,陕西省医促进会胸痛专业委员会常委,陕西省房颤联盟常委,陕西省心脏康复专业委员会常委,陕西省高血压专业委员会常委,陕西省中西医结合学会第一届周围血管专业委员会常委,宝鸡市医师协会副会长,宝鸡市医师协会心血管内科医师分会主任委员,宝鸡市医学会心血管专业委员会副主委,宝鸡市慢病防控委员会副主委;是宝鸡市“十佳文明青年”,宝鸡市政府有突出贡献的拔尖人才,宝鸡市第二届德艺双馨十佳医师,宝鸡市五一劳模奖章获得者,宝鸡市“德艺双馨”医师标兵。先后获得市级科技进步奖三项、市二等奖两项、三等奖一项,发表核心论文10余篇,专著一部,参编一部。
