近日,在首都医科大学附属北京安贞医院纪智礼书记和张宏家院长的大力支持下,周玉杰副院长、老年心血管病中心史冬梅主任、王志坚主任、郭永和主任带领TAVR团队,在手术室、麻醉科、超声科、影像科等科室的全力配合下,成功应用TriGUARD3™抗栓塞远端脑保护装置为一名高龄低体重、严重二叶瓣畸形、重度主动脉瓣狭窄的冠脉高风险、脑梗高风险患者完成经导管主动脉瓣置换术(TAVR),术后患者恢复状况良好。这也是全球首例冠脉保护与TriGUARD3™抗栓塞远端脑保护装置同时辅助TAVR手术实施的病例。
患者基本信息
70岁,男性。主诉活动后乏力1年,加重10天。既往健康状况欠佳,有COPD、脑梗死、贫血病史,双侧椎动脉及颈动脉多发斑块、严重狭窄。
术前评估
超声心动图显示,主动脉最大流速482cm/s,最大压差93mmHg,平均压差50mmHg,LVEF65%。CT显示主动脉瓣为TYPE2型二叶瓣,严重钙化,右无、左无可见粘连伴钙化,瓣环平面可见钙化,钙化延伸至流出道及二尖瓣前叶根部,左冠高度约12mm,瓣叶长度14.9mm,存在一定左冠风险,法式窦平均直径33.7mm,STJ高度约21.8mm、直径约30.2mm。
手术策略
主动脉弓部走行较平缓,弓顶部可见少许钙化,主动脉弓部三根毛开口未见明显狭窄征象、未见发育变异,胸主动脉、腹主动脉走行较平直、腹主动脉多发严重钙化斑块,管腔未见明显狭窄,双侧髂动脉-股动脉走形迂曲,双侧髂动脉多发严重钙化斑块,部分呈半环形、马蹄形分布,右侧股动脉可尝试做为主入路,左股动脉作为脑保护入路。虚拟瓣环直径25mm,左室流出道平均直径23.3mm,拟植入VenusA Plus 23/26号的瓣膜。术中balloon sizing确认瓣膜型号,同时确认冠脉风险。
考虑脑保护装置偏转过滤器需完全覆盖主动脉弓部三条血管,无法再常规通过桡动脉进行冠脉保护,为此,周玉杰教授团队在术前进行了充分的讨论,决定在左侧股动脉穿刺两条入路分别进行冠脉保护和脑保护,患者腹主动脉到双侧髂动脉均有多发钙化斑块,可能会影响大鞘、脑保护及冠脉保护器械的操作,因此周院长特意准备了长鞘,必要时可将冠脉保护器械直接跨过腹主动脉,便于操作。
手术过程
脑保护
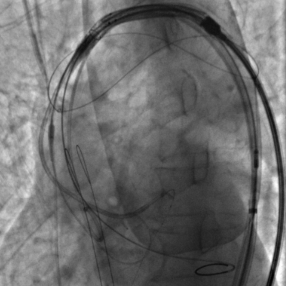
患者既往有COPD病史,且体重极低,为避免麻醉相关并发症,麻醉方式上选择局部麻醉。在左侧股动脉上下两个穿刺点行股动脉穿刺,上穿刺点置入6F鞘管,下穿刺点置入8F鞘管。右侧股动脉切开处送入20F大鞘。沿左股动脉8F鞘,交换送入TriGUARD3™脑保护装置,透视下顺利过弓,准确定位后成功释放过滤器,全部覆盖主动脉弓的三条血管。经TriGUARD3™送入5F猪尾至升主动脉。
脑保护释放
冠脉保护
沿左股动脉6F鞘,将JL4.0指引导管送至LM开口,送 SION 导丝至前降支远端,循SION导丝依次送Guidezilla II 延长导管和Sprinter 2.5*12m球囊至左冠内进行冠脉保护。
冠脉保护完成
球囊扩张及瓣膜释放
主入路选择20mm预扩张球囊,在起搏器调至180次/分条件下球囊于主动脉瓣膜处进行扩张,扩张效果较满意,球囊可见腰征,无明显反流,左冠显影欠佳。根据预扩情况,决定Downsize选择23号瓣膜,沿Lundquest加硬导丝送入VenusA Plus 23号主动脉瓣膜,起搏器调至180次/分,平稳释放瓣膜。瓣膜释放后主动脉根部造影及冠脉选择性造影提示冠脉通畅,血流TIMI3级,瓣膜位置良好,形态欠佳,同时超声提示存在少-中量周漏,遂使用20mm球囊进行后扩张,扩张后超声显示瓣上最大流速由术前482cm/s,降低至181cm/s ,最大压差由83mmHg降低至13mmHg,平均压差由50mmHg降低至7mmHg,瓣膜形态及位置良好,无瓣周漏。成功撤出 TriGUARD3脑保护装置,并捕获两块脱落组织。手术过程顺利,患者生命体征平稳,手术过程几乎无任何出血。
瓣膜释放
主动脉根部造影
TriGUARD3™作为在TAVR手术过程中第一个进入人体,最后一个撤出的器械,从植入,球囊预扩,瓣膜输送系统过弓跨瓣,瓣膜释放,输送系统撤出,直至TriGUARD3™脑保护装置撤出,全程保护大脑血管,对降低患者新发脑损伤,减少相关并发症的发生起到良好的效果。术后患者头部MRI检查与术前相比,脑保护效果十分满意。
在TriGUARD3™的全程保护下手术顺利完成
TriGUARD3脑保护装置捕获的脱落组织
手术专家组点评:
患者为高龄低体重男性,体重仅44公斤,既往有脑梗塞、COPD病史,轻度贫血,主动脉瓣重度狭窄,严重二叶瓣畸形、冠状窦严重钙化融合、冠脉开口低,瓣膜钙化且冗长,斑块挤压冠脉开口风险极高,双侧椎动脉、颈动脉多发严重狭窄及脑梗病史也使得患者TAVR术中脑梗的风险大大增加。因此,术中同时进行脑保护和冠脉保护可以有效降低患者冠脉闭塞及新发脑梗的风险。
为此,老年心血管病中心TAVR团队在术前深度讨论手术策略,认为可以尝试通过左股动脉穿刺两条入路的方式为患者实施冠脉保护与TriGUARD3TM脑保护的双重保护,考虑到患者下肢入路钙化严重,特别在冠脉保护入路增加了一个6F 70cm的长鞘,确保冠脉保护与脑保护装置互不干扰,从而提高手术的安全性。
专家简介
周玉杰
首都医科大学附属北京安贞医院
主任医师、教授、博士生导师、北京学者,常务副院长,北京市心肺血管疾病研究所常务副所长。中国复杂、高危、疑难冠心病微创介入治疗和经皮心脏瓣膜疾病介入治疗领域的开拓者和推动者。国家老年心血管临床重点专科,冠心病精准治疗北京市重点实验室,冠心病临床诊疗与研究中心,冠心病创新技术精准化诊疗平台学术负责人,卫生优秀科技人才及领军人才,新世纪国家级百千万人才。“登峰”人才,“使命”人才培养计划团队负责人,国家有突出贡献中青年专家,国家卫生计生委突出贡献专家,个人及指导手术量突破20000例,承担多项国家级重大专项,获得发明专利13项。FACC,FHRS,FSCAI,FESC资深会员,中国医师协会介入心脏病协会主任委员,中国医疗保健国际交流促进会医疗质量控制委员会主任委员,中国老年保健医学研究会慢病防治管理委员会主任委员等。2019年6月荣获美国C3(复杂心血管介入治疗)终身成就奖
