近日,柳州市工人医院何柳平主任团队成功完成TaurusElite经导管主动脉瓣系统植入。患者为55岁中年男性,明确“主动脉瓣重度狭窄”诊断,先后于2022年5月23和2022年6月28两次入院。合并多种疾病、病情复杂,何柳平主任邀请心胸外科进行多次会诊,几次反复讨论。考虑到患者心功能较差,合并多种基础疾病,若行普通开胸换瓣手术,体外循环不耐受,外科手术有一定风险,且患者本人拒绝外科手术。最终给患者制定了 TAVR 手术策略。何柳平主任团队术前反复讨论、精准评估,制定了详细的手术策略,手术过程十分顺利。瓣膜植入后即刻血流动力学改善,床旁超声提示瓣膜位置良好,只有少量瓣周漏,结果理想,手术圆满成功!
患者基本信息
患者,男性,55岁。既往糖尿病、脑梗塞、冠心病等症史。主诉反复胸闷、气促,患者10月前出现反复胸闷、气促症状,活动明显,步行50-100米需停下休息,伴夜间阵发性呼吸困难。2021年11月、12月、2022年5月三次住院治疗,均可经强化抗心衰药物治疗好转,出院可达到平地行走400-500米、无夜间阵发性呼吸困难程度。拒绝外科换瓣手术出院。药物治疗后症状反复。其中第1次住院行冠状动脉造影显示:LAD近段狭窄50-60%。2022年6月28日第四次住院,此次症状明显加重,甚至轻微室内活动则明显气促、夜间不能平卧。主动脉瓣听诊区闻及粗糙响亮收缩期杂音,下肢轻-中度浮肿。
入院后心脏彩超提示:EF:38%,FS:18%,Vmax=4.4m/s,Vmean=81mmHg,轻度返流。主动脉瓣钙化并狭窄(重度)伴返流(少量)全心增大;左室壁运动普遍减低升主动脉增宽室间隔与左室后壁增厚二尖瓣返流(少量);三尖瓣返流(中量)肺动脉高压(轻度)左室舒张功能降低 左室射血分数∶38%。
初步诊断:
1.心脏瓣膜病 主动脉瓣狭窄(重度) 心功能Ⅳ级
2.冠心病 不稳定性心绞痛
3.高尿酸血症
4.2型糖尿病
5.肺部感染
6.胸腔积液
7.心律失常-频发室早 短阵室速
8.颈动脉硬化
9.脂肪肝
10.脑梗死
11.脑动脉硬化
术前评估
· Type 0型二叶式主动脉瓣,左右冠脉不同窦,重度钙化,钙化分布较均匀,左冠窦和无冠窦内钙化呈块状主要分布在对合缘及瓣叶边缘,瓣叶对合缘存在局部钙化粘连及纤维增厚;
· 瓦氏窦内径尚可,窦管交界内径尚可,升主动脉内径尚可;
· 心室腔内径偏大,心室壁厚度尚可,心尖较薄,EF值偏小,左室流出道偏敞口形态;
· 冠脉开口高度可,右冠纤细,冠脉未见明显钙化;
· 主动脉瓣环水平夹角51度,非横位心,主动脉弓宽度、角度尚可,弓部存在散在钙化;
· 外周走行适宜,降主及胸主动脉存在散在钙化,左侧股动脉分叉稍高,血管内径可,血管内壁存在钙化和不规则纤维增厚。
主动脉根部CTA
根部概览
ANNULUS
SOV DIAMETER
LVOT
STJ
LEFT CORONARY
RIGHT CORONARY
LCA&LEAFLET
RCA&LEAFLET
2mm SUPRA ANNULUS
4mm SUPRA ANNULUS
6mm SUPRA ANNULUS
8mm SUPRA ANNULUS
10mm SUPRA ANNULUS
12mm SUPRA ANNULUS
HU850
虚拟瓣环与水平夹角
外周血管及主动脉弓解剖
手术策略讨论
· 术前考虑右侧股动脉为主入路,左侧为辅助入路。
· 冠脉开口高度可,右冠纤细,冠脉未见明显钙化,结合瓦氏窦及STJ尺寸预估,冠脉风险适中,建议术中密切关注左冠灌注情况。
· 心室腔内径偏大,心室壁厚度尚可,心尖较薄,术中注意导丝型态,EF值偏小,循环崩溃风险增加,必要时可备ECMO或CPB。
· 水平夹角51度,非横位心,主动脉弓宽度、角度尚可,弓部存在散在钙化,预估输送器过弓顺利,跨瓣难度增高,必要时采用Snare辅助。
· 外周走行适宜,降主及胸主动脉存在散在钙化,左侧股动脉分叉稍高,血管内径可,血管内壁存在钙化和不规则纤维增厚,入路穿刺规范操作,小心通过,避免入路血管损伤及相关并发症。
· 重度钙化二叶式病变重度主动脉瓣狭窄,其瓣口面积小,瓣口限制明显,术中瓣膜锚定难度较大,瓣膜植入受二叶瓣瓣叶及团块状钙化挤压存在移位及少量偏多瓣周漏风险,为避免手术并发症,手术预装AV26瓣膜,根据20mm球囊预扩结果选择瓣膜型号,计划瓣膜瓣上2mm开始释放。
术前讨论剪影
手术过程
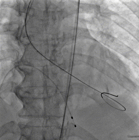
术前主动脉根部造影
20mm球囊预扩
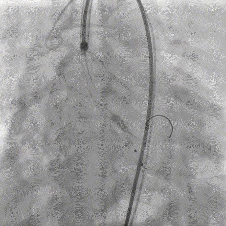
AV26瓣膜定位
AV26瓣膜工作位造影
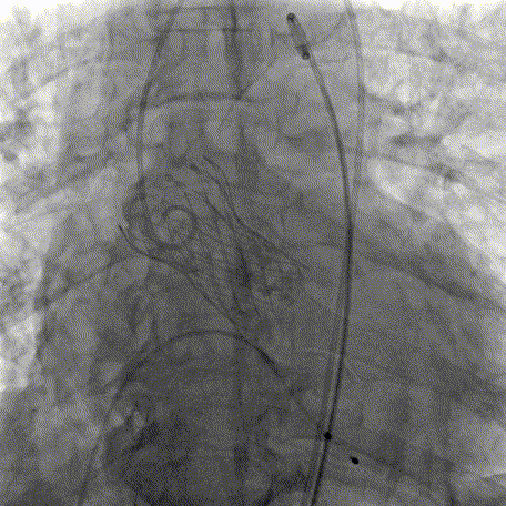
AV26瓣膜释放
术后主动脉根部造影
本例手术为重度钙化二叶式病变重度主动脉瓣狭窄TAVR手术,团块状钙化挤压存在移位瓣周漏风险,术前手术团队对患者进行了全面细致的评估,确定假体瓣膜锚定区域范围,制定术前释放策略。何柳平主任团队通力配合、精准释放,充分利用TaurusElite可回收功能,在瓣膜释放至2/3时,多角度评估瓣膜植入深度、锚定力以及冠脉灌注情况,确认瓣膜植入深度合适、锚定力稳定,缓慢逐个脱钩,进行瓣膜释放。释放后造影显示瓣膜膨胀良好,行血流动力学评估,跨瓣压差从术前100mmHg降至15mmHg,少量瓣周漏,手术圆满完成。
患者术后症状明显改善,次日即可下床活动,室内随意活动,过去不敢尝试的上楼,在医院步梯连续几日尝试,都可以一口气登上3-4层楼,并且比较轻松。患者惊叹于“微创”手术的神奇,对自已的选择表示满意,也对未来的生活充满憧憬和希望。
专家寄语
“过去很多患者听到心脏瓣膜病需要开胸,会因为无法克服心理的恐惧,而选择保守治疗,随着病情的进展,因此也延误了最佳的治疗时机,这是非常令人感到遗憾的。随着TAVR技术的普及和日渐成熟,TAVR手术的低创伤性让很多“谈开胸色变”的患者多了一个治疗选择,为“延续心声”带来了更多可能性。然而这项技术在我国还是比较“年轻”,希望今后能看到更多的真实世界的数据证明是否能够给患者带来长远的获益。”
专家简介
何柳平
柳州市工人医院
医学硕士,主任医师,柳州市工人医院心内三病区副主任,中国房颤中心联盟第一届委员会委员,广西预防医学会第一届心血管疾病防治专业委员会副主任委员,广西预防医学会老年病防治专业委员会第一届委员会常务委员,广西医学会心脏起搏与电生理分会委员,广西医学会心电学分会常务委员,柳州医学会心电学分会副主任委员,广西医师协会心电学分会常务委员。
