2022年7月21日上午,中山大学附属第一医院李怡教授带领医院心血管医学部冠心病介入治疗团队成功应用Shockwave冲击波球囊钙化斑块碎裂术,为一名64岁复杂冠心病患开通病变,成为华南地区最早开展该项技术的医院之一。
通过在电解液充盈的球囊内使用高压放电产生冲击波,冲击波导管钙化斑块碎裂术实现安全碎裂浅、深层钙化,改善血管顺应性的目的,是冠脉钙化病变介入治疗的有效补充手段。此次手术的圆满完成体现了中山大学附属第一医院心血管医学部冠心病介入治疗团队在冠脉介入治疗新技术领域的积极探索与成功实践,标志着团队在心血管钙化介入治疗领域迈入崭新篇章!
患者病史
患者男,64岁,2022年6月5日急性下壁心肌梗死行介入干预,于右冠植入支架一枚,6月15日对左冠病变进行治疗。冠脉系统呈右侧优势型,右冠中段支架通畅。左主干大致正常,前降支近端至中段重度狭窄伴明显钙化。对前降支进行介入干预,以2.5*15mm球囊预扩张后,在前降支中段植入2.5*18mm Resolute支架,之后尝试在前降支近端植入 3.0*26mm支架不成功,经反复预扩张后,支架仍无法通过病变,血管内超声证实前降支近端可见环形钙化并重度狭窄。
治疗过程
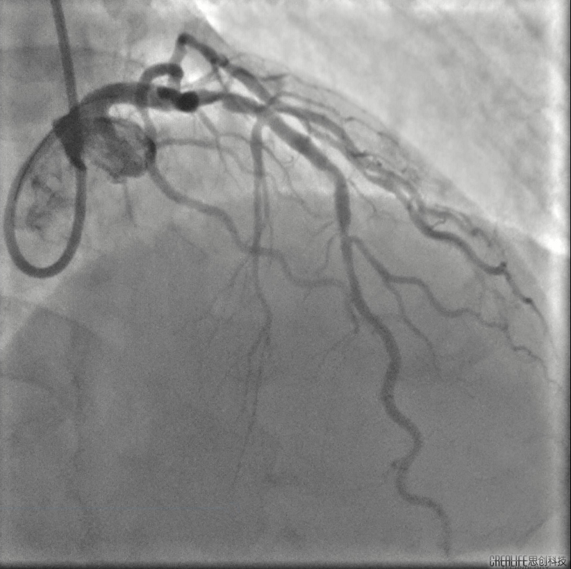
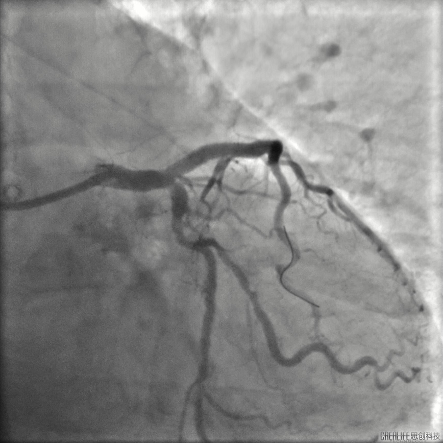
术前
震波碎石后
术后
术后点评
庄晓东教授:该患者前次介入时未进行充分病变预处理即植入支架,造成支架膨胀不全,支架近端和远端仍残留钙化狭窄病变。尝试在近端病变植入支架不成功,即使使用切割球囊反复扩张,支架仍无法通过。旋磨可能需要通过支架对支架远端病变及近端病变进行处理,容易出现磨头嵌顿等并发症,冠脉内冲击波球囊钙化斑块碎裂术能有效打断环形钙化,对支架又不会造成额外破坏,且Shockwave球囊操作便捷,安全性好,是该病人目前治疗的最优策略。
胡洵教授:术前Oct可见前降支中远段严重钙化病变,部分节段呈360度钙化环,最大钙化厚度0.8 mm,中段原支架最小支架面积3.9mm2,支架膨胀率63%,支架外可见明显钙化斑块,近段已用3.0shockwave冲击波球囊进行30次脉冲冲击,钙化病变处可见多处断裂,最深断裂处可达 0.55mm,使用3.0shockwave球囊于中段原支架膨胀不良处进行50次脉冲冲击,2.5shockwave球囊于中远段钙化病变处进行30次脉冲冲击,再次复查Oct可见中远段钙化环出现多处断裂,中段原支架膨胀不良处支架面积明显改善,在前降支远段植入2.5支架,中段原支架内予以3.0高压球囊扩张,近段植入3.5支架并用3.5高压球囊扩张,最后复查Oct见远段支架最小面积 4.21mm2,支架膨胀率75%,中段原支架最小支架面积5.08mm2,支架膨胀率75%,近段最小支架面积 10.20mm2,支架膨胀率85%。
李怡教授:DISRUPT CAD III是一个前瞻性的多中心单臂研究,共入组431位患者。384 名原发性和继发性意向治疗数据纳入最终分析。结果显示:手术成功率达到99%,一年TVR为6%。CAD III证实了Shockwave IVL技术在复杂的冠脉钙化病变应用的安全性,围手术期并发症低;也证实该技术的有效性、易用性、学习曲线短,以及临床结果的一致性。
专家简介
李怡
中山大学附属第一医院
医学博士、副主任医师 ,现任中山大学附属第一医院心内科副主任。
广东省医学会心血管分会危急重症学组副组长,广东省医师协会心血管介入医师分会秘书,广东省医师协会冠脉影像与功能学分会常委 ,广东省中西医结合学会心血管介入专业委员会常委 ,广东省健康管理学会心血管病专业委员会常委,专著《冠脉血管内超声图谱》。
中山大学完成硕士及博士,于澳大利亚维多利亚心脏中心完成心血管介入专科医师培训,从事心血管内科临床工作约20年,近15年一直工作在心血管重症监护室。主要从事冠心病、瓣膜病、心力衰竭及心血管重症的临床诊疗工作。擅长冠心病、结构性心脏病的介入诊疗、心血管危重症的诊疗。
庄晓东
中山大学附属第一医院
医学博士,副主任医师,硕士生导师。
中国研究型医院学会心力衰竭专业委员会常委,中国大湾区心脏协会委员,广东省生理学会心血管专业委员会青委主任委员,广东省病理生理学会心血管专业委员会青委副主委,广东省病理生理学会心血管专业委员会常委,广东省医学会心血管病学分会青年委员,广东省医学会心血管病学分会临床研究学组委员,广东省医师协会高血压专业医师分会青年医师专业组委员。
中山一院“柯麟新星”和“柯麟菁英”人才,发表SCI论文30余篇,多个SCI杂志审稿人;主持国自然科学基金/广东省自然科学基金多项,参与多项国内外多中心临床研究。
临床与研究方向:冠脉和主动脉瓣膜介入治疗,代谢性心血管疾病的基础与临床研究。
胡洵
中山大学附属第一医院
副主任医师 硕士研究生导师,哥伦比亚大学/心血管研究基金会 博士后,亚太介入心脏病学会委员(FAPSIC),中国心血管医生创新俱乐部(CCI)执行委员,中国介入心脏病学大会(CIT)工作组成员,中国冠脉腔内影像学及功能学青年医师俱乐部(CCEC)会员,广东省药学会心血管联盟 常务委员,广东省医学会心血管病分会心血管影像学组 委员,广东省健康管理学会心血管病学专业委员会 委员。
擅长腔内影像学及功能学指导的精准PCI。主持及参与多项国家级和省部级课题,在国际期刊发表论文20余篇,参编《内科疾病鉴别诊断学》,《FFR100问》,《中国心血管医疗器械产业创新白皮书》。


