吉林大学中日联谊医院心血管内科心脏瓣膜团队在心脏超声科、麻醉科等多学科团队的密切配合下,于2022年6月29日及7月6日成功应用TaurusOne为两名重度主动脉瓣狭窄患者进行了经导管主动脉瓣置换术。两台手术术后造影及超声综合评估各项参数理想,均圆满成功。
Case 1
患者基本情况
患者为68岁老年女性,因“阵发性胸闷、气短8年,加重6个月”收治入院。经系统检查后确诊为主动脉瓣重度狭窄,超声提示:主动脉瓣重度狭窄(主动脉瓣瓣口流速 3.1m/s,瓣口面积0.72cm²)左室肥厚,主动脉硬化。心电图提示:窦性心率,左室肥大伴ST-T异常,年龄较大症状较重。张文琪主任表示,随着我国人口老龄化加重,老年退行性心脏瓣膜病越来越多,并且很可能合并有冠状动脉狭窄性疾病,这类患者如果不进行有效的医治不进行有效治疗的话日常生活质量严重受限,考虑病人有合并冠心病的可能,传统外科手术治疗对高龄患者存在极高风险,故选择不开胸、创伤小的PCI+TAVR一站式手术方式是最佳选择,是老年重症主动脉瓣病变合并冠心病患者的福音。
手术过程概览
冠脉造影显示回旋支近中段严重狭窄
LCX植入冠脉支架
LCX血运重建
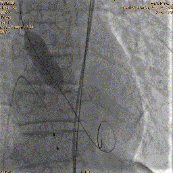
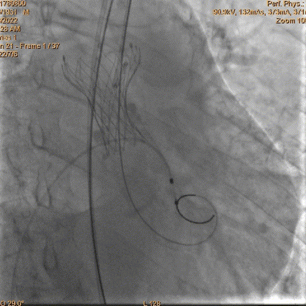
瓣膜最终释放位造影
即刻跨瓣压差0mmHg
Case 2
患者基本情况
患者为71岁老年男性,因“活动时胸闷伴心悸、加重1个月”收治入院。经系统检查后确诊为主动脉瓣重度狭窄,超声提示:主动脉瓣重度狭窄(主动脉瓣瓣口流速 5.3m/s,平均跨瓣压差78mmHg,瓣口面积0.5cm²)舒张功能降低,左房增大,左室壁肥厚,病人诊断明确,符合TAVR适应症,故决定行经导管主动脉瓣置换术。
手术过程概览
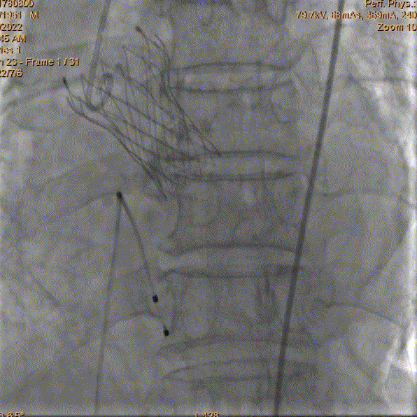
18mm球囊预扩
AV23瓣膜完全释放
18mm球囊后扩
后扩后形态理想
即刻跨瓣压差为4mmHg
团队寄语
吉林大学中日联谊医院心脏瓣膜团队由杨萍主任组建,联合麻醉科、手术室、超声医学科等多个学科组成多学科团队,整合了多个部门精英骨干,聚焦经导管心脏瓣膜介入治疗,致力于为每一位心脏瓣膜疾病患者制定精细的术前筛查、手术策划、术中精诚合作及术后精细化管理,为患者带来最优化的治疗方案及围术期管理。
由张文琪主任,刘国辉教授,郑海阔主治医师组成的结构瓣膜团队自开展吉林省首例经导管主动脉瓣膜置换术(TAVR),截至目前已完成近二十余例TAVR手术,包括二叶瓣病例、风湿性瓣膜病病例、极重度钙化病例、二尖瓣机械瓣置换术后TAVR手术,在TAVR治疗方面拥有较为丰富的手术经验及相关技术,并取得良好的社会反响。面对今天所取得的成就,吉林大学中日联谊医院心内科在杨萍主任的带领下,秉承初心,继承老前辈们的创新、拼搏的精神,迈着坚实的步伐,以医、教、研、管为主线,多方面协调发展,奋勇前进。在不断进步发展的同时始终秉持以患者为中心的态度,造福病人。
专家简介
张文琪
吉林大学中日联谊医院
主任医师,教授,博士研究生导师,吉林大学中日联谊医院心血管内科副主任。
主要社会兼职:
中华医学会心血管病学分会结构心脏病学组委员;中国医师协会心血管分会血栓防治专业委员会委员;中国医师协会腔内血管专业委员会药物专家委员会副主任委员;海峡两岸医药卫生交流协会心血管专业委员会委员;吉林省医师协会高血压专业委员会副主任委员;吉林省健康管理学会心源性卒中委员会主任委员;吉林省健康管理学会心血管病专业委员会副主任委员;吉林省心律失常及先心病介入治疗质控中心副主任;吉林省预防医学会心脏病预防及控制专业委员会副主任委员。
