2022年7月19日,清华大学第一附属医院苗立夫主任团队,在心脏中心、麻醉科等科室倾力协助和技术支持下,成功为一例“主动脉瓣狭窄(重度),重症心衰”的患者,完成全麻、ECMO湿备条件下,高难度TAVR手术。瓣膜植入后工作稳定,跨瓣压差明显降低,未出现冠脉阻挡,手术顺利完成。
基本信息
主诉:间断活动后喘憋11月,再发1月。
现病史:
本次就诊11个月前因“喘憋4日,加重1日伴咳嗽、咯粉红泡沫痰”,心电图提示急性广泛前壁心梗,心脏彩超示左室前壁、心尖部室壁无运动,主动脉瓣二叶化畸形伴严重钙化,瓣口面积0.4cm²、流速5.5m/sec,左室射血分数(LVEF)20%。冠脉造影提示前降支次全闭塞、右冠及回旋支近段90%狭窄病变。遂于前降支近段植入支架治疗,建议择期行PCI及主动脉瓣置换术。患者选择出院,予抗血小板、阿托伐他汀、诺欣妥及恩格列净治疗,1个月后心脏彩超提示AVA0.3cm²、流速6.1m/sec,LVEF42%,肺动脉收缩压57mmHg。本次因腹泻后乏力喘憋就诊,心脏彩超提示主动脉瓣口面积0.3cm²流速5.1m/sec,EF16%,肺动脉收缩压83mmHg,左室附壁血栓,大量胸水。给予利尿、抗栓治疗后复查心尖部无血栓征,ECMO支持下处理回旋支及右冠90%狭窄病变。继续内科药物治疗效果差,患者血压及运动耐量低,EF恢复至25%,BNP始终>35000,心功能仍较差。
术前超声心动图
峰值压差90mmHg,峰值流速4.7m/s,EF值25%,瓣口面积0.3cm²,肺动脉压55mmHg。
主动脉根部评估
根部概览
长轴概览
钙化概览
Type 0型二叶式主动脉瓣,重度钙化。
多平面分析
敞口状流出道,瓣上限制较重,预估球扩可能存在一定困难。
外周分析
外周概览(钙化)
外周概览
手术策略分析
Type 0型二叶式主动脉瓣,重度钙化,钙化主要分布在瓣叶边缘,瓣膜锚定力充足,瓣膜形态影响较大;
患者心功能较差,EF值25%,术前超声提示无明显反流,循环崩溃风险高。术前湿备ECMO,必要时行ECMO辅助下TAVR手术;
根据根部及瓣上分析,该患者钙化重,敞口型流出道,瓣上限制较重,采用18mm小球囊预扩,植入TaurusElite AV26型号瓣膜,备AV23瓣膜策略,瓣膜释放后观察形态,必要时采用20或22mm球囊进行后扩;
该患者外周血管内径,走形良好,无附壁钙化,预计采用右股为主入路,左股为辅入路。
手术过程
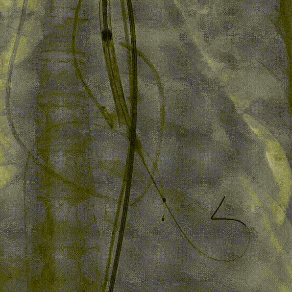
1.根据术前测量分析,采取右侧股动脉作为主入路,左股为辅入路。置入猪尾进行根部造影,造影可见主动脉根部大量钙化,瓣叶活动度低,冠脉支架灌注良好,无明显反流。
根部造影
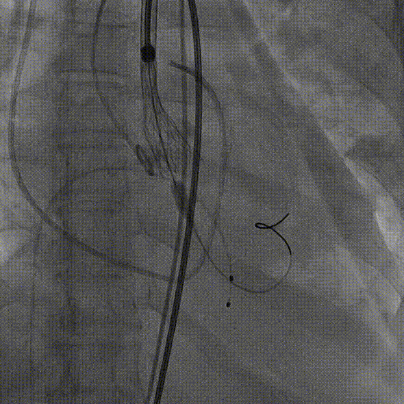
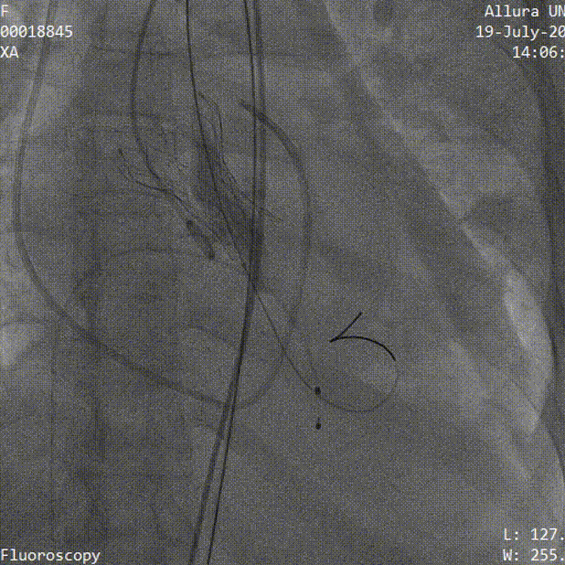
2.18mm球囊预扩,腰征明显,冠脉显影良好,无明显瓣周漏
18mm球囊预扩
3.TaurusElite AV26号瓣膜定位及释放。瓣膜初始定位瓣下2mm,开花后120次起搏,释放到工作位后造影显示锚定充足,位置良好,冠脉未见遮挡,继续缓慢旋转手柄,瓣膜逐一脱钩,顺利释放。
瓣膜初始定位
瓣膜释放过程
瓣膜脱钩
4.释放后多体位观察造影,提示瓣膜位置良好,展开不充分,遂采用20mm及22mm球囊序贯后扩,瓣膜形态明显改善。
20mm球囊后扩
22mm球囊后扩
5.血流动力学监测显示左室充盈压由术前21mmHg降至5mmHg,肺动脉收缩压由68mmHg降至25mmHg,超声提示植入式主动脉瓣活动良好,微量瓣周漏,流速1.52m/s,患者血流动力学改善明显。
6.再次造影检查瓣膜形态良好,无明显瓣周漏,形态良好;造影检查入路血管,无造影剂外渗,手术顺利结束。
根部最终造影
入路造影检查
术者寄语
经导管主动脉瓣置换术(TAVR)目前已成为重度主动脉瓣狭窄的标准治疗术式之一,给该类患者提供了更多的治疗选择。该患者为重症心衰,入院时心功能极差,同时患者根部钙化较多,限制重,结构小,球囊扩张后急性反流带来的循环崩溃风险极高,因此术前湿备ECMO严阵以待。心脏中心团队和麻醉团队密切配合,术前预演各种潜在风险的应对方案,密切关注循环状态,同时预装瓣膜以便必要时尽快植入瓣膜,保障了手术的顺利完成。
专家简介
苗立夫
清华大学第一附属医院
医学博士,主任医师,清华大学第一附属医院心内科主任兼导管室主任。毕业于中国协和医科大学,2005年获郑裕彤基金资助在香港大学医学院Queen Mary医院研修,并取得Medical Council of Hong Kong执业资格。
擅长危重冠心病救治、复杂冠脉病变治疗。作为术者完成冠脉介入治疗1万余例,擅长各类分叉病变术式、冠脉内旋磨、桥血管病变治疗及慢性闭塞病变技术,处理复杂多支、分叉病变、迂曲病变、钙化病变、桥血管病变、支架内闭塞病变及重度血栓负荷病变的成功率、近远期疗效均居国内前列。是国内开展准分子激光冠脉内斑块消蚀术治疗桥血管病变及支架内闭塞病变、ECMO支持下复杂高危冠脉病变介入治疗的先行者和 “介入无植入”理念的倡导者之一。在国内外率先开展婴幼儿冠状动脉瘤合并急性心肌梗死的冠脉内溶栓和取栓治疗,先后指导和协助国内30余家三甲医院开展复杂冠脉介入治疗。
目前为中国医师协会心血管内科医师分会心血管疾病临床研究工作组委员、中华医学会心血管病学分会肺血管病学会委员、北京医师协会心血管内科医师分会理事、北京医学会心血管病学分会委员兼心血管创新与转化学组副组长、中国心胸血管麻醉学会心肺复苏委员会理事、中国优生优育协会母婴心血管结构与代谢专业委员会常务理事、世界中医药联合会介入心脏病专业委员会常务理事、中国心脏内外科医师联盟理事、北京市心血管介入质控与持续改进专家委员会成员、中国医药信息学会心功能学会常务理事、中国循证心血管医学杂志编委、中青年冠脉介入沙龙常务理事、中国经导管瓣膜病介入治疗联盟工作组会员、中国行业医院心血管病学术委员会常务理事、京津冀蒙冠心病专家沙龙副理事长、中国人体健康科技促进会肿瘤医学影像专业委员会副理事长、北京市胸痛中心联盟理事、北京围手术期医学研究会心血管远程医学专业委员会常务委员、北京市伍联德基金会医疗专家组成员、北京市职称评审专家组成员、北京市医学会朝阳区分会医疗技术鉴定专家组成员。先后获得“清华大学先进工作者”、“人民好医生”、“人民好医生2020年度代表”及“华信好医生”荣誉称号。
崔永亮
清华大学第一附属医院
心脏内科副主任医师、医学硕士、北京高血压防治协会心血管代谢医学专业委员会委员、北京医学会心血管分会青年委员、中青年冠脉介入沙龙青年委员、心血管病精准医疗专家委员会青年委员、《临床医学研究与实践》青年编委、湘雅医学期刊社青年编委。毕业于中南大学湘雅医学院。2018年于新加坡国立大学医院导管室进修学习。熟悉大内科业务,精于心血管专业,具有丰富的临床经验,擅长疑难心血管疾病、复杂冠心病介入诊断及治疗术,在冠脉分叉病变介入治疗、左主干病变介入治疗、IABP及ECMO支持下CHIPs病变介入治疗、冠脉慢性闭塞性病变CTO介入治疗方面积累了丰富的临床经验,熟练掌握正向、逆向导丝技术及ADR技术,形成了软硬导丝相结合的技术特点;熟练掌握冠状动脉准分子激光斑块销蚀术(ELCA)、冠脉钙化病变旋磨术、冠脉生理学检查FFR测压、腔内影像学IVUS、OCT在冠脉优化治疗中的应用。在国内外核心期刊已发表专业论文10余篇,多篇论文及手术病例在国内外大型会议发言并获奖,参编译专著3部。
尹燕平
清华大学第一附属医院
医学硕士,副主任医师。北京医学会健康教育和管理学组委员。从事心血管疾病诊治工作二十年,对危重症抢救具有较高水准。在北京朝阳医院、人民医院、日本札幌心血管病中心等国内外多家著名冠心病介入诊疗中心进修学习,能够熟练处理复杂冠脉病变,擅长急性心肌梗死的急诊介入和抢救。熟练应用光学相干断层成像、血管内超声等先进的腔内诊断技术,对冠脉复杂病变进行精准治疗。在国内核心期刊发表多篇专业论著,参与多项国内临床研究。


