2021年12月4日,宜宾市第二人民医院·四川大学华西医院宜宾医院王娟教授团队成功完成TaurusElite经导管主动脉瓣系统的植入,为一例严重主动脉狭窄疾病患者进行了经导管主动脉瓣置换术。该病例极具挑战,三叶式主动脉瓣,瓣叶纤维增厚,瓣叶边缘少量零星钙化,未见明显粘连,瓣叶冗长明显,术前CT分析双侧冠脉均有阻塞风险。此例手术对术者及假体瓣膜有着较高的要求,一直以来,院领导们高度重视结构性心脏病介入治疗发展,也提供了各方面的政策支持。此次,由医务处余得水主任主持,四川大学华西医院陈茂教授、冯沅教授对手术进行了指导,手术团队通过细致的术前影像的评估,综合患者的身体情况,进行风险评估后制定了精准针对性的手术方案。患者植入人工瓣膜后瓣膜工作正常稳定,均未出现并发症,术后即刻患者血流动力学得到了显著改善,手术圆满成功,为患者带来更长久生存期受益和更高生活质量。
患者基本情况
患者61岁女性,体重50Kg。
主诉:晕厥三次,黑矇三个月。入院前3月,患者坐车后出现晕厥,伴意识障碍,持续时间不详(患者自诉当时晕倒后,由旁人掐人中后苏醒),此次发病后,患者感活动后呼吸困难,并出现晕厥2次,持续1、2分钟,有意识丧失,未摔倒在地,并伴有间断黑矇、头昏、乏力,不伴胸痛、喘息、夜间高枕卧位。
术前评估
1.主动脉瓣瓣环周长74.6mm,平均径23.5mm。
2.三叶式主动脉瓣,瓣叶增厚,瓣叶边缘少量零星钙化,未见明显粘连。
3.左右冠开口高度尚可,瓣叶冗长,左冠瓣叶长度>瓣叶附着缘到冠脉开口距离。
4.瓦式窦内径、窦管交界、升主动脉内径可 。
5.非横位心,主动脉弓距及弓部、夹角可。
6.双侧股髂动脉无明显钙化迂曲,整体入路直径良好。
主动脉根部评估
外周血管及主动脉弓解剖
手术策略讨论
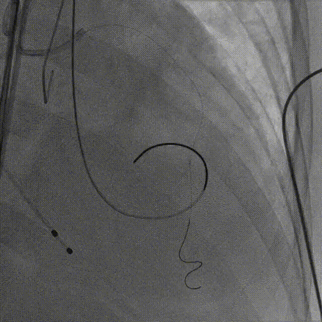
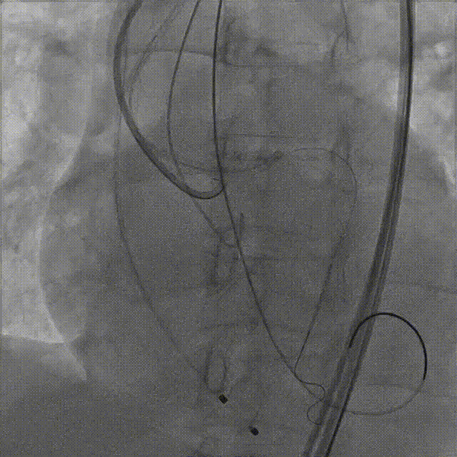
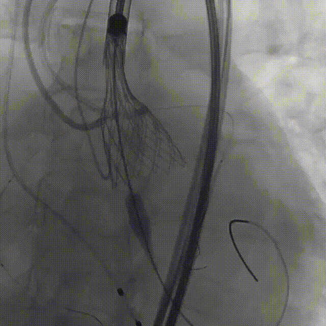
手术过程概览
1.主动脉根部造影
2.18mm球囊预扩
3.左冠造影
4.左冠行支架保护
5.右冠行支架保护
6.右冠造影
7.输送器过弓
8.瓣膜定位
9. 工作位评估冠脉
10.右冠行烟囱支架技术
11.左冠造影评估灌注正常,
撤出支架
12.术后造影
术前压差103mmHg
术后压差2mmHg
术后超声评估
术后一周复查超声平均压差是11mmHg,无瓣周漏,瓣膜正常工作。
2022年6月CT复查
13.术后短轴
14.术后长轴
15.术后冠脉
近日CT复查,瓣膜形态良好无移位瓣膜正常工作,冠脉支架无异常,冠脉灌注良好。
手术心得
·在冠脉风险较高的病例中有效利用球囊预扩进行术中决策选择。
专家简介
陈茂
四川大学华西医院
四川大学华西医院心内科主任,教授、博士研究生导师,国家“万人计划”科技创新领军人才、四川省卫生健康首席专家、四川省卫生计生领军人才、四川省卫生厅学术技术带头人、四川省卫生厅“有突出贡献中青年专家”以及首届“国之名医”荣誉称号获得者。FCSC,FACC,FESC,中华医学会心血管病分会常委,中国医师协会心血管内科医师分会常委,中华医学会心血管病分会结构心脏病学组组长,中国医疗保健国际交流促进会心血管健康医学分会副主任委员,四川省国际医学促进会副会长,四川省医学会心血管病专委会前任及候任主任委员,长城国际心脏病学组委员会县域心血管医师联盟副理事长。PCR—CIT China Chengdu Valves会议、中国中西部心血管病会议执行主席,London Valves会议、Tokyo Valves会议联合国际主席,ESC、PCR、TCT、CSI等会议的专家会员。
研究方向:经导管心脏瓣膜病介入治疗相关基础、应用基础及临床研究。研究成果发表在European Heart Journal、Nature Review of Cardiology、Radiology、JACC: Cardiovascular Interventions等国际高水平学术期刊上,现以第一作者或通讯作者发表SCI论文148篇。主持国家十三五、十二五、国家自然科学基金等国家级、省部级科研项目多项。获四川省科技进步一等奖、中华医学科技二等奖、四川省医学科技一等奖、四川省科学技术进步二等奖等奖项。主刀完成我国西部地区第一例经导管主动脉瓣置换术(TAVR),TAVR完成例数居全国领先水平。在全国率先开展经导管二尖瓣、三尖瓣及肺动脉瓣介入治疗,完成例数居全国前列。
冯沅
四川大学华西医院
主任医师,研究生导师,华西医院先心病亚专业组长,一级专家,中华医学会心血管病分会结构性心脏病学组委员,中国医师协会结构性心脏病学组委员,中华医学会儿科学心血管学组新生儿心脏协作组副组长,中华医学会心血管病分会第10届委员会肺血管病学组委员,四川省心脏瓣膜联盟副主任委员,亚洲心脏瓣膜病学会中国分会心脏瓣膜病介入治疗技术学术委员会常委。临床经验丰富,诊疗技术水平突出,擅长结构性心脏病(先心病、瓣膜病、肺血管病、肺动脉高压)介入诊疗。领先开展多项新技术和挑战、危重症介入手术,高质量完成从新生儿到超高龄患者的各种心脏、肺血管介入手术6000台。发表SCI文章38篇(IF180+),受邀在国内外数十家著名心脏中心指导开展结构性心脏病介入手术。获得2019年四川省科技进步一等奖。
王娟
宜宾市第二人民医院·四川大学华西医院宜宾医院
四川省海外留学高层次人才,四川省医学会内科分会委员,四川省医师协会青年委员,四川省生物信息学会卫生与病案信息分会常委,宜宾市心血管专委会委员;师从欧洲心脏病学会(ESC)核心成员、德国心脏病协会(DZHK)CMR学会主席、德国吕贝克大学附属医院、德国石荷州立医院(基尔、吕贝克)心脏中心主任Ingo Eitel教授,参与冠心病心肌梗死、结构性心脏病、心律失常及心肌病的相关研究。发表SCI论文数篇,参编专著一部。
从事心血管内科近20年,目前主要致力于结构性心脏病、冠心病、心律失常、心力衰竭、高血压等心血管疾病的临床诊断及治疗。擅长目前国际前沿的新技术,如经导管主动脉瓣置换术(TAVR)、经导管二尖瓣修复术(MitraClip、Pascal、Carillon)、左心耳封堵术,以及复杂冠脉病变介入治疗、临时及永久起搏器植入术、有创心导管检查等心血管介入技术。
黄大岗
宜宾市第二人民医院·四川大学华西医院宜宾医院
副主任医师,宜宾市心血管专委会委员,四川省医促会高血压专委会委员,从事心内科临床工作14年,擅长高血压病、冠心病、心力衰竭等心血管疾病的内科诊治,曾在北京阜外心血管病医院(国家心血管病中心)进修学习,主攻心血管介入治疗。
陈岗
宜宾市第二人民医院·四川大学华西医院宜宾医院
副主任医师,宜宾市医学会心血管专委会委员。
2005年7月泸州医学院毕业参加工作,2018年在四川大学华西医学中心进修心脏介入技术1年。从事心血管内科临床工作10余年,在冠心病、高血压、心力衰竭、心律失常、心肌炎心肌病、心脏瓣膜病等心血管疾病的内科治疗方面临床经验丰富,能独立完成临时和永久性心脏起搏器植入术,选择性冠脉造影术,急诊及择期冠脉内支架植入术,心内电生理检查等心血管疾病介入手术。对神经系统、呼吸系统、内分泌系统疾病、血液肾病系统疾病等全科医学诊治方面有较高水平。尤其擅长于冠心病介入诊疗,发表论文2篇。2017年获宜宾二医院第四届教师教学技能比赛“二等奖”。


