嘉境 · 瓣旅|海军军医大学第二附属医院梁春主任团队成功完成一例”大角度+横位心+升主动脉瘤”严重主动脉瓣狭窄患者的TAVR手术

2022年7月29日上午,海军军医大学第二附属医院(上海长征医院)梁春教授团队,在中山医院周达新教授的指导下,成功应用新一代可回收瓣膜系统TaurusElite为一位大角度横位心重度主动脉瓣狭窄伴升主动脉瘤患者施行了TAVR手术。术后患者胸痛和气短症状改善明显。

患者基本情况

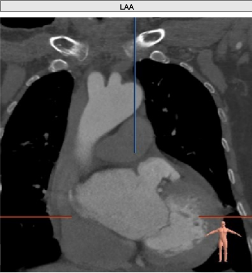
患者为79岁老年男性,因“劳力后胸闷气短5年,加重1周”入院。此次来海军军医大学第二附属医院心内科就诊,心脏超声提示:主动脉重度狭窄伴中度关闭不全;全心增大,左室肥厚;升主动脉瘤样扩张;LVEF:53%。遂以“主动脉狭窄(重度)”收治入院。

主动脉根部评估

Type1型左右融合二叶式主动脉瓣。

瓣环周长84.7mm,平均周长径27.0mm。

LVOT周长91.7mm,平均周长径 29.2mm。

SOV瓦式窦:36.6mm *35.6mm*39.8mm。

STJ平面周长117.8mm。

升主动脉最大直径66.5mm。

瓣叶重度钙化合并增厚,钙化分布不均,主要集中于左右融合部。

HU419 积分3291mm²。

左冠高度17.9mm,右冠高度13.5mm。

瓣口对应瓣叶稍冗长,术中须注意冠脉风险。

主动脉弓角度与宽度可,心脏水平夹角68°,横位心。

左室腔内径尚可,心室壁稍增厚。

外周血管及主动脉弓解剖

入路血管存在较大迂曲,双侧血管内径良好,主动脉弓部夹角及弓距尚可。

病例特点

该患者为一例合并升主动脉瘤的大角度横位心重度AS患者。

  1. 主动脉根部极重度钙化,预估瓣膜受限严重,植入后可能存在钙化导致的瓣周漏;

  2. 窦内钙化严重,瓣叶较长,球囊扩张时须注意瓣叶推移情况;

  3. 升主动脉扩张明显,合并大角度横位心,器械进入走行时存在一定困难,须注意防范血管并发症风险;

  4. 存在一定循环崩溃风险。

手术策略讨论

  1. 患者主动脉瓣钙化严重,钙化灶较集中,推移难度较大,人工瓣膜展开形态可能较差,存在瓣周漏风险,在球囊预扩时应注意钙化灶运动情况

  2. 患者根部钙化极重,心功能较差,可选用小球扩预扩,同时须注意操作,降低球扩并发症风险

  3. 患者主动脉弓距和夹角可,升主动脉扩张明显,合并大角度横位心,器械进入时应尽量轻柔,可使用抓捕器辅助器械操作,避免引起血管损伤。并注意器械于左室内的操作;

  4. 须准备体外循环装置。

手术过程回顾

1.经右侧颈内静脉留置临时起搏电极;以左侧股动脉为辅入路,并在造影指导下穿刺右侧股动脉为主入路;

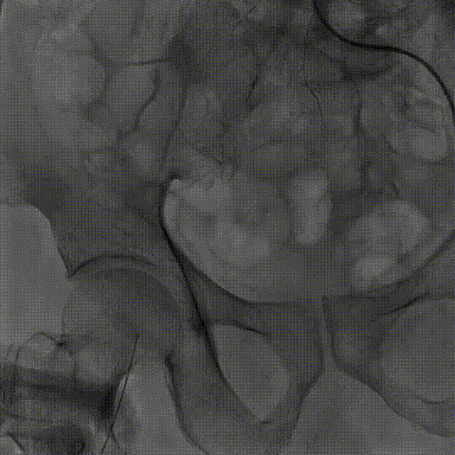
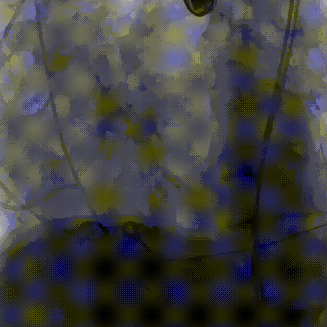
2.主动脉根部造影显示主动脉钙化严重、瓣叶活动度差,伴有轻度反流;

3.直头导丝跨瓣,通过交换导丝将猪尾导管引入左室,测得平均跨瓣压差约77mmHg

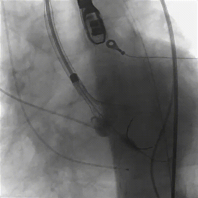
4.150次/分快速起搏下以20mm 巴尔特球囊进行预扩张,扩张同时造影无明显腰征,无造影剂反流

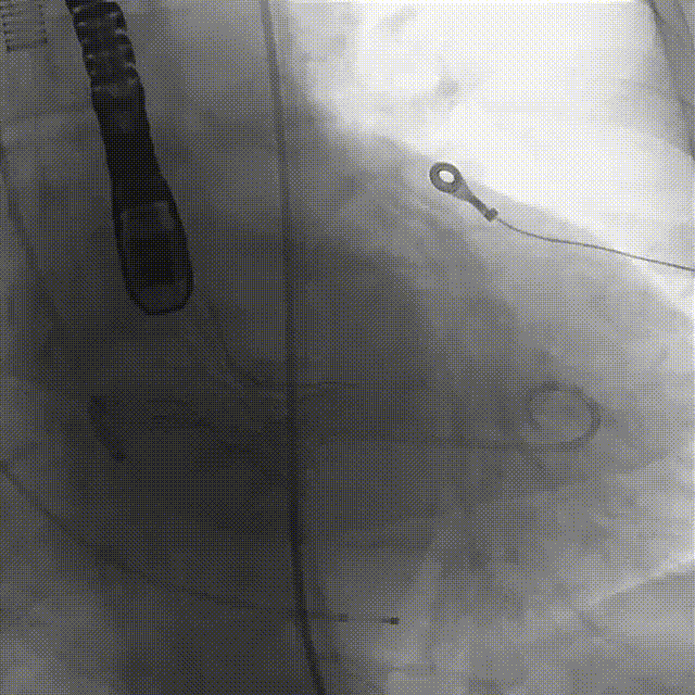
5.根据术前评估及球囊预扩情况,选择23mm沛嘉TaurusElite瓣膜进行植入,抓捕器辅助下输送器头端进入左室,零位定位

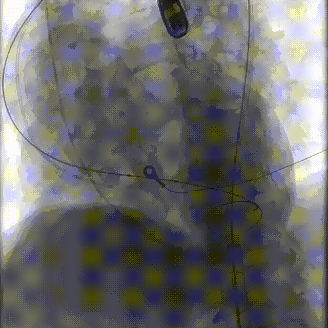
6.在150次/分快速起搏下释放瓣膜至工作位

7.瓣膜释放至工作位后造影示左右冠灌注尚可,瓣膜形态尚可,决定予以释放

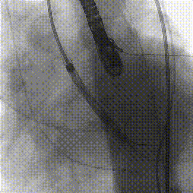
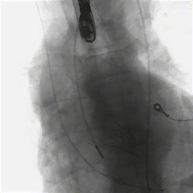
8.造影见明显反流影,瓣膜受限明显,决定予以球囊后扩

9.150次/分快速起搏下以23mm 巴尔特球囊进行后扩张

10.猪尾导管测压显示,平均跨瓣压差约12mmHg,造影示瓣膜定位尚可、开放良好,少量瓣周漏,患者血流动力学指标稳定,血压约100/70mmHg,升主动脉未见造影剂潴留或渗漏,标志手术成功。

术后讨论

本例手术难点与亮点:

本病例难点包括主动脉瓣极重度钙化,跨瓣困难,球扩推移困难及瓣膜展开不良;其次是升主动脉瘤样改变,血管壁极度扩张,器械进入可能引发外周血管损伤。针对这些难点,本例手术采取应对策略如下:

(1)术前CT评估已充分预估了极重度钙化对瓣膜的挤压状况,术中通过巴尔特半顺应性球囊球扩合理推移钙化灶,最终为瓣膜展开提供了良好的周围环境,使手术结果向好的方向发展。

(2)由于患者升主动脉严重扩张,血管并发症风险较高,术中提前将抓捕器备于瓣膜输送系统上,直接于抓捕器辅助下送入瓣膜。得益于良好的控制,基本未使器械与扩张的血管壁接触,极大减少了血管并发症风险。

(3)本例患者因极重度钙化+Type1二叶式畸形,downsize选择23号瓣膜植入。由于钙化形态不规则,容易出现因人工瓣膜被局部挤压而发生瓣周漏的情况。术前CT评估显示原位瓣膜显著增厚、钙化,瓣上钙化推移难度较大,因此术者认为虽然瓣环较大(按瓣环周长应选择26号瓣膜),但仍有选择23号瓣膜的可能。另一方面,术中20mm球囊预扩时几乎没有反流,进一步确定了瓣膜选择。只是需要适当高位释放来改善原位瓣叶和人工瓣膜的贴合。通过TaurusElite输送器良好的操作性,最终成功高位释放瓣膜。瓣膜最终释放位置,及术后效果评估应征了以上策略的有效性。

梁春主任寄语

这是一例有意义的AS瓣膜植入术。患者主动脉瓣根部钙化明显,呈中心聚集形态,升主动脉严重扩张,考验了术者团队的整体操作技巧。钙化的集中,对最终瓣膜的工作形态带来了很大的不确定性。所以球囊预扩在本病例中,有着很高的数据价值。一般而言,瓣上钙化很严重的情况下,存在downsize两个型号的可能。患者瓣环平均径27.0mm,术前评估downsize两个型号,推荐预装AV23瓣膜。术中经20mm球囊预扩,限制性结构明确,适于植入AV23号瓣膜,验证了术前评估的正确性。

在此基础上患者钙化形态不规则,增加了瓣周漏的可能性,术后即刻造影验证了这一预判。通过增加直径的球囊后扩,我们成功降低了患者的瓣周漏总量。而基于自膨瓣术后自我形态调整的特性,患者中长期预后瓣周漏自然消失的可能性较大,总体预后获益仍为可观。

最后,即便患者升主动脉扩张严重,但经团队密切配合,从过弓到释放完成,整个过程流畅、一气呵成。沛嘉TaurusElite输送器的小通过直径,及适合同侧snare操作的设计给我留下了很深的印象。瓣膜一次释放完成,定位准确,术后主动脉反流微量,手术取得圆满成功。

既往由于snare技术的推广不足,以及早期TAVR产品有待提高的过弓性能,升主扩张患者被认为不太适宜进行TAVR手术。而同时,升主动脉瘤同样是外科换瓣手术的禁忌指征之一,这导致了相当多的患者错过了治疗的机会。现在,随着snare技术的推广,TAVR手术越来越多地能应用在这些合并严重主动脉近心端病变的患者身上,为之“打开心扉”,重获新生。

专家简介

梁春

海军军医大学第二附属医院(上海长征医院)

心血管内科主任,主任医师、教授,博士(后)研究生导师。荣获军队院校育才奖“银奖”,入选上海市领军人才、上海市科委优秀学科带头人、上海市浦江人才、上海市医学会优秀主任委员。先后担任FESC(Fellow of European Society of Cardiology)、FACC(Fellow of the American College of Cardiology),中华医学会心血管病专业委员会委员,临床研究学组副组长、上海市医学会心血管病专业委员会副主任委员、全军心血管病专业委员会副主任委员、中国中西医结合学会心血管病专业委员会常委兼秘书长等学术职务。担任上海东方心脏病会议(OCC)组织委员会主席、血脂与动脉硬化论坛坛主、中华心血管病杂志、中国中西医结合杂志(英文版)、中国介入心脏病杂志、上海医学、国际心血管病杂志等杂志编委。
先后主持包括国家自然基金国际合作重点、国自然心血管重大培育专项、中国瑞典SINT和面上基金项目3项,上海市军民融合、上海市科委基础研究重点课题和军队课题等基金项目15项。以第一/通讯作者共发表包括Circulation、Science Translation,Medicine、JACC 子刊、Basic Res Cardiol,Antioxid RedoxSignal等高SCI收录论文80余篇。主编副主编、副主译专著5本。荣获上海市科技进步奖一等奖、二等奖,上海市康复医学科技一等奖、中国中西医结合学会科技进步一等奖各1项。

阅读数: 791