病例荟萃第一期|张瑞岩:Telescope™导引延长导管应用高风险冠脉TAVR一例

张瑞岩 上海交通大学医学院附属瑞金医院


简要病史


患者,女性,72岁。

骨科拟行左侧髋关节置换,术前评估发现主动脉瓣狭窄。

既往史:否认高血压、糖尿病等慢性疾病史。

主要实验室检查:

氨基末端B型利钠肽前体 389.9↑pg/mL;

D-dimmer  6.56↑mg/L;

余血常规、肝肾功能、电解质、心肌标志物等无异常。

检查结果-EKG

ST-T改变(I、aVL)

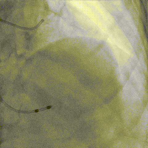
冠脉造影

30%收缩期

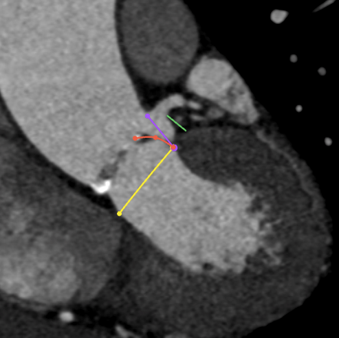
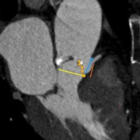
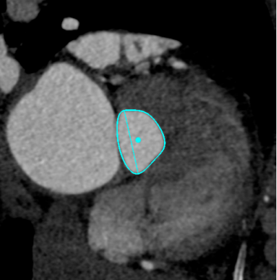
Annulus

长径: 24.8 mm

周长: 68.6 mm

面积: 352.3 mm²

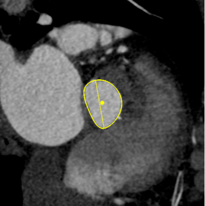
LVOT

长径: 24.3 mm

周长: 66.3 mm

面积: 321.7 mm²

SOV

27.3 x 25.8 x 25.9 mm

STJ

长径: 27.6 mm

周长: 84.4 mm

面积: 566.2 mm²

高度: 13.8mm

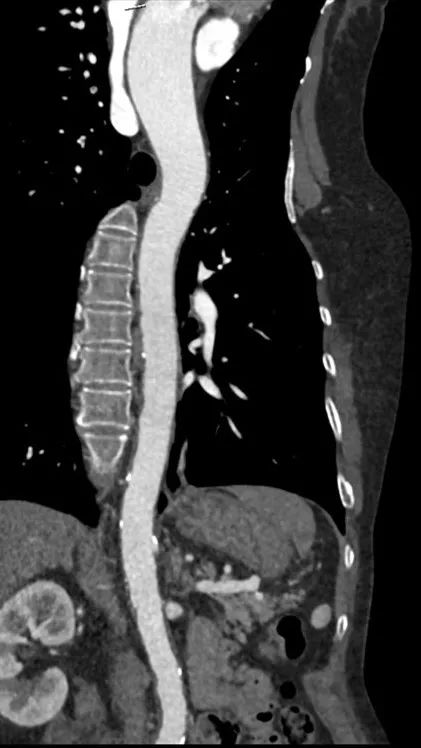
升主动脉

长短径:39.7x37.6mm

(距瓣环40mm)

RCA

下缘高度 10.2mm

上缘高度 11.9mm

瓣叶长度 12.7mm

LCA

下缘高度 7.1mm

上缘高度 11.9mm

瓣叶长度 11.8mm

主动脉

右股

左股

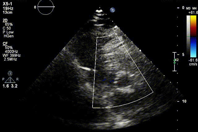
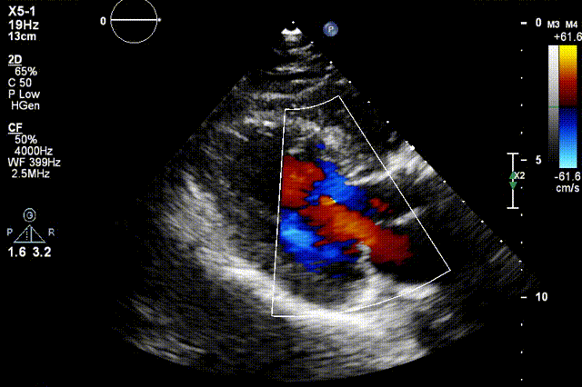
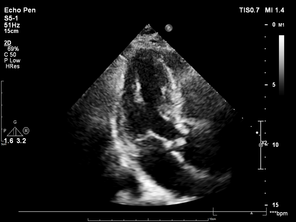
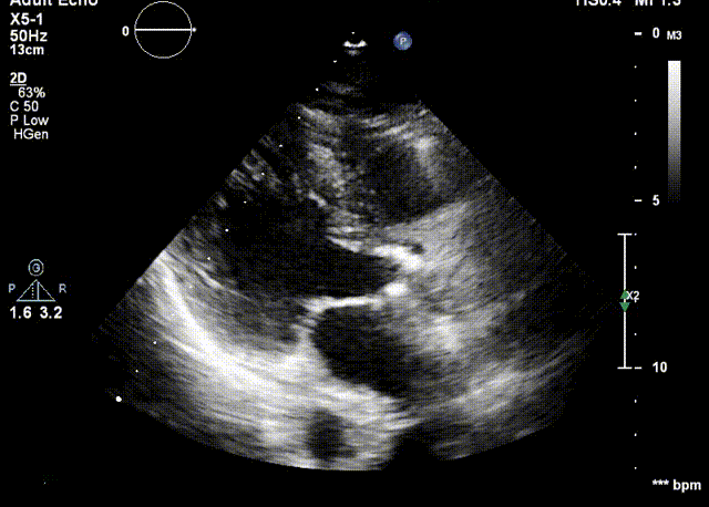
检查结果-术中超声

临床诊断

【临床诊断】主动脉瓣重度狭窄。

【风险评估】STS<4%,外科低风险。

● 患者为72岁女性,BMI 21.08kg/m²,术中应警惕血液动力学不稳定,注意循环崩溃风险。

● 冠脉开口高度低,结合窦部高度和宽度、STJ大小、瓣叶长度等,冠脉闭塞风险高,根据预扩张结果决定是否行冠脉保护。

● 患者有骨科手术需求,需考虑冠脉支架植入对生活质量影响。

手术策略

全麻;

右侧股动脉入路;

18mm球囊预扩张,评估瓣膜风险;

预装载24#瓣膜。


冠脉造影

手术策略和器械选择

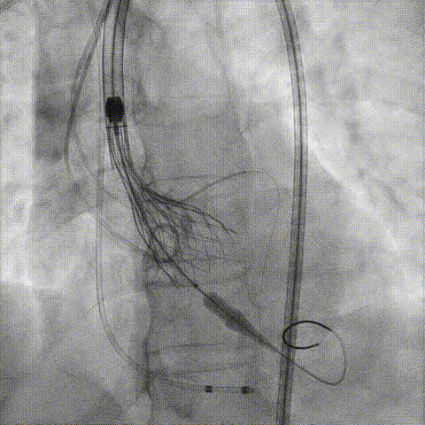
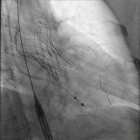
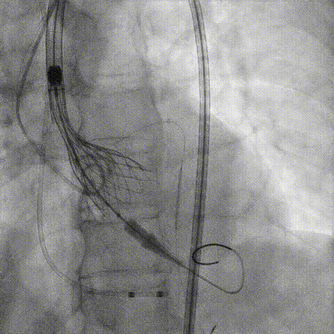
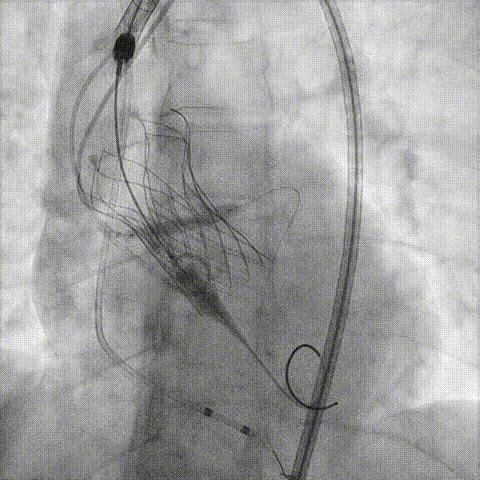
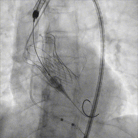
预置Telescope™导引延长导管及导丝保护左冠,

18mm球囊预扩张再次评估冠脉闭塞风险。

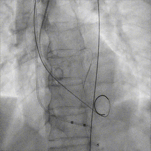
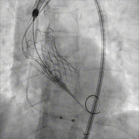
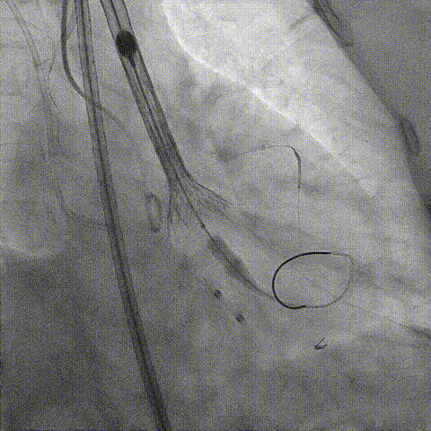
介入经过及结果

Telescope™+Runthrough

18mm*40mm 预扩张

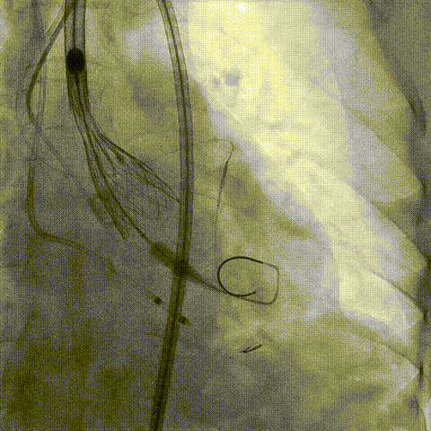
预埋 Resolute Integrity 3.5*26mm

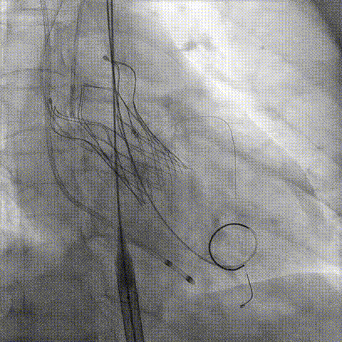
再次评估左冠开口

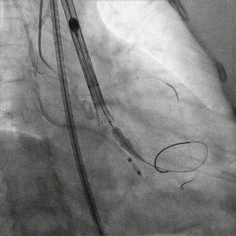
第一次释放

第一次释放

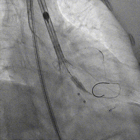
再次评估左冠开口,考虑调整瓣膜深度

回收后调整深度,再次释放

评估左冠开口

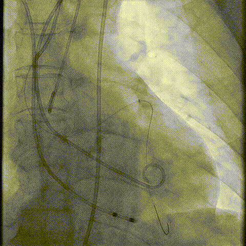
左冠开口切线位造影

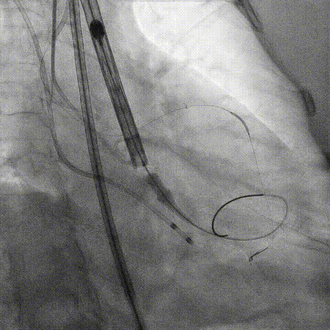
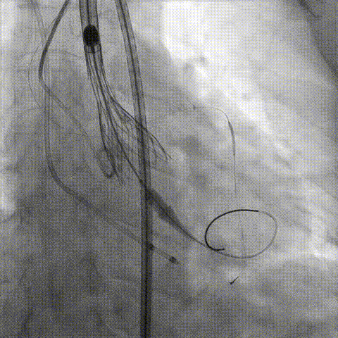
决定左冠烟囱支架保护冠脉

调整支架位置

释放冠脉支架

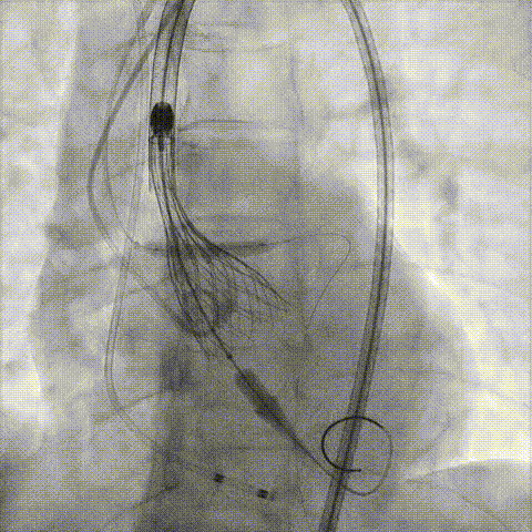
释放瓣膜

造影评估

支架内后扩张

冠脉造影

根部造影

最终结果

检查结果-即刻超声

动脉瓣瓣周轻度反流。

经主动脉口收缩期血流最大速度约1.5m/s,最大跨瓣压差约10mmHg。

检查结果-EKG

术中心电监护一过性左束支传导阻滞

术后EKG:

1、窦性心动过速;

2、频发室性早搏;

3、ST-T改变。

术后24h心超

● EF 68% 。

● 主动脉瓣未见明显反流。经主动脉瓣口收缩期最大流速约1.9m/s,最大压差约15mmHg,心率约95bpm。

● 二尖瓣轻度反流 。

● 三尖瓣轻度反流,最大反流速度约2.9m/s,估测肺动脉收缩压约44mmHg。

● 经左室流出道收缩期最大流速约1.9 m/s。

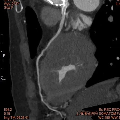
术后1w——冠脉CTA

经验体会及总结

● 术前应进行充分CT评估,摒弃唯冠脉高度论,需要结合窦部大小及高度、STJ大小、瓣叶的长度、瓣叶增厚和钙化分布情况等因素,综合考量冠脉风险。

● 患者的传导阻滞可能会从手术操作所造成的一过性缺血、炎症、水肿或直接损伤自行恢复。

● TAVR术中,对于有冠脉风险的病人,冠脉保护是保证手术成功安全的重要环节。单用普通指引导管预留导丝是远远不够的,因瓣膜扩张或瓣架释放后,原生瓣膜的移位变形已经使原有冠脉开口情况发生变化,出现开口受压阻断等情況,经普通指引导管无法送入快速及时的置入支架、保护冠脉,故务必在置入辦膜前预先留置Telescope™于冠脉内,Telescope™头端位置务必进入冠脉开口内,保证Telescope™于冠脉内的稳定性,一旦开口受压,迅速经Telescope™送入支架,可选用“烟囱”等技术于冠脉开口释放支架,保证开口血流通畅。Telescope™独有的螺旋线圈技术灵活柔软可以深入冠脉;Smoothpass技术保证了支架置入的快速顺畅;头端柔软安全不损伤冠口,是TAVR术中冠脉保护不可或缺的重要器械。

专家介绍

-  张瑞岩 -

上海交通大学医学院附属瑞金医院


博士,FACC,FESC, FSCAI 主任医师,博士生导师。现任上海交通大学医学院附属瑞金医院心脏科主任,心导管室主任,上海市领军人才。主要研究方向为冠心病和动脉粥样硬化防治。现任中华医学会心血管分会常委,中国医师协会心血管内科医师分会常委,上海医学会心血管学会副主任委员,上海医师协会心血管分会副会长,《中华心血管病杂志》等多个学术期刊编委。

长按二维码关注“一脉同行”

阅读数: 1132