华东心外首例!浙大一院心脏大血管外科独立完成高难度急诊Barlow病变MitraClip™手术

2022年08月08日,浙江大学医学院附属第一医院心脏大血管外科马量教授李伟栋教授率领心脏瓣膜介入团队,通过中国医学科学院阜外医院潘湘斌教授,谢涌泉教授和浙江大学医学院附属第二医院王建安教授,刘先宝教授的联合在线会诊,成功独立使用雅培经导管二尖瓣夹及可操控导引导管系统MitraClip™,为一例二尖瓣关闭不全伴重度返流。(Barlow病变)的急诊患者实施了经导管二尖瓣缘对缘修复手术。在麻醉科、超声影像团队、心脏重症监护室、介入护理团队等多学科的共同协助配合下,虽然手术难度极高,但是手术过程顺利,患者术后即刻效果显著,超出预期


患者病史

此次手术的患者为一名82岁的老年女性,主诉“胸闷气急2年,加重伴下肢水肿一月余”于当地医院就诊。完善检查后考虑“心力衰竭”转至我院急诊。

超声心动图显示:
(1)二尖瓣前后叶广泛脱垂;
(2)二尖瓣重度反流;
(3)二尖瓣瓣环钙化;
(4)左房及右心增大。
急诊予以气管插管,间羟胺+多巴胺维持血压,利尿等对症治疗。患者症状未见明显缓解,为求进一步治疗,我科拟“呼吸衰竭,心脏瓣膜病”收住入院,欲行急诊手术。


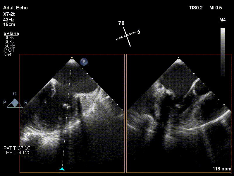
术前行经食道超声评估

原发性二尖瓣反流,前后叶广泛脱垂,Barlow病变,反流程度4+;二尖瓣瓣口面积3.85cm²,平均跨瓣压差3mmHg;LA42mm,右房大小55×66mm;二尖瓣前叶(A2)长度29mm,二尖瓣后叶长度(P2)长度21mm;左室射血分数60%,肺动脉压增高43mmHg。


多学科讨论

此患者呼吸衰竭且高龄,合并肾功能不全,肝功能异常,低蛋白学血症,血小板减少等症状,外科手术高危,操作难度极大,经心脏瓣膜团队多次充分讨论评估后,决定行微创经导管二尖瓣缘对缘修复治疗。


术前MitraClip策略

从解剖结构来看二尖瓣前后叶脱垂伴涉及整个2区,累及1区和3区,脱垂宽度22mm左右,且脱垂高度有近8mm,可见多处长达8-10mm的飘样回声,前后瓣叶冗长且瓣环钙化。术前策略预计使用1-2个二尖瓣夹,较小的二尖瓣口面积和较宽的脱垂范围,是一次极高难度的挑战。


手术过程

患者全身麻醉消毒铺巾后,建立右侧股静脉入路,在经食道超声指导下精准穿刺房间隔。将可操控导引导管和二尖瓣夹XTR输送系统送入左心房。

调整二尖瓣夹轨迹和方向,使其轨迹垂直于二尖瓣环平面且指向心尖,定位于二尖瓣2区且6-12点钟方位

在食道超声牟芸主任和吴必锋主任的紧密配合下,经食道超声引导后马量教授和李伟栋教授使用二尖瓣夹多次夹取之后,准确成功捕获前叶A2和后叶P2反流最严重区域,并予夹合,使二尖瓣在收缩期由大的单孔变成小的双孔,显著减少了二尖瓣反流。

反复测试二尖瓣钳夹的稳定性,超声复查提示二尖瓣夹2区及内侧3区反流有效改善,1区外侧仍有部分反流,平均跨瓣压差2mmHg,肺静脉收缩期逆流频谱恢复正向。马量教授和李伟栋教授与在线专家充分沟通讨论手术方案,为了进一步优化二尖瓣钳夹稳定和有效减少外侧反流,计划在二尖瓣夹外侧再置入第二枚二尖瓣夹,遂精准释放第一个二尖瓣夹。

马量教授和李伟栋教授继续在食道超声影像引导下进行高难度操作,在第一个二尖瓣夹外侧再置入第二枚二尖瓣夹XTR。

再次反复测试第二枚二尖瓣钳夹的稳定性,超声复查提示二尖瓣反流明显改善,平均跨瓣压差2mmHg。


术后点评

马量教授:

马量教授评价道:“二尖瓣反流(MR)是全球范围内最常见的心脏瓣膜疾病。患者存在各种衰弱症状,如呼吸短促、心悸、头晕和疲劳。这些患者面临生活质量差、活动明显受限、因心力衰竭反复住院和死亡率增加等风险。MitraClip™系统是一种基于外科缘对缘修补技术的经导管治疗系统,也是首款获准上市的基于导管的二尖瓣返流治疗器械。MitraClip™无需开胸、创伤小、手术时间短、无需体外循环支持、手术安全性高、术后恢复快,可用于心功能严受损、全身情况较差的高危患者。


李伟栋教授:

李伟栋教授评价道:“MitraClip™对于二尖瓣关闭不全的患者有了新的选择。该病例为高难度Barlow病变二尖瓣反流急诊患者,二尖瓣前后瓣叶广泛脱垂,且脱垂高度高及二尖瓣口面积小,此患者是心功能严受损、全身情况较差的外科手术高危患者,手术有极大挑战MitraClip™作为全球首款原创TEER技术产品,设计严思缜密,操控简便,精准施夹,MitraClip™经导管二尖瓣夹术后结果令人意外惊喜,患者疗效值得肯定


专家简介

马量

浙江大学医学院附属第一医院

心脏大血管外科主任医师,博士生导师,瑞士洛桑大学医学院博士学位获得者。现任浙江大学医学院附属第一医院党委委员,心脏大血管外科支部书记,心脏大血管外科主任,心脏移植中心主任。2018年中国医师协会心血管外科好医师之“金刀”荣誉称号获得者。兼任浙江省医师协会心血管外科医师分会会长、浙江省医学会胸心外科学分会候任主任委员、亚洲心脏瓣膜病学会常委、中华医学会胸心外科学分会全国委员、中国心血管病专家委员会微创心血管外科专业委员会常委、中国医师协会器官移植分会委员、中国医师协会机器人外科医师分会委员,浙江省医学会器官移植分会委员等。

从事心胸外科的临床工作30年,完成心脏外科手术超万例,在成人心脏瓣膜病、先心病、冠心病、心脏肿瘤、主动脉夹层、房颤等心脏疾病的外科治疗积累了十分丰富的经验。尤其在微创心脏外科领域成绩斐然,带领科室发展迅速,在2020年度微创二尖瓣手术排名全国第二,连续5年举办心脏微创瓣膜手术全国直播演示。在心脏移植领域也独有建树,主刀百余例,主动脉阻断时间创全国最短纪录,2020年并完成全国最高龄78岁心脏移植。2021年完成全国首例心肌淀粉样变心肝联合移植。为浙江省和中国在心血管外科领域的发展和后备队伍建设不断贡献着力量。

获得浙江省科学进步二等奖、浙江省医药卫生科技二等奖等多个奖项,已发表SCI论文60余篇,申请授权专利2项。主持国家自然科学基金2项,浙江省重点研发项目1项,参与多项十二五、十三五国家重点研发计划。

李伟栋

浙江大学医学院附属第一医院

浙江大学医学博士,主任医师,英国伦敦心脏病中心访问学者。目前担任浙江大学附属第一医院心脏大血管外科副主任、心脏移植中心副主任、微创中心副主任,心胸外科党支部副书记。兼任中华医学会胸心血管外科学分会全国青年委员、亚州心脏瓣膜病协会中国分会全国委员、国家结构性心脏病介入质量控制委员会委员、中国研究型医院学会互联网医院分会全国委员、浙江省医学会胸心外科学分会秘书兼青年委员会副主任委员、浙江省心血管外科医师协会常委兼总干事。

同时熟练掌握外科微创手术技术和内科介入技术,致力于为每一位患者提供最优化的微创治疗方案。至今已主刀完成各类心胸外科手术4千余例,手术效果优良,心脏瓣膜类手术微创化手术比例超过80%。成功完成多例全省及全国首例微创复合手术(全国首例经心尖TAVI联合同期肺癌根治术,全国首例经心尖mitralstitch”缘对缘+腱索”二尖瓣介入成形术,全国首例微创冠脉多支搭桥联合同期肺癌根治手术,华东区首例MitraFix经导管二尖瓣置换术等)。先天性心脏病介入封堵手术量全省心外科第一,省内首创24小时日间手术模式。在省内率先开展一站式房颤全腔镜微创射频消融加左心耳切除手术及瓣周漏封堵手术,手术数量和效果均居全国先进行列。另外,作为主要参与人,成功完成我省多例心脏及多器官联合移植手术。

近年来,主持及主参国家自然科学基金、省科技厅重大项目、省自然基金课题等共13项。以第一或通讯作者共发表SCI论文25篇(10分以上2篇,5分以上3篇),获浙江省科技进步二等奖及三等奖各一项。

阅读数: 3454