嘉境 · 瓣旅|郴州市第四人民医院应用TaurusElite瓣膜完成首例TAVR手术

2022年8月15日,郴州市第四人民医院王才安主任团队在中南大学湘雅二医院方臻飞、唐建军教授的指导下,联合麻醉科、超声科、介入科、护理等多学科心脏瓣膜团队成功为一例大瓣环、横位心、弓部夹角锐利的Type1型二叶式主动脉瓣患者植入TaurusElite瓣膜,这是郴州市第四人民医院首次完成经导管主动脉瓣置换(TAVR)术。该病例患者病程约十余年,曾反复出现严重心衰多次住院治疗,心脏彩超诊断为主动脉瓣中重度狭窄并重度关闭不全,患者合并多种基础疾病,不能耐受外科开胸手术,强烈要求微创行瓣膜置换术。手术团队与患者及家属充分沟通后,经充分的术前讨论评估患者手术风险及获益后,决定采用创伤小、恢复快的TAVR手术方式。

患者基本情况

患者73岁男性,入院心脏彩超提示:LA 62mm,RV 46mm,LV 60mm,EF 70%;主动脉瓣跨瓣峰值流速4.2m/s,峰值压差70mmHg。

结论:
1.主动脉瓣中重度狭窄并重度关闭不全;
2.左心扩大;
3.二尖瓣前叶脱垂并中度关闭不全;
4.三尖瓣中度关闭不全;
5.重度肺动脉高压。

术前CT评估

  • Type1型二叶式主动脉瓣,L-R间可见钙化融合脊,瓣叶增厚伴中度钙化,钙化主要分布于左冠瓣叶边缘及左无交界处,左室流出道呈敞口型;

  • 左右冠开口高度尚可,切线位测量未见冗长瓣叶;冠脉未见钙化斑块;

  • 瓦氏窦、窦管交界内径尚可,升主动脉扩张;左室腔内径偏大,心室壁厚度尚可;

  • 瓣环水平夹角为61°,主动脉弓距及弓部夹角偏小;降主动脉扭曲折叠成角;

  • 双侧股髂动脉轻度扭曲,左髂总动脉局部扩张,主动脉弓、腹主动脉下段、左侧髂总动脉可见散在钙化斑块,股动脉穿刺处未见钙化斑块;入路血管直径良好。

CT动态预览

主动脉根部测量

瓣上结构测量

冠脉阻挡风险、左室大小及横位心评估

外周血管入路评估

病例特点及手术难点

● Type1型二叶式主动脉瓣,L-R间可见钙化融合脊,瓣叶增厚伴中度钙化,钙化主要分布于左冠瓣叶边缘及左无交界,综合预估锚定难度尚可,瓣膜植入后可能出现轻度瓣周漏,瓣中瓣风险不高;

● 左右冠开口高度尚可,切线位测量未见冗长瓣叶,预估冠脉堵塞风险不高;

● 左室腔内径偏大,心室壁厚度尚可,术中密切关注血流动力学变化;

● 横位心,主动脉弓距及弓部夹角偏小;降主动脉扭曲折叠成角,预估输送器过弓、跨瓣难度偏高,备双加硬导丝及snare辅助;

● 双侧股髂动脉扭曲,左髂总动脉局部扩张,主动脉弓、腹主动脉下段、左侧髂总动脉可见散在钙化斑块,外周血管直径良好,入路规范操作,小心通过,避免入路血管相关并发症。

手术策略

● 采用全麻+TTE的手术方式;

● 右侧股动为主入路,左侧股动脉为辅入路;

● 推荐23mm球囊充分预扩;

● 推荐预装AV29瓣膜,于瓣环平面0位释放,释放角度为左右重合体位。

手术过程

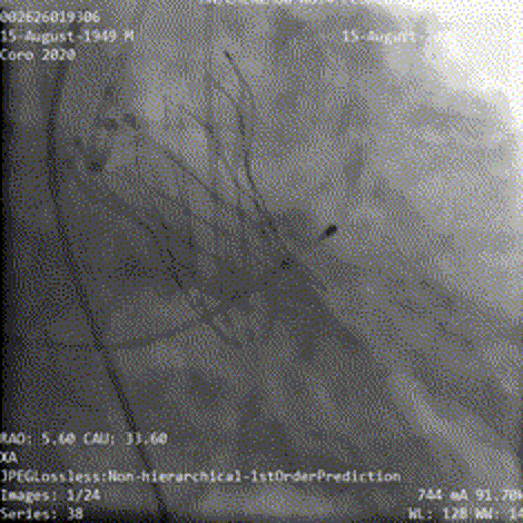
术前行冠状动脉造影提示左右冠状动脉未见有意义狭窄;

左冠造影

右冠造影

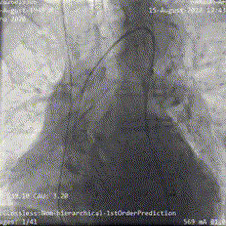
主动脉根部造影提示主动脉瓣重度反流,顺利完成跨瓣操作后予以23mm球囊充分预扩,提示无明显腰征,无造影剂渗漏,冠脉显影正常;

主动脉根部造影

球囊预扩

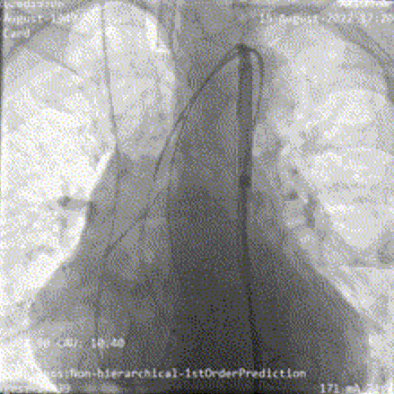
患者弓部较锐利、横位心,TaurusElite输送系统在snare辅助下完成过弓跨瓣后,AV29瓣膜于瓣环平面0mm开始定位释放;

Snare辅助下过弓、跨瓣

瓣膜初始定位

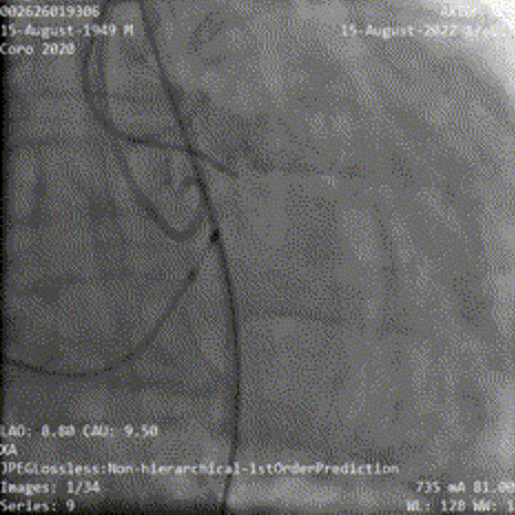
瓣膜释放到工作位后造影显示瓣膜流入端压缩较明显,瓣膜位置良好,冠脉显影正常,脱钩后瓣膜形态、位置良好,少量瓣周漏,弓部造影未见明显异常;

工作位造影

瓣膜释放脱钩

最终造影

弓部造影

总结

本例患者为主动脉瓣中重度狭窄伴重度反流,患者病程约十余年,曾反复出现严重心衰多次住院治疗,保守治疗效果欠佳;期间两次到上级医院住院,因惧怕外科开胸手术风险都未行瓣膜置换手术。此次患者再次出现严重心衰,内科保守治疗效果不佳,王才安主任团队在经过充分细致的术前评估,结合多学科团队讨论意见后考虑为患者实施经导管主动脉瓣置换(TAVR)术。术前CT分析提示患者为Type1型二叶式主动脉瓣,L-R间可见钙化融合脊,瓣环径较大,达到28.3mm,对于瓣膜锚定及封堵效果都提出了较高要求;另外,患者为横位心、主动脉弓部锐利,弓距较短,需要输送系统具有良好的过弓、跨瓣性能,也对术者快速、精准的操作能力及手术团队的密切配合提出了更高的要求。

手术过程中,考虑到横位心、主动脉弓部锐利,弓距较短,在snare的辅助下顺利地完成过弓、跨瓣操作;针对患者瓣环径较大,钙化分布不均匀,TaurusElite瓣膜高密度流入端设计提供了足够的径向支撑力,保证了瓣膜的锚定力,瓣膜内外双裙边设计能提供良好的辅助锚定力,有效减少瓣周漏;此外瓣膜微锥型骨架设计,能有限元优化力学分布,可以实现精准锚定,最大程度降低瓣膜位移。另外,TaurusElite瓣膜系统具有多次完全可回收、回收后可重新跨瓣等设计特点,针对瓣膜释放过程中可能出现的瓣膜下滑或上跳的风险,可以使术者在释放过程中更有信心,降低手术风险,减少并发症的产生,对于新术者也能降低学习难度,提高手术成功率。本例患者瓣膜一次性释放到位后形态、位置良好,冠脉血流灌注正常,术后压差为0mmHg,少量瓣周漏,手术效果十分优异。此例手术是郴州市第四人民医院开展的首例TAVR手术,这也标志着郴州市第四人民医院心脏瓣膜病的诊治上了一个新的台阶。

专家简介

王才安

郴州市第四人民医院

医学硕士,郴州市第四人民医院心内科主任,副主任医师,郴州市医学会心电生理与起搏专业委员会副主任委员。临床经验丰富,擅长心血管疾病的诊治、心血管疾病的介入诊治、急危重症心血管疾病的抢救,尤其擅长心律失常射频消融术、心脏起搏器植入(包括CRTD,ICD等)。独立开展三维引导下的复杂心律失常(频发室早、房速、室速、房颤)射频消融术和希氏束起搏术、左束支起搏术及复杂冠脉病变介入治疗。主持科研项目3项。

阅读数: 1281