上海交通大学医学院附属瑞金医院张瑞岩教授团队完成首例美敦力Evolut PRO植入

2022年8月17日,上海交通大学医学院附属瑞金医院张瑞岩教授朱政斌教授紧密合作,在医院心内科、麻醉科、放射科、心脏超声等各多学科团队成员的全力配合下,采用Cusp Overlap标准6步植入法,完美应用美敦力Evolut PRO成功为一名82岁高龄主动脉瓣狭窄合并肺动脉高压患者完成TAVR手术。

此例手术也是医院首例Evolut PRO植入应用,上海交通大学医学院附属瑞金医院展现精湛手术实力,为广大主动脉瓣病变患者带来最优诊疗方案。

患者基本情况

男性,82岁。术前超声心动图提示LVEF:66%;主动脉瓣重度狭窄,AVA: 0.4cm²,Vmax: 4.6 m/s,Mean gradient: 46 mmHg,中度主动脉瓣关闭不全、左心室肥厚,轻中度二尖瓣关闭不全,中度三尖瓣关闭不全,肺动脉高压。

术前CT检查提示瓣环平均直径20.5mm、周长64.3mm,LVOT平均直径21.2mm、周长67.1mm。左冠高度10.8mm、右冠高度12.1mm,心夹角46°。钙化在三个瓣叶都有分布,其中NCC和LCC相对较重,分布在从环上2.0mm至8.8mm处。入路血管直径7.0mm。

手术策略

拟植入瓣膜型号:Evolut PRO 26mm

导引鞘:20Fr

主入路:RFA,辅入路:LFA;Evolut PRO inline sheath内联鞘设计最小可用于5.5mm血管,可最大程度减少血管并发症;

目标植入深度:3-5mm

瓣膜释放起搏频率:120-140次/min

递送系统进入路:冲洗口朝向3点钟方向

后扩:根据术后评估效果决定

Evolut PRO环上瓣设计,保证较大的开口面积

镍钛合金自膨设计,稳定贴合,逐步扩张,在安全有效的同时,通过外裙边,减少PVL。

手术过程

1、全麻下建立双侧股动脉入路,以右股动脉为主,完成双侧冠脉造影;

右冠造影

左冠造影

2、通过Evolut PRO inline sheath内联鞘,送入26mm Evolut PRO瓣膜,顺利完成过弓、跨瓣;

过弓

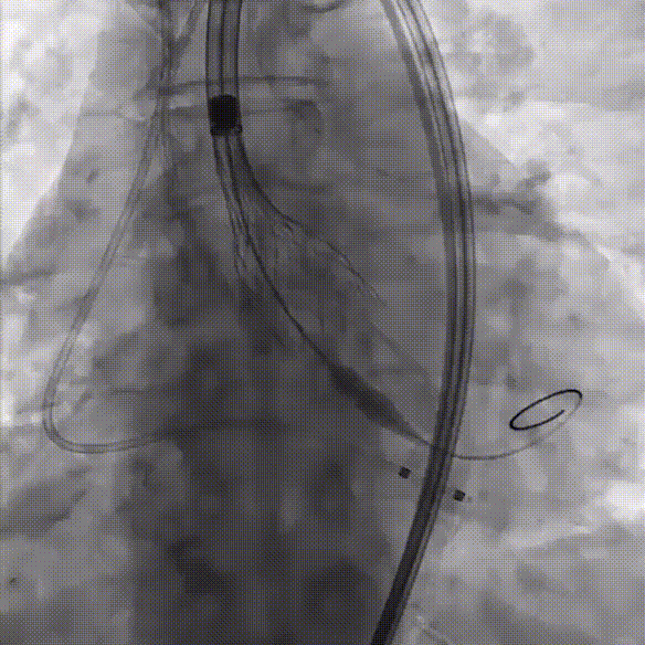
跨瓣

3、造影确定瓣膜到位,180bpm快速起搏下精准释放瓣膜;初次释放瓣膜位置稍高,半回收轻微向前推送后继续释放瓣膜,释放至80%时根部造影结果显示无瓣周漏,左右冠脉均有显影,冠脉血流未受影响,继续完成释放;

部分释放

冠脉造影

完全释放

术后根部造影

 4、术后即刻超声,峰值流速:1.6m/s;平均压差:11mmHg ,仅微量瓣周漏

术后超声

5、边退鞘边造影,排除入路血管问题,手术圆满成功。

入路血管造影

术者点评


张瑞岩教授在术后分享了Evolut PRO瓣膜的植入感受并总结了手术技巧。

首先,Evolut PRO的多次可回收功能给予了术者极高的容错率,让我们能在术中通过回收后再调整将瓣膜放至最佳位置后释放,手术效果更有保证。其次,Evolut PRO的递送系统外径更小,在过弓、跨瓣的过程中能呈现出较强且顺滑的通过性, 充分增加了手术的可控性和稳定性。最后,Evolut PRO的瓣架设计在保证瓣膜整体顺应性的同时,强化了瓣架径向支撑力,瓣膜释放过程中位移程度较小,定位更精准。再搭配上Cusp Overlap植入技术,降低了术后起搏器植入率,让团队无后顾之忧。整体手术更顺畅,也更安心。

专家简介

张瑞岩

上海交通大学医学院附属瑞金医院

博士,FACC,FESC,FSCAI,主任医师,博士生导师,现任上海交通大学医学院附属瑞金医院心脏科主任,心导管室主任。上海市领军人才。主要研究方向为冠心病和动脉粥样硬化防治。擅长冠心病介入及瓣膜病介入治疗。

现任中华医学会心血管病学分会常委,中国医师协会心血管内科医师分会常委,上海医学会心血管病学分会副主任委员,上海医师协会心血管内科医师分会副会长,兼瓣膜工作组组长, 《中华心血管病杂志》等多个学术期刊编委。

阅读数: 6190