天津市胸科医院心内科顺利完成天津首例IABP支持下冠脉旋磨联合Shockwave冲击波球囊处理高危、高龄老年心肌梗死重度钙化病变

2022年8月19日,天津市胸科医院心内科丛洪良教授带领冠脉介入团队,成功在IABP支持下应用冠脉旋磨联合Shockwave冲击波球囊完成天津首例高龄老年心肌梗死重度钙化病变介入治疗手术。此次手术的圆满成功体现了天津市胸科医院冠脉介入治疗团队处理冠心病危重症的能力,标志着天津市胸科医院冠脉介入治疗团队在重度钙化病变介入治疗进入新阶段。

患者信息

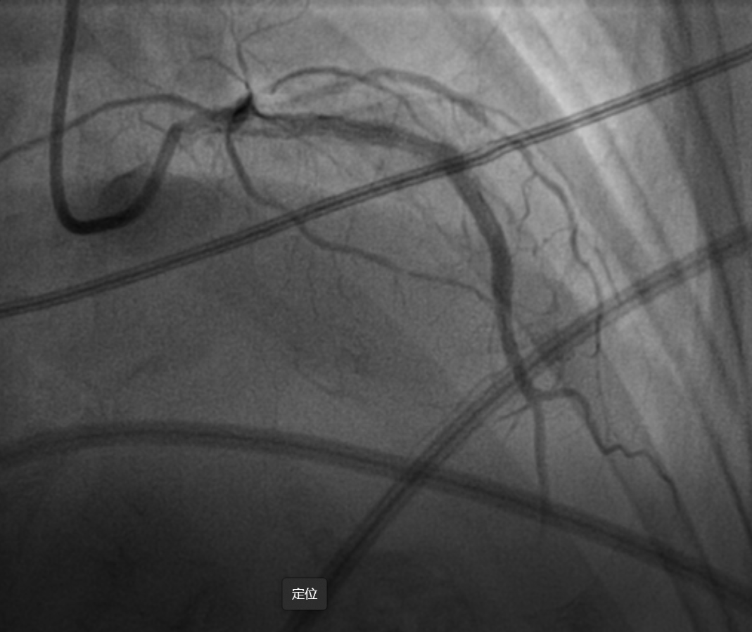
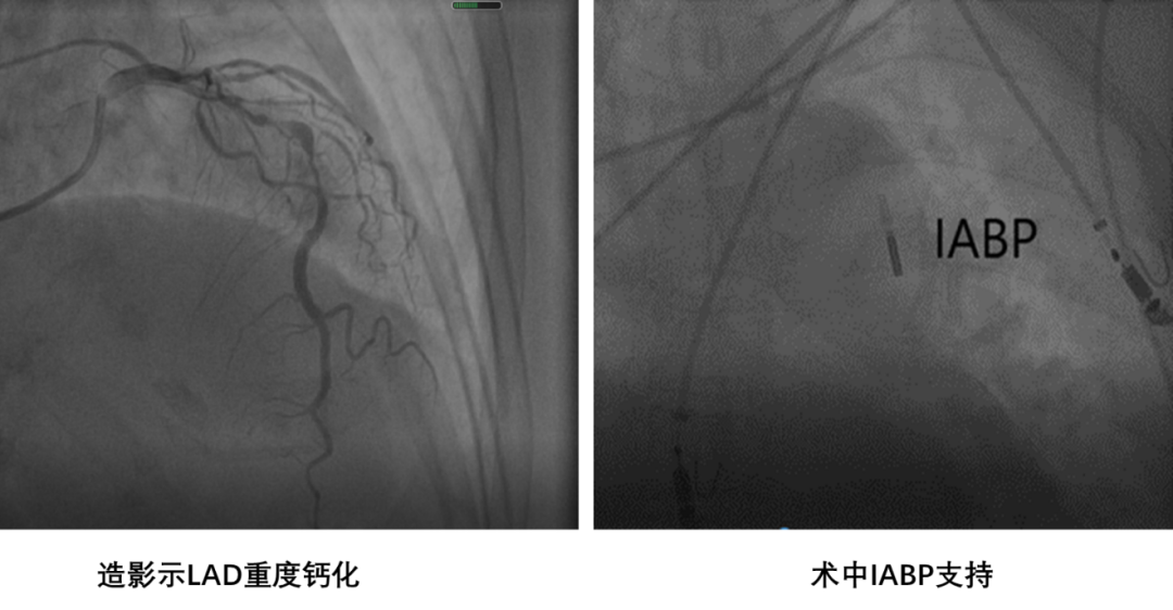
患者为85岁老年女性,以突发胸痛9小时入院。入院诊断为急性非ST段抬高型心肌梗死。入院后反复出现心绞痛发作,行急诊冠脉造影提示三支病变,前降支重度钙化,建议患者行冠脉搭桥手术治疗,患者及其家属表示拒绝。丛洪良教授在充分分析患者病情和冠脉病变特点后,决定在IABP的支持下行Shockwave冲击波球囊行碎石手术。

由于前降支病变钙化极其严重,多次使用球囊扩张后,IVUS导管仍不能通过病变,无法进行术前评估,Shockwave球囊也无法通过病变,决定先行旋磨治疗。

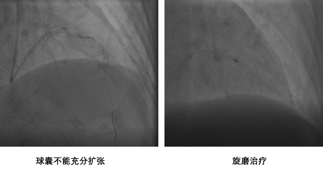
经1.5mm旋磨头旋磨8次后,旋磨头不能完全通过病变,而且患者出现顽固性无复流,经微导管多次给与腺苷、硝普纳以及欣维宁后前降支血流有所改善,但效果不明显,前壁导联心电图ST段抬高。随后使用2.5mm球囊到达病变后,多次加压扩张难以使钙化狭窄的部位充分扩张,立即使用Shockwave冲击波球囊行碎石手术。经过8个周期(80个脉冲)冲击波治疗后,IVUS证实钙化病变出现断裂,最终成功植入支架,达到理想的支架膨胀贴壁效果。

张敬霞、王乐主任正在进行冠脉血管内冲击波碎石治疗

Shockwave冲击波球囊扩张钙化病变

钙化病变的充分预处理是其介入治疗成功的首要条件。目前临床上处理钙化病变的手段主要包括切割球囊、棘突球囊、激光、旋磨等。激光治疗主要适用于轻中度钙化病变,旋磨治疗适用于重度钙化病变,但技术要求高,容易发生并发症,如无复流、夹层及穿孔等,而且对于中膜钙化(厚度大)往往“束手无策”。Shockwave冠脉血管内冲击系统具有操作简单、疗效确切、安全可靠的特点,它的出现为处理中膜钙化提供了一种全新选择,被认为是处理钙化病变的“终结者”。但在临床实际的操作过程中,冠脉钙化病变复杂,往往需要多种“组合拳”,才能达到理想的预处理效果,此病例就是病人严重钙化,斑块负荷重,旋磨中出现了严重的无复流,且不能很快恢复,为保证患者安全完成手术,采用了冲击波球囊,安全有效的完成手术,使得病人顺利出院。

 支架植入术后影像

参加本次手术的人员合影

专家简介

张敬霞

天津市胸科医院

博士,主任医师,硕士研究生导师,毕业于天津医科大学,天津市胸科医院心内八科主诊医师。在心血管领域从事临床工作20余年,积累了丰富的临床和科研工作经验,有多年的冠脉介入治疗经验。在中华系列及核心期刊发表论文20余篇。获天津市科技进步三等奖一项,局科技进步二等奖一项,科技成果6项。在研卫计委课题一项。

丛洪良

天津市胸科医院

医学博士,主任医师,教授,全国劳动模范,天津市胸科医院心脏科主任,天津市心血管病研究所所长,博士生导师,天津市有突出贡献专家,享受国务院特贴。现任中华医学会心血管病分会委员、中华医学会心血管病分会介入学组副组长、中国医师协会心血管分会常委、天津市心血管疾病质量控制中心主任、天津医学会心血管病学会主委等多个学会职务。

阅读数: 4131