嘉境 · 瓣旅|西安交通大学第二附属医院心血管内科韩振华、王新宏主任团队为3名重度AS患者成功完成TAVR手术

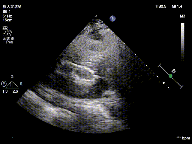
2022年8月23日及26日,西安交通大学第二附属医院心血管内科韩振华、王新宏主任团队成功应用TaurusElite可回收经导管主动脉瓣系统为3名患者完成TAVR手术。此次手术的任先生、王先生、郭先生三位患者,心脏彩超均显示:主动脉瓣重度狭窄,严重影响患者生活质量,就诊于西安交通大学第二附属医院心血管内科,心血管内科联合多学科团队根据每个患者的基本情况对围手术期可能出现的风险做了周密详尽的预案,从全面的术前分析、制定手术方案、准备适配患者的器械与耗材、对血管情况的精准评估等等,反复斟酌后,决定为上述几例患者实施经导管主动脉瓣置换术(TAVR)。手术中在影像、超声的共同指引下,术者团队通过调整输送系统至最佳位置实现精准释放,术后造影及超声提示未见明显瓣周漏,瓣膜植入位置理想,形态良好,血流动力学即刻改善,术中未出现相关并发症,手术圆满成功。结合临床表现,三名患者远期获益极大,将获得更好的生活质量。

病例一

患者基本信息

• 男,75岁。

• 超声提示:瓣叶增厚,开放受限。射血分数:66%、瓣口面积:0.5-0.7cm²、最高流速:5.89m/s、最高跨瓣压差:138mmHg、平均跨瓣压差:81mmHg。超声诊断为主动脉瓣重度狭窄。

术前CT评估

Type1型二叶式主动脉瓣,L-R钙化融合,LVOT近似直筒,近似横位心

重度钙化,HU 850积分999mm3

左冠12.2,右冠16.6,综合分析冠脉阻挡风险适中

瓣上多平面分析

股动脉入路评估,条件相对良好,右侧曾做过髋关节置换

弓部夹角和宽度可

术前3D打印

手术策略讨论

•Type1型二叶式主动脉瓣,L-R钙化融合,瓣叶增厚伴重度钙化,主要分布于瓣叶边缘及L-R交界处;LVOT近似直筒型,预估假体瓣膜锚定难度适中,瓣膜植入后可能存在移位及瓣周漏风险,

•冠脉开口高度尚可,切线角度测量,未见冗长瓣叶,综合预估冠脉阻塞风险适中,

•主动脉瓣水平夹角约57°,近似横位心,升主无扩张,弓部夹角和宽度可,预计输送器可顺利过弓、跨瓣,备snare必要时使用,

•外周整体入路血管内径可,走行自然,建议入路穿刺规范操作,硬导丝有效支撑下小心通过,避免血管损伤及相关并发症,

•对病例进行多学科综合分析评估拟经由左侧股动脉入路,选用18mm球囊预扩,AV26瓣膜。

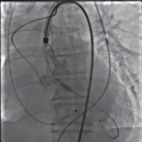
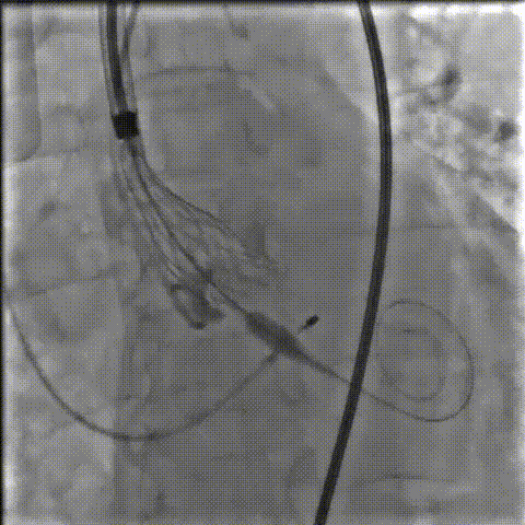
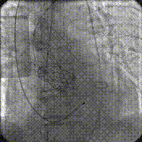
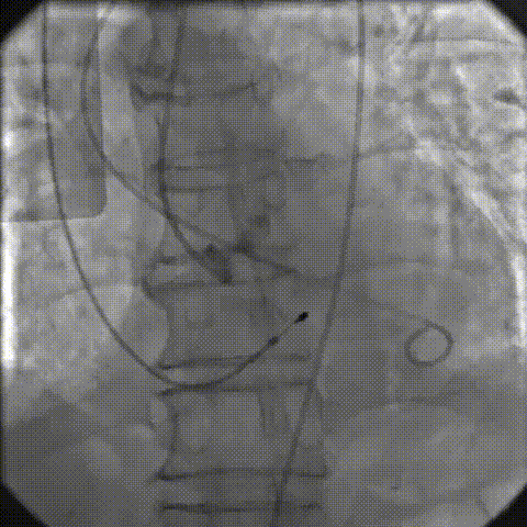
手术影像记录

主动脉根部造影

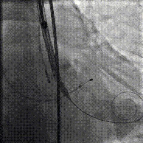
18mm球囊预扩

过弓、跨瓣

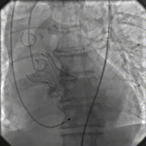
零位定位

工作位造影

缓慢脱钩

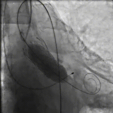
23mm球囊后扩

后扩后造影:无漏

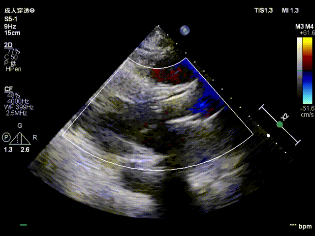
超声评估

植入后超声评估:植入位置良好,无明显瓣周漏

跨瓣压差

术前跨瓣压差:85mmHg,术后跨瓣压差:4mmHg

病例二

患者基本信息

•男,83岁,

•主诉:胸闷、气短3天。

•超声提示:射血分数:59%、瓣口面积:0.6cm²、最高流速:3.9m/s、最高跨瓣压差:61mmHg、平均跨瓣压差:34mmHg。诊断为主动脉瓣狭窄(重度)伴反流(少量)。

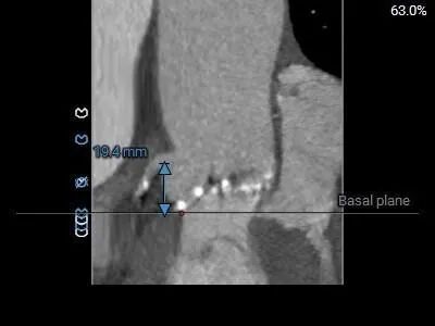
术前CT评估

功能型二叶瓣,瓣叶增厚,R-L间有钙化嵴;大瓦式窦,升主扩张严重横位心

重度钙化,HU 850积分1192mm3

左冠19.4,右冠25.8,综合分析冠脉阻挡风险适中

瓣上多平面分析

股-髂动脉走行稍迂曲,内径可,右侧股动脉穿刺点偏下位置有钙化块分布,腹主-髂总大量附壁钙化

术前3D打印

手术策略讨论

•功能型二叶瓣,瓣叶增厚,R-L间有钙化嵴,重度钙化,钙化于各窦内延伸分布,无冠窦内钙化居多,左、右冠窦下各有部分钙化向LVOT延伸;LVOT接近直筒型,

•左、右冠高度可,切线位测量,左窦瓣叶略长于左冠开口下缘;左主干分叉附近可见钙化分布,

•瓦氏窦增宽,STJ及升主扩张,

•主动脉瓣水平夹角约74°,严重横位心,主动脉弓宽度角度可,弓顶部有钙化分布,

•股-髂动脉走行稍迂曲,内径可,右侧股动脉穿刺点偏下位置有钙化块分布,腹主-髂总大量附壁钙化,

•推荐18mm球囊预扩,预装AV29瓣膜。

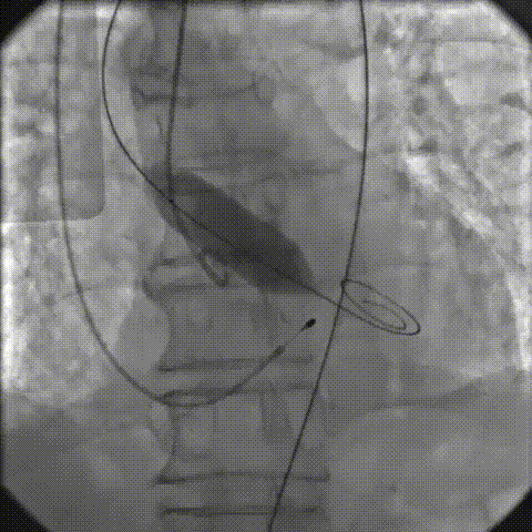
手术影像记录

主动脉根部造影

18mm球囊预扩

零位定位逐步释放至工作位,多角度评估位置良好

缓慢脱钩至完全释放,最终植入位置理想

跨瓣压差

术前跨瓣压差:96mmHg,术后跨瓣压差:5mmHg

病例三

患者基本信息

•男,82岁。

•超声提示:射血分数:40%、瓣口面积:0.5cm²、最高流速:5.43m/s、最高跨瓣压差:118mmHg、平均跨瓣压差:60mmHg。诊断为主动脉瓣重度狭窄伴中度反流。

术前CT评估

Type0型二叶式主动脉瓣,LVOT偏敞口型,非横位心。

重度钙化,HU 850积分1711mm3。

左冠18.8,右冠19,综合分析冠脉阻挡风险适中。

瓣上多平面分析。

股-髂动脉走行可,内径可,几乎无钙化分布。

弓部夹角和宽度可。

术前3D打印

手术策略讨论

•Type0型二叶瓣,左右冠脉异窦,瓣叶增厚伴重度钙化,钙化团块主要沿双侧瓣叶分布,无窦下部分钙化延伸至LVOT,预估假体瓣膜植入锚定难度适中,受钙化块挤压,存在瓣膜移位及瓣周漏可能,同时需防范根部撕裂风险,

•左、右冠高度可,切线位测量,无冗长瓣叶,结合瓦氏窦、STJ内径综合预估,冠脉阻塞风险适中,

•非横位心,升主无扩张,弓部宽度角度可,预估输送器可顺利过弓,瓣口钙化较重,备snare在必要时辅助跨瓣,

•股-髂动脉走行可,内径可,几乎无钙化分布,入路穿刺规范操作,

硬导丝有效支撑下小心通过,避免血管损伤及相关并发症。

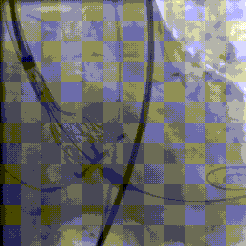
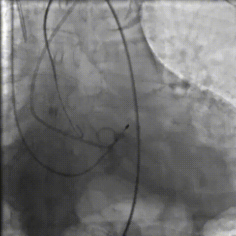
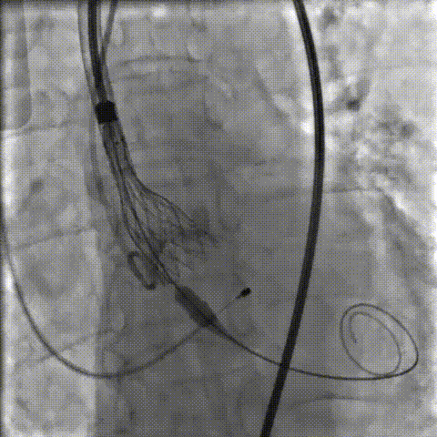
手术影像记录

主动脉根部造影

18mm球囊预扩

AV26瓣膜工作位造影

缓慢脱钩

23mm球囊后扩

后扩后造影:无漏

超声评估

超声多切面评估,血流动力学改善明显,无瓣周漏

跨瓣压差

术前跨瓣压差:119mmHg,术后跨瓣压差:0mmHg

术中剪影

术者心声

自开展第一台TAVR手术以来,西安交通大学第二附属医院心血管内科韩振华主任医师、王新宏副主任医师的心脏瓣膜团队已为多例主动脉瓣重度狭窄患者成功实施TAVR手术。心血管内科在TAVR领域不断深耕,锤炼精进手术操作,以帮助更多瓣膜疾病患者。8月23日及26日,在多学科协作下,利用3D打印技术辅助,三例手术均取得圆满成功,帮助患者摆脱瓣膜疾病的困扰。手术的成功,是西安交通大学第二附属医院心血管病院瓣膜病诊治能力及多学科合作能力的再一次体现。

自2002年法国医生成功完成全球首例TAVR,开创了心脏瓣膜病经导管介入治疗的新纪元以来,TAVR技术经过不断发展,已成为主动脉瓣狭窄患者的一线治疗方案。经导管主动脉瓣置换术(TAVR),是通过穿刺外周血管利用介入导管送入人工瓣膜,解除原有瓣膜狭窄、恢复心脏功能的一种介入手术,能够“不开胸”就为心脏更换“大门”,为更多高龄、心功能差等主动脉瓣重度狭窄及关闭不全病变患者治疗带来新的希望和思路。

专家简介

韩振华

西安交通大学第二附属医院

西安交通大学第二附属医院心内科副主任,主任医师,医学博士,硕士研究生导师。1991年毕业于西安医科大学。陕西省起搏与电生理学会常委,省康复医学会心血管委员会常委,省心律学学会委员,省心血管内科学会冠心病介入组委员。擅长于心内科常见病、多发病的诊断治疗及危重患者的抢救。在心脏病介入治疗方面具有丰富的临床经验和娴熟的操作技能,能熟练进行各种心脏起搏器安置、冠心病的支架置入、心律失常的射频消融、先心病的封堵等介入性心脏病学工作及其并发症的处理。

王新宏

西安交通大学第二附属医院

医学博士,副主任医师,任中国生物医学工程学会心力衰竭器械治疗委员会委员,陕西省医促会心血管专业委员会委员,科研方向为动脉粥样硬化发病机制的研究,以第一或通讯作者发表SCI收录学术论文5篇。主持西安交通大学校级临床新技术<<疤痕相关性房速、房扑的标测及消融>>,熟练开展经皮冠状动脉介入治疗、快速心律失常射频消融术、永久起搏器植入术及老年性瓣膜疾病介入治疗。

阅读数: 1987