天津市人民医院心内科姚朱华团队率先顺利完成天津首例Shockwave冲击波球囊治疗左主干钙化和CTO钙化病变冠脉介入手术

2022年8月30日,天津市人民医院心内科姚朱华教授带领团队积极引进新技术,曹明英主任医师及程立松、高雪梅、吴树兴、杜建平等技术骨干密切配合下,成功应用Shockwave冲击波球囊技术独立完成3例严重冠脉钙化病变介入治疗手术。其中左主干1例及CTO 1例冲击波手术均为我市首例。此项技术的开展标志着人民医院心内科在冠脉复杂钙化介入治疗领域再上新台阶!

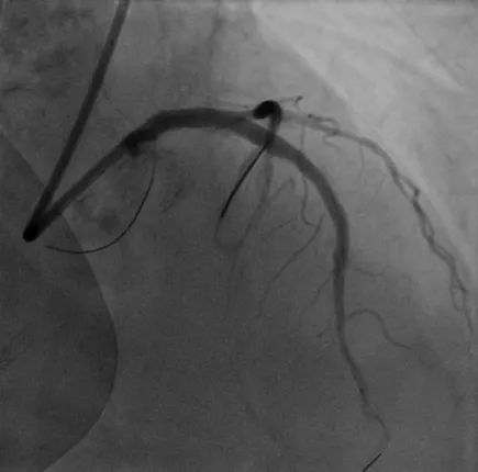
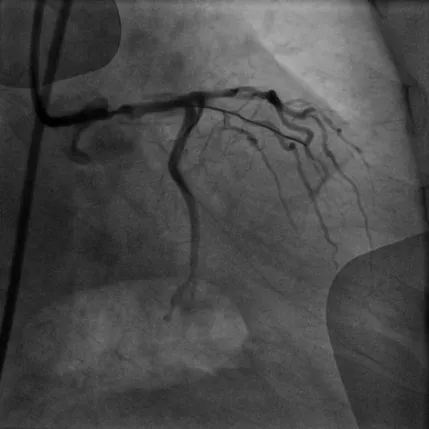
病例1

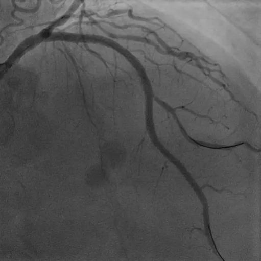
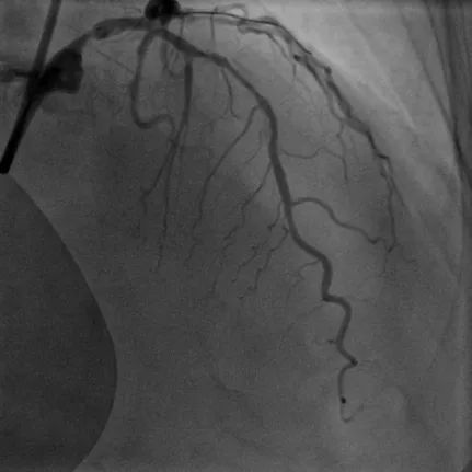
LAD长弥漫钙化病变:患者70岁男性,因间断胸痛3天入院,既往高血压病史、长期吸烟史,诊断不稳定型心绞痛。冠脉造影显示前降支近中段弥漫性狭窄伴钙化,应用冠脉腔内影像学技术-IVUS对该血管进一步评估,结果显示:前降支多处180-270°钙化,中段钙化结节(红色箭头所示)。顺利送入3.0*12mm Shockwave冲击波球囊至LAD中段,充盈4atm使球囊充分贴壁,显示球囊近段膨胀不良,随着冲击波能量释放,球囊逐渐扩张,膨胀扩张满意。先后对LAD多处钙化病变进行8个周期(80次脉冲)预处理,应用IVUS评估显示钙化处出现钙化断裂。该患者多处弥漫钙化病变,在IVUS指导下联合Shockwave冲击波球囊实现精准预处理,为后续支架植入奠定了基础。果然,送入长支架通过病变顺畅,释放扩张未感觉明显阻力即到位,支架膨胀舒展,成功植入支架。IVUS结果显示支架膨胀贴壁良好。

术前冠脉造影

植入支架后

病例2

CTO病变:患者74岁男性,主因胸痛10余天,憋气1周余,加重2天入院,既往高血压、糖尿病病史、长期吸烟史。诊断急性非ST段抬高型心肌梗死、心力衰竭。强化用药改善心功能后择期行冠脉造影示LAD为CTO,RCA近段CTO病变、全程钙化影,圆锥支向LAD远端提供侧支循环。患者拒绝CABG治疗,决定开通RCA CTO。但患者RCA严重钙化,GW在微导管支持下通过CTO段,但应用普通球囊预扩后,无法送入IVUS导管,遂果断选择GuideZilla支持下Shockwave冲击波球囊治疗,成功植入支架,手术效果良好,为进一步解决LAD病变奠定了基础。

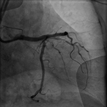
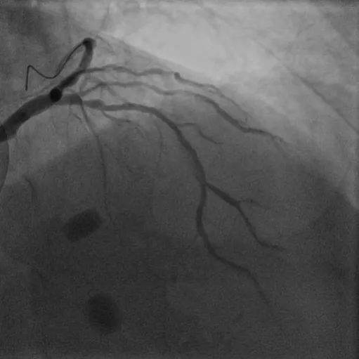
病例3

LM-LAD钙化病变:患者73岁女性,主因胸痛2小时入院,既往高血压病史,诊断不稳定型心绞痛。该患者1周前因心绞痛入院,CAG显示RCA95%狭窄伴血栓,于RCA植入一枚支架。患者左主干严重钙化病变狭窄80%,合并LAD弥漫钙化最重处狭窄90%,精准充分预处理格为重要,姚朱华主任团队综合评估患者病情后决定择期IVUS指导下行Shockwave冲击波球囊治疗。IVUS检查显示LM-LAD弥漫性钙化,最重处360°环形钙化,应用3.5*12mm Shockwave冲击波球囊顺利到达病变处,自LAD中段至LM末端连续释放脉冲,在左主干处释放4个周期(40个脉冲),成功于LM-LAD植入3枚支架,术后IVUS评估达到理想的支架膨胀及贴壁效果。

术前冠脉造影

植入支架后

随着人口老龄化进程加快,冠脉钙化病变的发病率逐年升高。作为冠脉介入治疗最难处理的病变,冠脉钙化病变素来有“天不怕、地不怕,就怕冠脉有钙化”的说法。对于冠脉钙化病变,充分预处理是介入治疗成功的首要条件。上述3例患者不仅存在钙化病变,还合并了目前临床上常见的复杂病变:长弥漫病变、左主干病变、CTO病变,精准充分预处理极为重要。通过应用Shockwave冲击波球囊技术减少了慢血流/无复流的发生,保证了患者安全,并成功完成手术,获得满意效果,患者受益明显。相信随着冲击波球囊正式获批进入国内市场,该项技术将为越来越多的冠脉钙化患者带来福音,该技术有望成为冠状动脉钙化病变治疗的“终结者”。

参加手术人员

姚朱华教授团队


天津市人民医院立足精医为民,追求完美办院理念,心内科姚朱华教授团队在院领导支持下,积极开展新技术,在冠脉介入治疗、起搏与电生理、心律失常导管消融、结构性心脏病介入治疗等领域居全市领先水平。

供稿 李雄风 陶海东

审稿 曹明英

阅读数: 4413