西京结构故事会|查“漏”补“缺”——多封堵器TAVR术后瓣周漏封堵

2022年9月(总第11期)

瓣周漏是TAVR手术后常见并发症之一,尤其当患者主动脉瓣叶存在严重团块状钙化时,钙化瓣叶与支架难以完全贴合,或支架膨胀不充分、植入位置过深或过浅等,都可能导致其产生。对于瓣膜植入过深或过浅的患者,血流通过瓣架未覆膜区域反流至左心室,可通过瓣中瓣手术方式封堵漏口,若瓣叶钙化斑块严重,导致自体瓣叶与瓣架无法充分贴合时,瓣中瓣则难以治疗,此时,可采用封堵器封堵漏口。而患者采用长支架自膨式瓣膜手术后,受支架顶端大花冠及密集的菱形网格影响,导丝通过漏口的难度较大,此类手术成为术者的一项挑战。在此,我们结合一例具备以上特点的病例同大家分享探讨。本例患者治疗由西京医院杨剑主任团队青岛大学附属医院江磊主任团队共同完成。

TAVR术后瓣周漏示意图[1,2]


基本信息

男,74岁,因主动脉瓣重度狭窄,Type 1型带嵴二叶瓣行TAVR手术治疗,瓣膜植入术后压差明显改善,但因瓣膜位置偏深瓣周反流植入瓣中瓣,术后患者恢复良好出院。随访中超声提示瓣周中重度反流,反流位于主动脉人工瓣瓣周右后方,LVEF:38%。

根据患者情况,TAVR瓣中瓣术后瓣周漏,心功能较差。支架瓣膜位置良好,功能良好,瓣周漏位置孤立,考虑与既往钙化位置相关,考虑瓣周漏封堵治疗。



瓣周漏封堵术前CT及3D打印评估:

患者PVL封堵前CTA影像显示主动脉根部植入两枚Venus-A瓣膜,外瓣膜支架最深处为13mm,内侧瓣架植入深度约2mm,瓣环平面支架呈椭圆形,支架外侧可见严重团块状钙化斑块,CTA及3D剖视图可见三处漏口位于左冠窦,最宽处近8mm。


术中操作

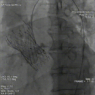
术前超声显示主动脉瓣周大量反流。

结合术前CTA评估,在S曲线中确定左冠切线位投照角度为LAO32 CRA6, 并在此角度下通过DSA引导导丝通过PVL。

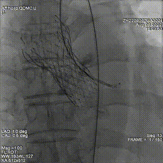
通过交换导丝置换鞘管,置入入第一枚封堵器6mm ADOII。

确定第一枚封堵器置入位置理想,但造影仍提示瓣周反流。

根据造影确定瓣周漏位置,在第一个封堵器旁探查,再次通过瓣周漏,置换鞘管后置入第2枚封堵器,仍选择6mmADOII。封堵器释放后位置良好。

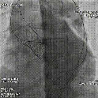
超声提示2枚封堵器位置良好,瓣周反流明显减少,但仍有少-中量瓣周反流。遂在已植入封堵器旁再次探查,并通过瓣周漏。因交换鞘管困难,遂采用LOOP法建立轨道,引导输送鞘管通过瓣周漏。

释放第三枚封堵器,选用6mmADOII,释放后造影显示无明显瓣周反流。

术后超声提示微量瓣周反流。


术后CT及3D打印评估

支架瓣膜位置良好。原瓣周漏位置,即左冠窦处植入3枚封堵器,形态良好,3D剖视图及打印模型可见瓣周漏封堵良好,无冠脉阻塞风险。


小结

1. TAVR术后因团块状钙化导致严重瓣周漏的患者可采用瓣周漏封堵治疗,可有效改善瓣周反流。

2.TAVR术后瓣周漏采用瓣周漏封堵术前,应进行充分的术前影像评估,CT三维重建及3D打印技术有助于手术方案制定,包括封堵适应症选择、瓣周漏位置形态测量、跨瓣优选投照角度确定、封堵器选择等,能明显提高手术效率和技术成功率。
3.长支架自膨瓣的主动脉内“花冠”结构可能影响瓣周漏通过时导管导丝位置判断,可在术前通过CT及3D打印技术进行预判,一般从未贴壁的支架一侧进入主动脉窦位置可提高手术技术成功率。
4.TAVR术后瓣周漏封堵术,因支架瓣膜及固有钙化团块坚硬,封堵器宜选用材质柔软塑形良好的不覆膜封堵器,如血管塞或ADOII等,较硬质先心封堵器效果更佳,术后残余分流较少。
5. 封堵器若穿过瓣架进行封堵时,需考虑瓣架内生物瓣叶与瓣架的相对位置,确定释放位置,防止封堵器盘片影响生物瓣叶启闭,或损伤人工瓣叶。

参考文献:

[1] Sinning J M, Vasa-Nicotera M, Chin D , et al. Evaluation and management of paravalvular aortic regurgitation after transcatheter aortic valve replacement.[J]. Journal of the American College of Cardiology, 2013, 62( 1):11-20.

[2] Werner N, Sinning J M. Aortic regurgitation after transcatheter aortic valve replacement[J]. Circulation Journal Official Journal of the Japanese Circulation Society, 2014, 78(4):811-818.

专家简介

杨剑

空军军医大学西京医院

心血管外科一病区主任,博士研究生导师。美国心脏协会专家会员(FAHA), 美国心脏病学会专家会员(FACC)。获聘陕西省中青年科技创新领军人才,陕西省科技创新团队带头人,为陕西省杰出青年科学基金项目获得者。临床擅长于二尖瓣、主动脉瓣等多种结构性心脏病的经导管微创介入治疗,获评第四届“国之名医”。在微创心血管器械研发、临床转化及以3D打印为主的多模态影像学评估方面有一定建树,先后在Eur Heart J,JACC等国际期刊上以第一或通讯作者发表SCI论文50余篇,承担国家重点研发计划、国家自然科学基金等10余项基金,经费1000余万元。荣获国家科技进步二等奖、中华医学科技一等奖等奖励,授权国家专利30余项,主编《心血管3D打印技术》《Cardiovascular 3D printing》《经导管主动脉瓣置换术中的3D打印技术——应用与实践》及《经导管主动脉瓣置换操作指南手册》等5部专著。

江磊

青岛大学附属医院

心血管外科市南病区主任,主任医师,医学博士,硕士研究生导师。

学术任职:山东省医学会心血管外科学分会青年委员会副主任委员,山东省医师协会心外科医师分会常务委员,国家心血管病中心专家委员会心血管外科微创专业委员会委员,国家心血管病中心专家委员会血管外科专业委员会委员,中国医师协会心外科分会介入治疗委员会委员,中国医师协会腔内血管学专委会主动脉夹层专家委员会委员,中国医药生物技术协会心血管外科技术与工程分会委员,青岛市医疗事故鉴定专家。业务专长:大血管介入、先心病、瓣膜病介入治疗,多项技术为省内首次开展。2017年9月开展山东省第一例经股动脉TAVR手术。目前大血管介入个人手术量居山东省前列,TAVR手术量为山东省首位,国内前列。

刘洋

空军军医大学西京医院

心血管外科博士,副主任医师,副教授,硕士研究生导师。微创结构性心脏病组组长,ECMO组组长。

美国马里兰大学医学院博士后。国家心血管病专家委员会微创心血管外科专业委员会委员。专注心血管疾病微创治疗。先后开展微创介入瓣膜病修复及置换术,瓣膜置换术后瓣周漏介入封堵术,冠状动脉漏介入封堵术等多项心血管疾病微创治疗新技术。在国内外发表研究论著70余篇,其中SCI论著28篇;主持军队重大专项子课题1项,国家自然科学基金1项,军队及省部级课题各3项;参加“863”重点课题,“十二五”、“十三五”国家重大科技专项等课题13项。获国家专利11项;主编专著1部,副主编专著3部,参编专著8部。获得省级科技进步一等奖1项,并先后获得美国ASAIO青年医师奖,欧洲Euro-ELSO青年研究者奖,中国医师协会心血管外科分会杏林奖,树兰卓越工程青年医师资助计划,中华医学会胸心血管外科分会Lillehei 奖学金及厄尔巴肯奖学金。现任中国医师协会心血管外科分会结构性心脏病专委会委员,中国研究型医院学会血管外科专委会青年委员,陕西省药理学会心血管药理学专业委员会常委,陕西省生物医学工程学会体外循环专业委员会委员,中国医疗保健国际交流促进会心脏重症分会陕西省工作委员会委员。

阅读数: 1884
相关专题