嘉境 · 瓣旅|宁津县人民医院张涛团队应用TaurusElite单月成功为三例重度主动脉瓣狭窄患者完成TAVR治疗

2022年7月下旬,宁津县人民医院张涛团队成功完成3例高难度TAVI手术(经导管主动脉瓣置换术)。此次接受手术的三名患者,长期受主动脉瓣狭窄困扰,其中首例患者左室功能不全,左室射血分数(LVEF)仅为10%,患者耐受性极差,手术策略行ECMO支持,术中全麻、少用造影剂、尽量少的心室起搏,整个手术过程充满挑战性;第二位患者,为主动脉瓣重度狭窄合并三支病变,其中左冠前降支90%重度狭窄,术中需要PCI+TAVR一站式治疗;第三位患者同样冠心病,瓣膜重度钙化、小左室,下肢入路条件不理想等一系列复杂问题。术后3位患者血流动力学稳定,身体恢复状况良好,手术的成功,充分彰显张涛手术团队在TAVR领域高超的医疗技术及默契的配合能力,为周边广大地区主动脉瓣疾病患者带来福音。

CASE 1

患者,男,65岁,患者半月来出现胸闷、气喘,活动后加重,经休息可缓解,症状逐渐加重,近6天来气喘明显加重,静息憋喘,不能平卧,伴夜间阵发性呼吸困难。

既往史:高血压病史10余年,最高血压170/100mmHg,脑出血病史8年,遗留左侧肢体活动不灵及左手麻木。心房颤动病史2年。

入院检查时发现主动脉瓣狭窄,心脏超声提示LVEF0.1,主动脉瓣病变,二叶式主动脉瓣(type0型),主动脉狭窄(重度)狭窄以此收治入院。

病例特点

该患者为一例重度AS患者,EF值0.1,手术风险极高。Type0型二叶式主动脉瓣,瓣叶重度钙化并分布不均,瓣叶增厚明显。主动脉瓣环水平夹角66度,横位心。瓣口形态不规则,呈火山口状。假体瓣膜释放后有位移可能。

超声结果提示:主动脉瓣最大流速6.5m/s,平均流速3.5m/s,最大压差170mmHg,平均压差48mmHg。

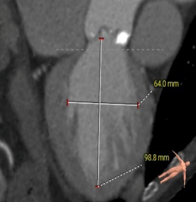
主动脉根部测量

ANNULUS

SOV DIAMETER

LVOT

STJ

ASCENDING AORTA

LEFT VENTRICLE

CT数据显示该患者为Type0主动脉瓣。

主动脉瓣瓣环周长97.1mm,平均周长径 30.9mm,SOV:34.8mm*47.5.3mm*42.4mm,瓣叶增厚,瓣上钙化分布不均,瓣环水平夹角66°。

冠脉高度测量

LEFT CORONARY

左冠开口高度20.4mm

RIGHT CORONARY

右冠开口高18.8mm

钙化分布:HU850钙化积分881mm³

左心室影像

外周血管及主动脉弓解剖

双侧血管内径良好,所见腹主动脉血管壁钙化形成

手术策略讨论

患者心功能差,EF值仅为0.1,拟Ecmo辅助下行经导管主动脉瓣置换术。术中选择右股动脉为主入路,左侧为辅入路。

计划使用25mm球囊进行扩张,TaurusElite AV29瓣膜进行释放。

Type-0型二叶瓣,重度钙化,瓣环大,瓣膜锚定力弱,预估瓣膜形态影响较大,钙化分布于瓣叶上,结合流出道形态及瓣上多平面分析,预估瓣膜释放后下滑风险较高,少量偏多瓣周漏可能,备瓣中瓣策略。

入路血管条件良好。

手术过程概览

在Ecmo辅助下,行主动脉根部造影,猪尾确定选择最佳释放体位,观察瓣叶活动,确认是否合并反流,选择合适体位跨瓣。

主动脉根部根部造影

直头导丝跨瓣

术者团队用25mm球囊预扩,结合瓣环及球囊预扩情况,预装AV29型号瓣膜。患者横位心,在抓捕器辅助下输送器过弓。

球囊预扩

造影评估

术者结合DSA影像,多角度观察瓣膜情况,在瓣膜释放至工作位造影。

初始定位释放 

工作位

无明显返流,瓣膜形态佳,工作稳定。

工作位评估

完全释放

术后超声评估

术前超声:主动脉瓣最大流速6.5m/s,平均压差48mmHg

术后超声:主动脉瓣最大流速2.0m/s, 平均压差16mmHg

CASE 2

患者,男,79岁。

既往史:冠心病,三支病变累及LAD,lCX,RCA因胸闷收治入院,住院期间出现憋喘,并出现心脏骤停,住院检查时发现主动脉瓣狭窄,心脏超声提示主动脉瓣病变,三叶式主动脉瓣,主动脉狭窄(中至重度)。

病例特点

该患者为一例重度AS患者,瓣叶重度钙化并增厚,钙化主要分布在瓣叶交界处。左室流出道呈桶状,左心室内径增大,心室壁增厚。非横位心,入路条件尚可。

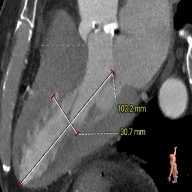
主动脉根部测量

ANNULUS

SOV DIAMETER

LVOT

STJ

ASCENDING AORTA

LEFT VENTRICLE

CT数据显示该患者为type1型主动脉瓣。

主动脉瓣瓣环周长75.2mm,平均周长径 23.9mm,SOV:34.7mm*33.8mm*32.9mm,瓣叶增厚,瓣上钙化分布不均,瓣环水平夹角58°。

冠脉高度测量

LEFT CORONARY

左冠开口高度14.0mm

RIGHT CORONARY

右冠开口高度13.1mm

钙化分布

左心室影像

外周血管及主动脉弓解剖

双侧血管内径良好,所见主动脉血管壁钙化形成

手术过程概览

行冠脉造影,LM末端50%狭窄,PDA近中段50-60%狭窄,中段90%狭窄,LCX近中段60-70%狭窄,RCA全程50-70%狭窄,PDA近中段50-60%狭窄,前向血流均为TIMI3级。

左冠脉造影

右冠脉造影

使用3.0*23mm支架处理病变位置,支架植入后造影显示血管灌注良好。

LAD冠脉支架植入

支架植入后评估

手术过程概览

行主动脉根部造影,猪尾确定选择最佳释放体位,观察瓣叶活动,选择合适体位跨瓣。

主动脉根部根部造影

球囊预扩

术者团队用22mm球囊预扩,结合瓣环及球囊预扩情况,预装AV26型号瓣膜。

输送器过弓

初始定位

术者结合DSA影像,多角度观察瓣膜情况,瓣膜释放至工作位造影评估并最终释放。

释放至工作位    

完全释放

无明显返流,瓣膜形态佳,工作稳定。手术顺利结束。

CASE 3

患者,男,65岁,

入院检查时发现主动脉瓣狭,三叶式主动脉瓣,超声诊断主动脉狭窄(重度)狭窄以此收治入院。

病例特点

该患者为一例重度AS患者,双侧股动脉见环形钙化,外周入路挑战较大,手术风险高。主动脉瓣环水平夹角67度,横位心,假体瓣膜释放后有位移可能。

入路血管内径偏小,双侧髂总动脉血管环形钙化,内径小,存在血管夹层风险。

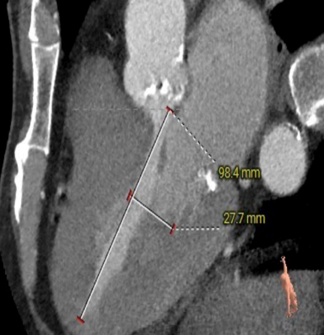
主动脉根部测量

ANNULUS

SOV DIAMETER

LVOT

STJ

瓣环水平夹角

LEFT VENTRICLE

CT数据显示该患者为三叶式主动脉瓣。

主动脉瓣瓣环周长66.2,平均周长径 21.1mm,SOV:32.2mm*36.4mm*34.1mm,瓣叶增厚,瓣上钙化分布不均,主动脉瓣环水平夹角67度,横位心。

冠脉高度测量

LEFT CORONARY

左冠开口高度16.9mm

RIGHT CORONARY

右冠开口高度16.0mm

钙化分布

左心室影像

外周血管及主动脉弓解剖

手术过程概览

首先冠脉造影,左冠血管充盈良好,右冠近端见80%狭窄,行PCI治疗,造影显示右冠脉充盈良好。

左冠脉造影

 右冠脉造影

右冠支架植入

右冠支架植入后

左股动脉切开,dsa引导下植入20Fr大鞘。行右侧猪尾导管主动脉根部造影、跨瓣。

外周造影

直头导丝跨瓣

20mm球囊预扩张,结合瓣环及术前策略,预装AV23型号瓣膜并释放至工作位。

球囊预扩

瓣膜释放至工作位

结合DSA影像,多角度观察瓣膜情况,瓣膜最终完全释放。

球囊后扩 

造影评估 

造影显示,因钙化原因,瓣膜贴合欠佳,行球囊后扩张,瓣膜形态佳,工作稳定,手术结束。

术后小结

三台TAVR手术难度很高,每台手术各有特点,对于新开中心极具挑战,首例患者难点主要在于患者心功能极差,LVEF为10%,手术风险极高,针对此患者的特殊性,是否能顺利行TAVR手术治疗,张涛、牛少林主任团队反复分析病例特点,做足充分的术前准备及术中支持,故而选择最安全稳妥的方式,在 ECMO辅助下顺利完成了全国县级医院首例高危复杂TAVR手术。

第二位患者重度主动脉狭窄合并三支病变,术前先行PCI,最大程度解除患者冠心病的困扰, PCI+TAVR一站式手术为病人提供了极大的便利,减少多次手术风险。对于TaurusElitr可回收系统的临床应用,使得术者更加自信,无需更多操作就可以达到瓣膜稳定释放,对血流动力学的改善及患者的身体恢复获得最大受益。

第三为患者同样是重度主动脉瓣狭窄合并右冠脉病变,瓣膜重度钙化,心室腔小,室壁显著增厚,入路血管不理想等一系列因素构成高难度复杂TAVR手术,为术中导丝跨瓣,加硬导丝置入左心室形态位置及瓣膜的释放带来了重重挑战。此患者同样采取PCI+TAVR一站式治疗策略,整个手术过程在团队的默契配合下顺利完成,术后即刻超声显示,主动脉瓣最大流速1.2m/s,平均压差5mmHg,血流动力学优异。

单月天之内连做三台心脏换“门”术,这也开创了中国县级医院历史“心”纪元。该技术的成功运用,标志着宁津县人民医院在常规开展结构性心脏病治疗技术上又实现了新的跨越,弥补了全县在结构性心脏病诊疗技术方面的一项空白,也是宁津县人民医院积极贯彻落实新时代卫生职业精神、践行以人民为中心发展理念的一个缩影。作为全国县级医院综合服务能力达标300强,2022年4月以来,宁津县人民医院以入选国卫健委千县工程为新起点,在上联三级医院引进优质资源,下接基层乡镇卫生院、卫生室做好分级诊疗的同时,努力加强自身建设,持续提升医疗服务能力和服务品质,全力做好县域居民健康“守门人”, 用医者仁心让一批批患者慕名而来,把“心”托付。

专家简介

张涛

宁津县人民医院

宁津县人民医院副院长,民主党派九三学社社员。主任医师,介入中心主任,心内科主任,宁津县胸痛中心总监。
山东省及德州市多个相关学术委员会委员、常委及副主任委员,德州市心血管专业专家库成员,德州市政协委员山东省老年医学学会老年专业委员会委员。从事心血管临床及介入工作15年,独立PCI手术量5000余例,擅长CTO、分叉病变、急性高危冠脉介入治疗。
2010年倡导在心内病区成立心健康宣教中心。2012年独立开展急诊PCI术,积极倡导并推动县域内中国胸痛中心认证建设,2016年全国县级医院中第一个通过国家标准版胸痛中心建设单位。,同年推动胸痛中心县域协作模式,通过人才培养、手把手带教帮扶周边县市级医院开展冠脉急诊介入手术。2017年在山东省率先开展急性心肌梗死药物球囊治疗,2019年4月德州市率先开展生物可吸收支架冠脉内治疗。2020年在全国率先建成对接胸痛中心总部的心电一张网,心电一张网“宁津模式”被全国推广。2022年全国同级医院率先开展ECMO支持下TAVR手术。

阅读数: 2903