嘉境 · 瓣旅|江苏省苏北人民医院成功开展TaurusElite经导管主动脉瓣系统植入

近日,江苏省苏北人民医院心内科谢勇主任,廖清池主任,徐日新主任,刘晓东主任联合导管室,麻醉科,放射科,超声科,护理部等多学科团队应用TaurusElite为一67岁重度主动脉瓣狭窄女性患者完成经导管主动脉瓣置换术(TAVR),为老年重症瓣膜病患者带来福音。病人患重度主动脉瓣狭窄,反复心慌气短,力求诊治,慕名来苏北人民医院。该患者由于病情危重,心功能差,传统的开胸手术创伤及风险较大,多学科专家团队会诊讨论后,最终决定为其行TAVR手术。为确保手术的安全,谢勇主任,廖清池主任,徐日新主任带领团队对患者进行了仔细的术前评估。术中多学科密切协作,娴熟完成股动脉穿刺,置入导丝导管,跨瓣,起搏,球囊扩张,瓣膜植入释放等系列手术操作,经过约1.5小时成功为患者实施TAVR手术。患者术后即刻超声显示无明显瓣周漏,瓣膜形态良好,血流动力学得到明显改善。此次手术的成功,将会明显提高患者的生活质量。

患者基本信息

患者,女性,67岁,既往有高血压病史。4天前因受凉后出现咳嗽咳痰,为少量黄色粘痰,无畏寒发热,并出现胸闷气喘症状,查超声心动图示:主动脉辦钙化伴重度狭窄,主动脉瓣最大跨瓣流速约6.2m/s,最大跨瓣压差154mmHg,主动脉瓣口面积约0.15mm²,二尖瓣轻中度反流,左心舒张功能减退。遂来我院就诊。

术前CT评估

主动脉根部测量

冠脉测量

主动脉弓测量

外周入路

术前讨论

手术策略

Type-0型二叶瓣,中-重度钙化伴瓣叶增厚,左冠开口高度偏低,右冠开口高度可,左冠瓣叶长度略大于冠脉开口上缘与瓣叶附着缘距离,左室流出道整体呈直筒型,瓦氏窦,窦管交界,升主动脉内径可,左室腔内径可,心室壁增厚,主动脉瓣环与水平面夹角51度,非横位心,主动脉弓距、弓角可 -双侧入路血管走形良好,整体入路条件可

使用沛嘉20mm球囊预扩,预装沛嘉TaurusElite AV23瓣膜,释放高度瓣上0-2mm

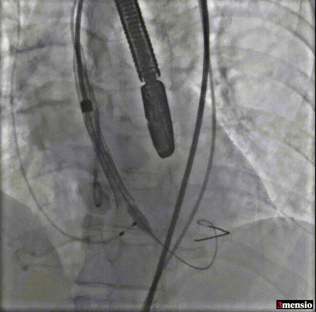
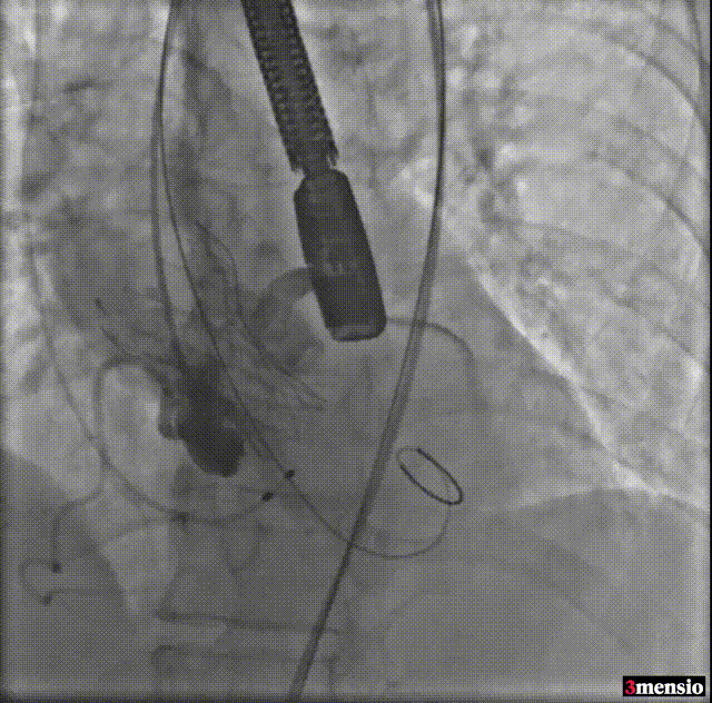
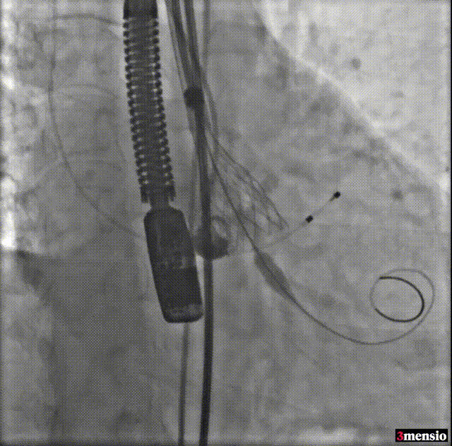
手术影像

术前冠脉造影

主动脉根部造影

导丝跨瓣

球囊预扩

预释放定位

瓣膜释放至工作位

工作位造影

释放后造影

由于该病例瓣上限制较重,手术团队讨论决定使用沛嘉20mm球囊后扩处理:

球囊后扩

瓣膜最后形态造影

压差

术前压差:115mmHg

术后压差:9mmHg

术者寄语

心血管疾病已成为人类健康的头号杀手,心脏瓣膜病作为一种常见的血管疾病,随着中国人口的老龄化,整体患病率直线上升。得了瓣膜性心脏病该怎么办?目前主要有三种治疗方式,一种是药物治疗;第二种是外科手术;第三种是介入治疗,只有后两种办法才有可能根治疾病。相对而言,传统的外科手术需要开胸,老年人选择时会有所顾虑,另外随着年龄增加,心脏病之外的合并症也多,因而外科手术的风险也随之增高。在这个基础上,就衍生了通过微创介入手术来治疗瓣膜病的方式。“从医学的角度来说,通过药物或者非创伤性的手段达到治愈是一个最理想的策略,我们希望用最小的创伤达到最大的治愈”,经导管主动脉瓣置换术(TAVR)是近年来用于临床的介入治疗手术,介入治疗与传统的外科手术相比创口小,出血少。TAVR手术不开胸、创伤小、恢复快的优势,使得患者在高危情况下免受“开胸之苦”,顺利重获“心”生。苏北人民医院心血管内科团队,长期致力于心脏瓣膜病、先天性心脏病等微创治疗技术创新,此次手术的成功将为更多的心脏病患者带来福音。

专家简介

谢勇

苏北人民医院

职  称:主任医师 副教授

职  务:心内科主持工作负责人 

专业特长:疑难复杂心血管病的诊治,包括:冠心病介入治疗:冠状动脉支架植入术、冠状动脉旋磨术、冠状动脉腔内影像学技术;瓣膜性心脏病介入治疗:经导管主动脉瓣置换术;心房颤动左心耳封堵术,经导管射频消融,心脏起搏器安装,高血压,心力衰竭,心肌病等。

医学博士,主任医师,副教授,硕士研究生导师。江苏省医学会心血管病分会委员,江苏省医学会冠脉学组成员,江苏省中西医结合学会心血管病分会委员,江苏省康复医学会心血管病分会常务委员,中国中药协会心血管药物研究委员会委员,江苏省医学会心身与行为医学分会双心学组委员,江苏省“333”工程培养对象,江苏省第一批卫生拔尖人才,扬州市医学重点人才,全国介入诊疗技术培训基地导师。日本医科大学千叶北总病院、美国哥伦比亚大学纽约长老会医院、匈牙利塞姆维斯大学访问学者,《Circulation Journal》及《实用医学杂志》审稿专家。

获扬州市科学技术奖一等奖1项,获江苏省卫生厅新技术奖及扬州市科技进步奖多项。发表论文40余篇,其中SCI收录6篇,参编著作5部。

专家门诊:周一全天

冠心病专病门诊:周四上午

廖清池

苏北人民医院

职  称:主任医师 教授 研究生导师

职  务:心内科科室副主任兼心血管一科主任 

中南大学介入心脏病学博士,心血管病研究所副所长。中国医师协会心血管病介入培训基地冠心病介入培训导师,中国房颤中心联盟左心耳封堵工作委员会委员,长三角心血管联盟心源性脑卒中防治专委会委员、LAmbre左心耳封堵术带教专家、中国中西医结合学会心血管病分会委员、多个江苏省省级委员及扬州市高血压专业委员会副主任委员。

微信公众号:心脏护卫者

专家门诊时间:周二全天

专病门诊:周四上午


徐日新

苏北人民医院

职  称:主任医师 研究生导师

职  务:CCU主任

扬州市医学会心血管病专业委员,卫生部冠心病介入诊疗培训基地培训导师。曾任江苏省医学会心力衰竭学组委员,江苏省法医临床学司法鉴定人。以第一作者及通讯作者在核心期刊发表文章40余篇。获江苏省卫生厅新技术引进奖、扬州市科技进步奖、新技术引进奖多项。

专家门诊时间:周三全天。

冠心病专病门诊:周一上午

刘晓东

苏北人民医院

职  称:主任医师,扬州大学医学院临床内科专任讲师

国家卫健委冠心病介入基地培训导师,中国医师协会心血管内科医师分会委员,江苏省医学会心血管病分会委员,江苏省中西医结合心力衰竭委员,扬州市医学会心血管分会委员,苏北人民医院首批医疗技术骨干,连续多年荣获苏北医院重点医疗工作“医疗事故处理先进个人”荣誉。担任“中华临床医师杂志”编委,在省级以上刊物发表学术论文20余篇,主编及参编出版专著6部,2015年扬州市卫计委新技术引进一等奖,2021年扬州市医学新技术引进二等奖,获得国家实用新型专利一项。

门诊时间:周一全天-

阅读数: 960