病例荟萃第十一期 | 雷力成:Telescope™在CTO及钙化迂曲病变中的应用1例

雷力成  首都医科大学附属北京世纪坛医院


简要病史


患者男性,87岁,2022-3-31入院。

主诉:间断胸痛17年,加重1周 。

现病史:患者17年前因“急性下壁心梗”于RCA植入3枚支架,并择期于LCX植入2枚支架,1周前再发胸痛。

既往:高血压病史30余年;糖尿病史20余年,血糖控制不理想;高脂血症20余年,慢性肾功能不全2年。

主要危险因素:高血压,糖尿病,高脂血症。


检查结果

【体格检查】

BP132/70mmHg,HR58次/分,双肺呼吸音清,未闻及干湿啰音,心界不大,心律齐,未闻及杂音,双下肢无浮肿。

【实验室检查】

hscTn-I 60.7pg/ml,Cr 113umol/L

【辅助检查】

心电图:CRBBB,1度AVB。

超声心动图:左室下后壁节段性运动异常,LVEF 66%。

临床诊断

【临床诊断】

冠心病,不稳定性心绞痛,陈旧下壁心梗,PCI术后,心功能2级;高血压病3级(极高危);2型糖尿病;高脂血症;慢性肾功能不全。

【风险评估】

患者高龄,陈旧心梗,PCI术后,糖尿病,肾功能不全,肌钙蛋白轻度升高,手术风险相对较高,尽量简化手术策略。

【用药情况】

拜阿司匹林,氯吡格雷,匹伐他汀,厄贝沙坦,非洛地平,那格列奈,捷诺维。

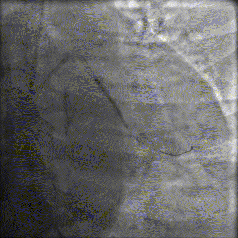
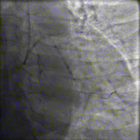
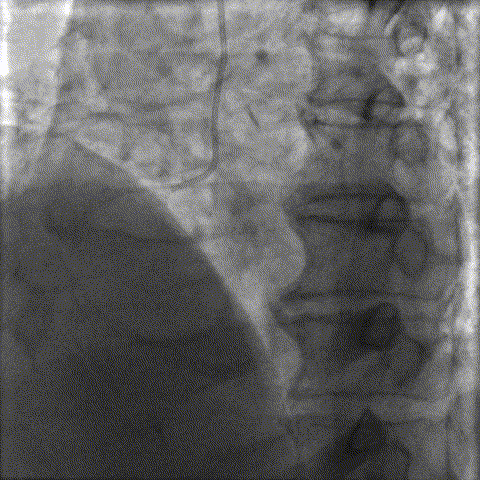
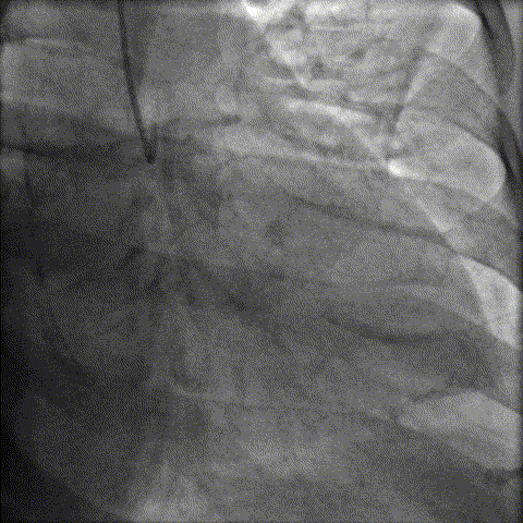
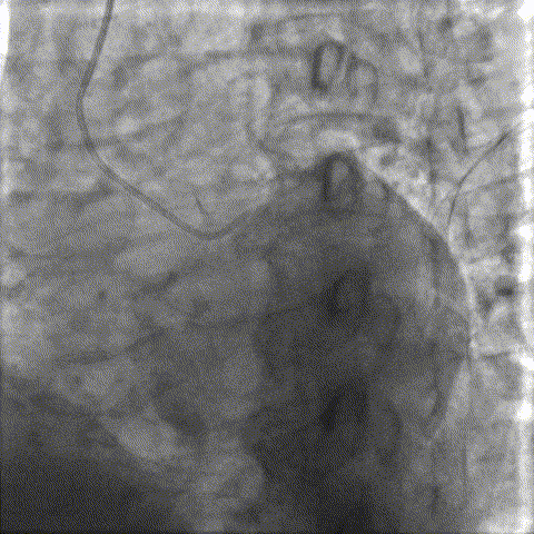
冠脉造影

LAD近中段重度钙化伴迂曲,中段重度狭窄;LCX开口重度狭窄,近中段重度钙化,中段原支架完全闭塞

LCX开口重度狭窄

RCA近段及远段原支架重度再狭窄

手术策略

分次干预,简化策略,先干预RCA,择期干预LCA,LCX为支架内CTO病变伴钙化,LAD为重度钙化伴迂曲,须加强支撑,导引延长导管备用,必要时旋磨。

介入经过及结果

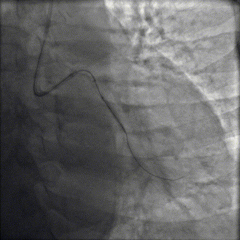
2022-4-1

   DCB干预RCA结果

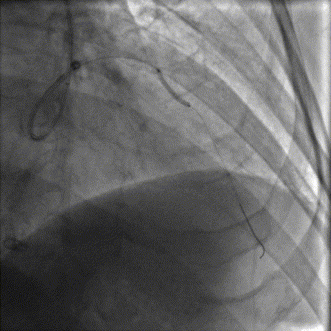
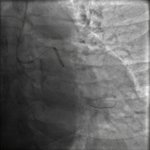
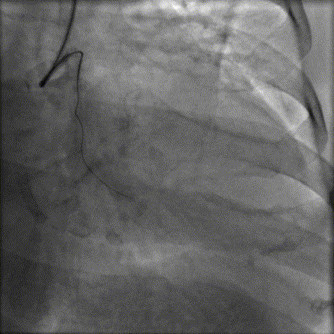
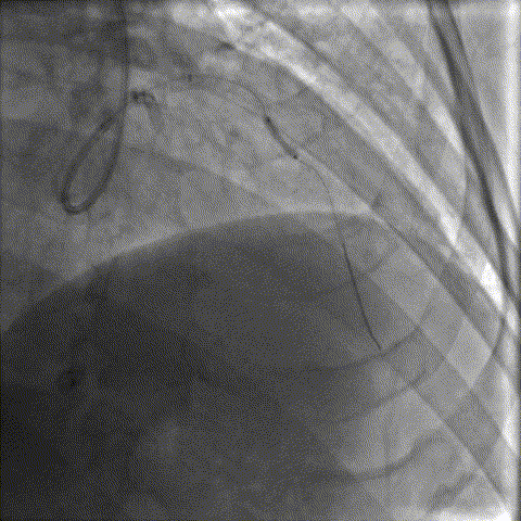
择期干预    LCX  2022-4-8
6FEBU3.5,Corsair微导管,Sion blue,FielderXTA   
导丝通过后,微导管无法通过

更换Emerge 1.2/12球囊,仍无法通过

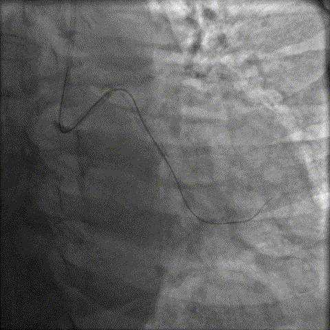
送入Telescope™ 导引延长导管,Sprinter2.0/20球囊轻松通过,成功预扩张

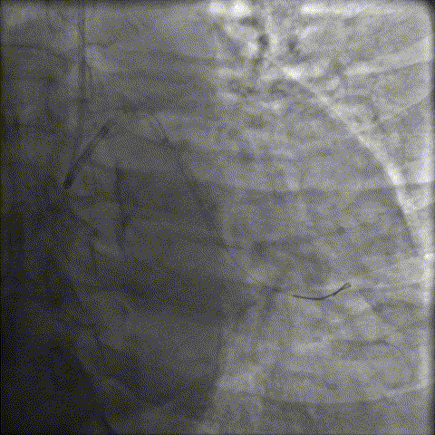
CuttingBalloon 2.0/10充分预处理

DCB 2.0/31  DCB2.5/20

LCX结果

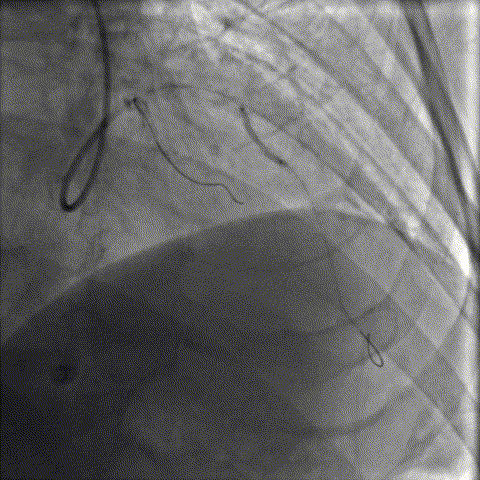
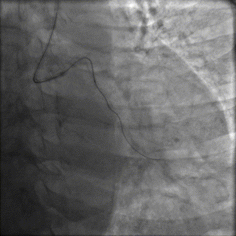
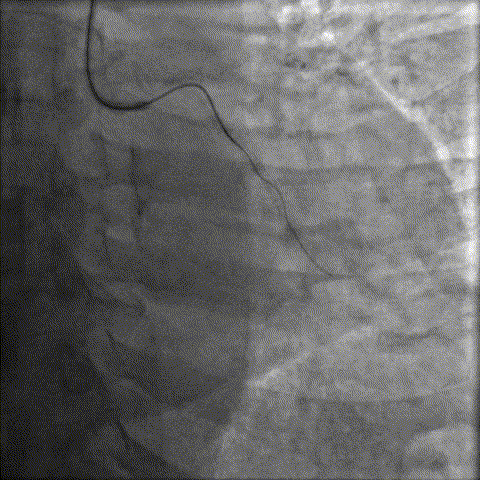
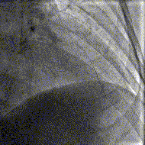
干预LAD,重度钙化伴迂曲

Sion导丝,Sprinter2.0/20预扩张,但Cutting Balloon2.0/10不能通过病变部位,后在Telescope™导引延长导管支撑下成功到位。

DCB2.0/20顺利到位,成功扩张


PCI术后结果及随访

术后症状消失,出院后定期随访,病情稳定。

经验体会及总结

•该病例特点:高龄,三支病变,LCX为CTO病变,支架内闭塞伴重度钙化,LAD重度钙化伴迂曲,这些特点势必导致了术中器械的输送困难 。   

•Telescope™导引延长导管的适时选择成为手术成功不可或缺的重要环节。

Telescope™导引延长导管总体感觉操作顺畅,输送性很好,具有较强的支撑力,器械输送过程中也未发生剐蹭,且头端柔软,增加了手术的安全性。

专家介绍

-  雷力成  -

首都医科大学附属北京世纪坛医院

首都医科大学附属北京世纪坛医院心血管内科主任医师,医学博士,中国心力衰竭学会委员,北京医学会罕见病分会罕见心脏病学组委员。曾赴美国德州医学中心进修心脏介入治疗。

擅长冠心病复杂病变的介入治疗、急性心梗的急诊介入治疗,熟练应用腔内影像学检查,对心血管急危重症救治具有丰富的临床经验。

长按二维码关注“一脉同行”

阅读数: 498