经典病例周周谈|佛山映月心血管介入论坛 ——一例纯反流病例分享

周周寄语

本例患者是一个非常理想的纯反流病例。术前CT分析,瓣环-流出道都是24左右,直筒型,瓣上结构看,瓣环上2mm,4mm,8mm大概都是在25左右,而且有轻度钙化。也就是说,我们可以把从流出道-瓣上8mm这么长的一个距离作为锚定区,选择一个没有腰的瓣膜会很合适。窦管结合部33,升主动脉40左右,升主动脉能提供的锚定力就很少了。角度不大46°,通常纯反流都合并横位心,横位心因为瓣膜不同轴,会放大瓣环大小,而这个病例正好角度不大,也是一个有利因素。综合以上分析,我们团队决定使用微创的二代瓣膜,27号,0位释放。手术中起搏180降压,缓慢释放,瓣膜基本没有移位,在确认锚定后,逐步降低心率,释放瓣膜张力后脱钩,达到完美的手术效果。

基本信息

79岁男性,患者于3年余前活动后出现气促,伴胸闷,休息后略有缓解,无伴夜间阵发性呼吸困难,少尿、水肿;无胸痛、大汗、心悸,无黑朦、晕厥、乏力,无咳嗽。当时未进一步诊治,此后上述症状反复发作,性质同前。4天前上述症状加重,为进一步诊治收入我院,心脏彩超示“主动脉辦退行性变,重度反流;左室舒张功能减退;轻度二尖瓣反流、升主动脉增宽。

术前超声检查

术前心超提示:主动脉瓣重度反流、轻度二尖瓣反流、升主动脉增宽。

CT评估及手术策略

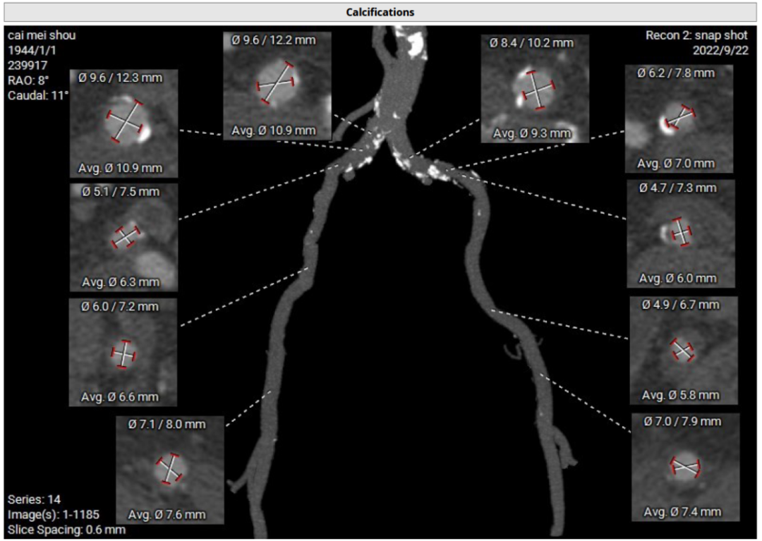
患者为三叶式主动脉瓣,重度反流。瓣叶交界轻度钙化。瓣环周长76.3 mm,平均径24.3 mm。LVOT周长77.3 mm,平均径24.0 mm。瓣上3.8 mm、5.0 mm、8.9 mm处空间为76.8 mm、82.8 mm、78.3 mm。STJ 周长105.7 mm,高度23 mm,升主周长126.5 mm 增宽、瓦氏窦大。综上所述建议TAV 27 瓣膜。左右冠高度15.6 mm、17.2 mm相对瓣膜支架可,冠脉风险低。股动脉入路血管轻度迂曲,双侧股动脉分叉高度可。腹主动脉、双侧髂总动脉散在钙化斑块。右侧股动脉平均内径最小6.3mm,左侧股动脉平均内径最小5.8mm,建议选择右侧股动脉为主入路。

手术过程

主动脉根部造影

导丝跨瓣

瓣膜定位,0位释放

释放2/3处造影确认植入深度
释放瓣膜
最终形态造影

检查入路完好

术后即刻食道超声

食道彩超

心超提示:瓣膜位置形态良好,无瓣周漏,手术效果非常好。

专家简介

罗建方

广东省人民医院

医学博士、主任医师、博士生导师。现任广东省人民医院南海医院院长、广东省人民医院血管病诊疗中心主任、广东省冠心病防治研究重点实验室副主任。
学术任职:美国心脏病学院Fellow (FACC)、欧洲心脏病协会Fellow (FESC)、美国心血管造影与介入学会Fellow (FSCAI)、首批Global Hybrid Algorithm Community国际认证Hybrid CTO带教专家、卫生部心血管疾病介入诊疗培训基地(冠心病介入治疗)导师。
中华医学会心血管病学分会大血管学组副组长、中国研究型医院学会心血管影像专业委员会副主任委员、中国研究型医院学会血管医学专业委员会副主任委员、中国医疗保健国际交流促进会血管疾病分会副主任委员、中国医疗保健国际交流促进会难治性高血压与周围动脉病分会副主任委员、中国医药教育协会血管医学分会副主任委员、广东省介入性心脏病学会周围血管介入分会主任委员、广东省医师协会心血管介入医师分会副主任委员、广东省医师协会心血管内科医师分会常务委员、广东省医学会心血管病分会结构性心脏病学组副组长等。
血管疾病多学科协作论坛(VMDT)执行主席、冠心病与周围血管介入沙龙(CPIS)执行主席、亚太CTO俱乐部广州峰会共同执行主席、亚洲心脏病学会年会秘书长等。
技术特长:擅长复杂冠脉病变、主动脉疾病、瓣膜疾病、周围血管病等的介入治疗。在国内率先开展脑保护装置下颈动脉介入治疗、经桡动脉行肾动脉介入治疗、快速起搏与经皮穿刺主动脉腔内修复术(TEVAR),2016年4月完成华南地区首例经导管主动脉瓣置换术(TAVR),2019年2月成功实施全球首例经股动脉途径TAVR联合TEVAR一站式手术,团队整体TAVR手术量已超过500台,已经帮助全国100家中心开展TAVR手术。
科研成果获中国医药教育协会科学技术奖二等奖1项、广东省科学技术奖二等奖2项、三等奖2项。参编学术专著6部,发明专利4项,发表学术论文100余篇。先后承担省市级课题数项,培养硕博士20余人,目前在研经费超过500万元。

李捷

广东省人民医院

医学博士,副主任医师,硕士导师。
学术任职:中国医师协会心血管病分会结构组委员;广东省介入性心脏病协会结构分会常务委员;广东省医师协会心血管介入医师分会委员;广东省医师协会高血压分会青年委员;广东省医院协会心血管质控管理分会结构性心脏病学组委员;中国大湾区心脏协会精准诊疗分会委员;中国结构周秘书长;血管疾病多学科协作论坛(VMDT)秘书;
技术特长:擅长经导管主动脉瓣置换术,手术量超600台,帮助全国70多家中心开展TAVR手术。擅长复杂冠脉病变、主动脉疾病、瓣膜疾病、周围血管病等的介入治疗。
阅读数: 934