嘉境 · 瓣旅|山东大学第二医院心脏大血管外科庞昕焱主任团队单日成功完成两例二叶瓣TAVR

2022年9月23日,山东大学第二医院心脏大血管外科庞昕焱主任团队,在心脏大血管外科、心内科、麻醉科、超声科、放射科、护理部等多学科团队的倾力协助和技术支持下,成功为两名二叶瓣畸形重度主动脉瓣狭窄患者实施高难度TAVR手术膜。瓣植入后均工作稳定,未出现并发症,术后患者症状明显改善,充分体现了术者团队精湛的技艺。

CASE 1

男性,78岁,间断胸闷2年余,加重半月,卧位出现喘憋,伴咳嗽,活动耐力下降至2m,超声心动图提示:主动脉瓣峰值流速4.9m/s,峰值压差69mmHg,瓣口面积0.34cm²,EF值40%。主动脉瓣重度狭窄,二尖瓣轻度反流,升主动脉扩张,左室舒张功能减退(II级)。

主动脉根部评估

ANNULUS

SOV DIAMETER

LVOT

STJ

ASCENDING AORTA

LEFT VENTRICLE

CT数据显示该患者为Type0主动脉瓣。

主动脉瓣瓣环周长90.3mm,平均周长径 28.7mm,SOV:28.6mm*39.1mm,瓣叶增厚,瓣上钙化分布不均,瓣环水平夹角51°。

冠脉高度测量

LEFT CORONARY

左冠开口高度20.6mm

RIGHT CORONARY

右冠开口高12.6mm

钙化分布:HU850:881m³

外周血管及主动脉弓解剖

双侧血管内径良好,所见腹主动脉血管壁钙化形成

手术策略讨论

患者Type0型二叶瓣,瓣叶重度钙化 ,钙化分布不均,左右冠同窦,双侧开口高度可,瓣叶长度小于冠脉开口上缘与瓣叶附着缘距离 ,右冠脉开口于左冠窦边缘。

计划使用22mm球囊进行有扩张,TaurusElite AV29瓣膜进行释放,结合流出道形态及瓣上多平面分析,预估瓣膜释放后下滑风险较高,采取高位释放策略。

手术过程概览

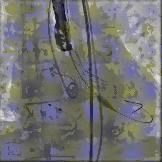
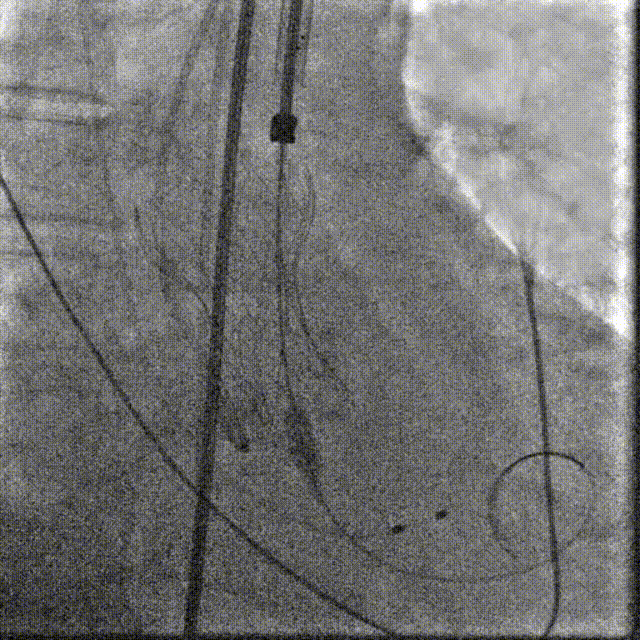
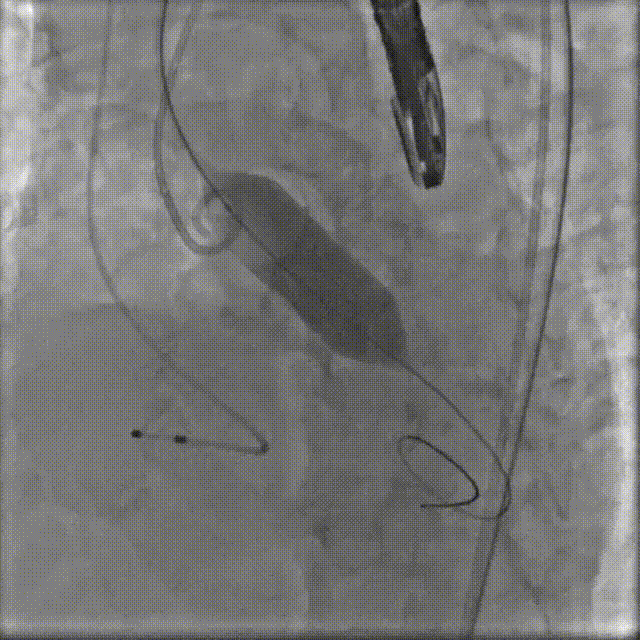
置入猪尾进行根部造影,造影可见根部钙化不均匀,瓣叶活动度低,冠脉灌注良好。

根部造影

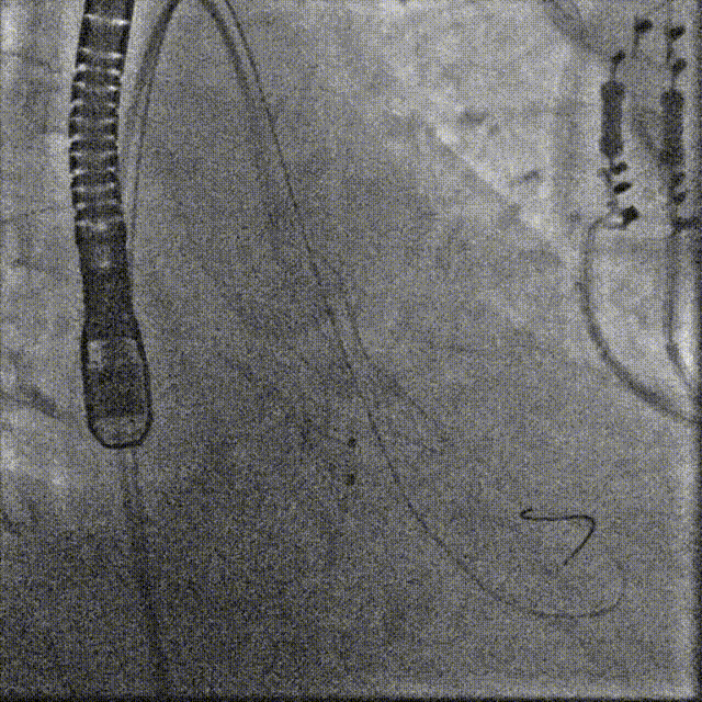
22mm球囊预扩,轻微腰征,冠脉显影良好,无造影剂渗漏。

22mm球囊预扩

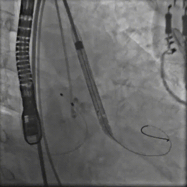
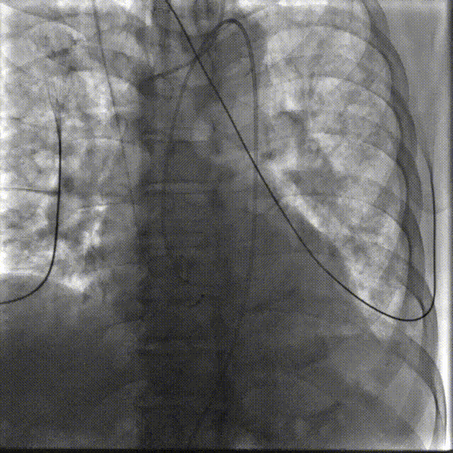
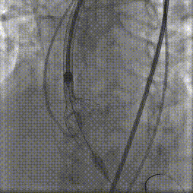
TaurusElite AV29号瓣膜定位及释放。瓣膜初始定位-3位,开花后120次起搏,释放到工作位后造影显示锚定充足,位置良好,冠脉未见遮挡,继续缓慢旋转手柄,轻推输送器,瓣膜逐一脱钩,顺利释放。

瓣膜初始定位

瓣膜释放过程

工作位造影

瓣膜脱钩

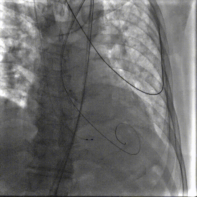
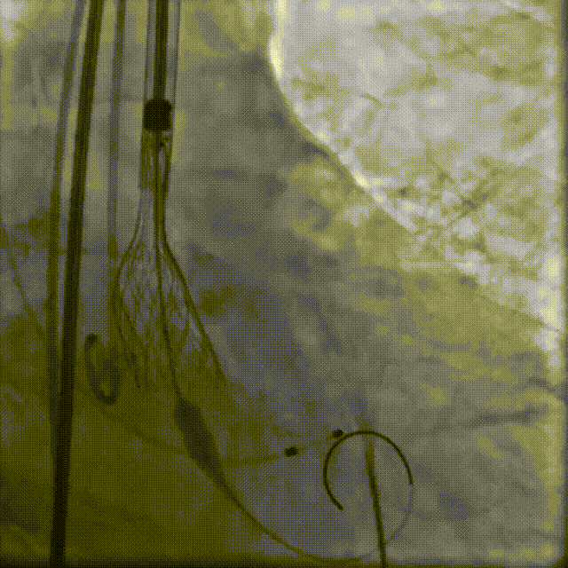
释放后多体位观察造影,提示瓣膜位置良好,展开良好,双侧冠脉未见遮挡,微量瓣周漏。

最终造影

术前跨瓣压差70mmHg

术后跨瓣压差1mmHg

CASE 2

男性,73岁,心脏超声提示重度主动脉瓣狭窄伴轻度反流,左室舒张功能减退。

病例特点

该患者为一例Type 1型二叶瓣,R-N融合,瓣叶重度钙化并增厚,钙化分布不均,左室内径偏小,心室壁增厚。

主动脉根部测量

ANNULUS

SOV DIAMETER

LVOT

STJ

ASCENDING AORTA

LEFT VENTRICLE

CT数据显示该患者为Type1型主动脉瓣。

冠脉高度测量

LEFT CORONARY

左冠开口高度14.0mm

RIGHT CORONARY

右冠开口高度13.1mm

冠脉开口及瓣叶长度评估

钙化分布:HU850钙化积分413mm³

外周血管及主动脉弓解剖

手术过程概览

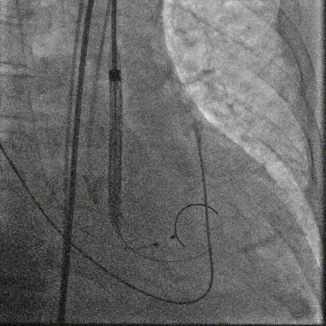
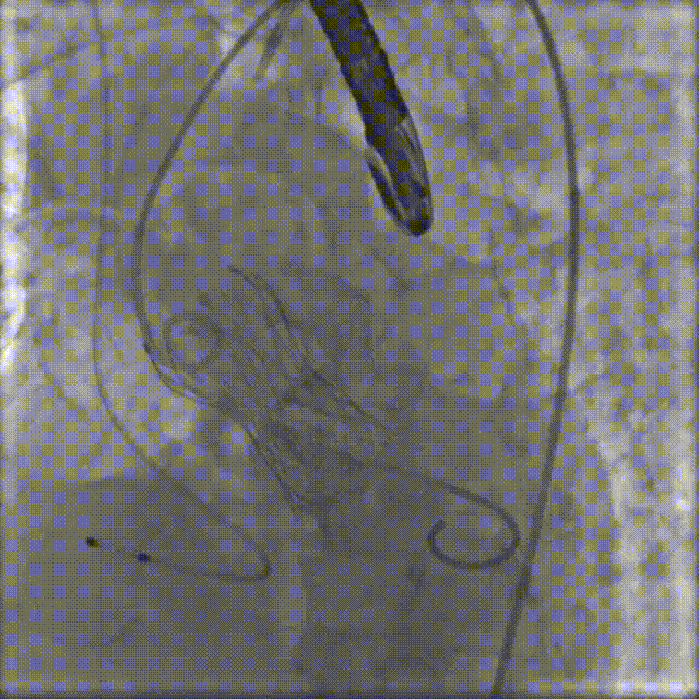
置入猪尾进行根部造影,造影可见根部钙化不均匀,冠脉灌注良好。

根部造影

20mm球囊预扩,无腰征,冠脉显影良好,无造影剂渗漏。

20mm球囊预扩

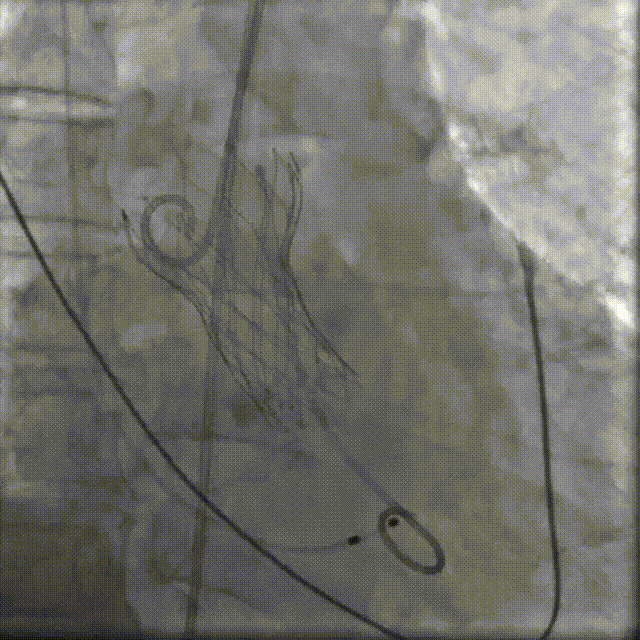
TaurusElite AV26瓣膜轻松过弓跨瓣,瓣膜初始定位瓣环0位,120bpm起搏下精准释放,释放到工作位后造影显示锚定充足,位置良好,冠脉未见遮挡,继续完成释放。

瓣膜初始定位

瓣膜释放过程

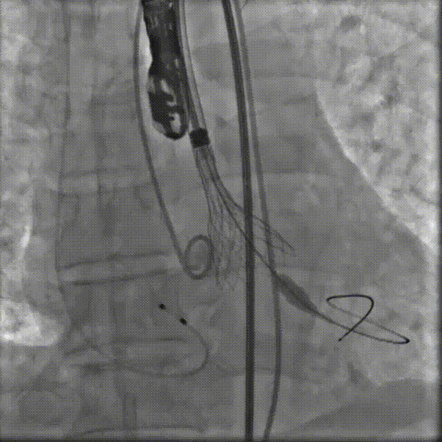
瓣膜释放后造影观察,根据影像判断反流较多,选择23mm球囊进行后扩。球囊后扩后反流量减少,瓣膜形态佳。

瓣膜脱钩

工球囊后扩

释放后多体位观察造影,提示瓣膜位置良好,展开良好,双侧冠脉未见遮挡,微量瓣周漏。

最终造影

术前跨瓣压差62mmHg

术后跨瓣压差4mmHg

术后总结

此次首开的两例瓣膜退行性变患者都为二瓣化畸形,对于二叶瓣TAVR手术,不规则、不对称的钙化,对术者技术要求很高,对释放位置把控要求更加更精准,术中瓣周漏、瓣膜移位等风险很高,加上较大的流出道对瓣膜的释放带来了更多不确定性。

首例患者,根据主动脉根部及瓣上结构特点,使用小球囊进行预扩张,且采用高位定位释放瓣膜,基于输送系统定位特点,在角度选择及瓣环、窦底共平面要求较高。瓣膜最终释放,手术效果非常好,术前担心的瓣周漏、瓣膜移位等问题也得到了很好的解决。

第二例患者为Type1型二叶瓣,左室心腔偏小,心脏功能储备差,TaurusElite瓣膜有释放要求很高的稳定性,对临时起搏及团队要求比较高,术中团队下达有效指令快速起搏血压将至60mmHg以下,缓慢释放瓣膜,直到工作位评估无瓣周漏、无反流,完成最后全释放。术后患者的状况得到了很好的改善,整个手术结果非常满意。

手术的圆满成功践依据,预示着TaurusElite瓣膜在TAVR治疗二叶瓣患者有了更强的实,也为更多心脏介入中心术者提供宝贵的经验。

专家简介

庞昕焱

山东大学第二医院

医学博士,主任医师,硕士研究生导师,现任山东大学第二医院心血管外科主任。兼任山东省医学会心脏外科分会副主任委员;山东省医师协会心脏外科分会、心血管外科质控分会、血管外科分会、心脏重症专委会、急性胸痛专委会委员,大血管疾病专委会副主任委员,结构性心脏病专委会副主任委员;山东省康复医学会心血管外科分会副主任委员。从事心血管外科工作20余年,常规开展心脏瓣膜病、冠心病、先心病外科及主动脉外科手术治疗。擅长大动脉疾病的外科、介入及杂交手术治疗,是山东省最早开展相应工作的专家之一,在主动脉疾病的外科、介入、杂交诊疗工作中有丰富的临床经验。 

阅读数: 599