启航丨潍坊人民医院王健教授团队一日完成三例高难度TAVR手术

2022年9月24日,潍坊市人民医院心内二科王健主任团队王健王世勋徐景涛三位术者联合心外科,麻醉科,超声科,放射科,血管外科等多学科团队,成功为两名三叶瓣重度主动脉瓣狭窄患者,一例二叶瓣重度主动脉瓣狭窄患者实施高难度TAVR手术,瓣膜植入后均工作稳定,未出现并发症,术后患者症状明显改善,充分体现了术者团队精湛的技艺。

病例1

性别:女

年龄:64岁

主诉:阵发胸闷2年余,加重10天。

现病史:患者2年前开始出现活动后胸闷、胸痛发作,伴后背部放射痛,无恶心、呕吐,无咳嗽、咳痰,无腹痛、腹泻,无一过性黑朦及意识障碍,1月前患者因“双膝疼痛”入住我院关节外科时行心脏彩超明确主动脉瓣重度狭窄诊断,未系统治疗,病情相对稳定。10天前患者无明显原因及诱因再次出现胸闷胸痛症状发作,仍无上述伴随症状,自觉程度较前加重,院外未特殊治疗。现为进一步治疗就诊我院,门诊以“心脏瓣膜病、主动脉瓣狭窄、冠心病、不稳定型心绞痛”收入院。

既往史:既往高血压病史10余年。

心脏彩超

三叶瓣氏主动脉瓣;

主动脉瓣硬化并狭窄(重度)少量反流;

左房大;

左室射血分数EF值: 68%。

主动脉根部评估

ANNULUS

LVOT

 SOV DIAMETER

 STJ

LEFT VENTRICLE

 ASCENDING AORTA

CT数据显示该患者为三叶瓣主动脉瓣。

主动脉瓣瓣环周长65.0mm,平均周长径 20.5mm,sov:25.7mm*27.1mm,瓣叶增厚,钙化主要分布于瓣叶,瓣环水平夹角51°。

冠脉高度测量

LEFT CORONARY

左冠开口高度10.6mm

RIGHT CORONARY

右冠开口高12.0mm

 左冠脉风险评估  

 右冠脉风险评估  

 钙化分布:HU850:370m³

外周血管及主动脉弓解剖

股动脉入路无迂曲,分叉高度可。髂总、腹主钙化分布。左侧血管平均最小内径6.0mm, 右侧血管平均最小内径6.0mm。 

建议右侧股动脉为主入路,穿刺点附近少量钙化分布,建议避开钙化穿刺。

手术策略讨论

患者三叶式主动脉瓣。瓣叶纤维增厚,轻度钙化。钙化主要分布于瓣叶。右冠高度低,瓣叶长度可,窦宽相对瓣膜小,左冠瓣叶较长,建议20mm球囊球扩评估冠脉风险。

计划使用20球囊预扩张,vitaflow tav24瓣膜进行释放,结合流出道形态及瓣上多平面分析,采取零位释放策略。

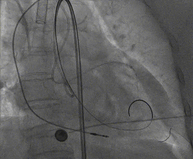
手术流程概括

根部造影

左冠脉提前植入延长导管,预埋冠脉导丝。

20mm球囊预扩张,无腰征,无造影剂泄露。

vitaflow tav24瓣膜轻松过弓初始定位瓣环0位开始释放,班第一次释放瓣膜在转移到瓣上,综合决定回收采取第二次瓣膜释放。

第二次精准零位释放,决定完全释放。

释放后多体位观察造影,瓣膜位置良好,展开良好,轻微瓣周漏。

病例2

患者,男性,74岁

因“发作性胸闷2年余,加重9小时”入院

现病史:患者于2年余前无明显诱因出现胸闷、气短,无明显心前区疼痛,无心悸、黑朦晕厥,无恶心呕吐,无咳嗽咳痰。症状呈阵发性,劳累后加重,症状持续约10分钟左右,休息后或含服“硝酸异山梨酯”可缓解。因未影响正常生活,患者未在意。患者于9小时前饭后再次出现上述症状,伴胸痛、大汗,因自觉症状较前加重,遂去当地医院就诊,当地医院给予“阿司匹林0.1、波立维300mg”口服,症状缓解,现为求进一步诊治,遂来我院就诊,门诊以“急性冠脉综合症”入院。

既往史:无特殊

个人史:有嗜烟,约30年,平均40支/日。已戒烟,约20年。偶尔嗜酒,约半年。

心脏彩超

左房肥大;

升主动脉增宽;

主动脉瓣重度狭窄,少量反流;

左心功能EF63%。

主动脉根部评估

ANNULUS

LVOT

 SOV DIAMETER

 STJ

ASCENDING AORTA 

 LEFT VENTRICLE

冠脉开口高度

LEFT CORONARY

左冠开口高度14.7mm

RIGHT CORONARY

右冠开口高26.9mm

左冠脉风险评估

右冠脉风险评估

钙化分布:HU850:852.2m³

外周血管及主动脉弓解剖

双侧入路血管走形迂曲,血管内径良好,腹主动脉及降主动脉弓见钙化形成,穿刺点无明显钙化,整体入路血管条件尚可。

手术策略与讨论

Typ1型二叶瓣,极重度钙化,瓣膜锚定力可,预估瓣膜形态影响较大,钙化分布于瓣叶上,结 合流出道形态及瓣上多平面分析,预估瓣膜释放后下滑风险较高,少量偏多瓣周漏可能。

左右冠开口高度可,综合瓦氏窦内径、窦管交界内径等因素考虑,冠脉风险较低 。

计划使用22mm球囊进行有扩张,瓣膜进行释放,结合流出道形态及瓣上多平面分析,26瓣膜进行释放,结合流出道形态及瓣上多平面分析,采取释放高度瓣膜下3mm左右。

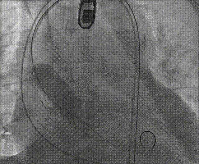
手术流程概括

22球囊扩张,无明显腰增,无造影剂泄露。

瓣膜初始零位释放,释放后位置尚可,决定完全释放。

瓣膜释放后有瓣周漏显示决定进行球囊后扩。

后扩后形态良好,瓣膜展开充分,轻微瓣周漏。

病例3

患者:女性,75岁

主诉:因“发作性胸闷、喘憋10年,再发10余天。”入院

现病史:患者10年前无明显诱因出现胸闷、喘憋症状,无明显胸痛、头晕、乏力,经休息后可逐渐缓解,曾至当地医院就诊,诊断为“冠心病”,长期口服“阿司匹林”等药物,病情不稳定,时有上述症状发作。10余天前患者因上述症状持续发作至潍坊市滨海开发区医院就诊,诊断为“冠心病、心力衰竭”,并行冠状动脉造影术,术中冠脉钙化严重,置入支架困难,具体用药不详,好转出院后口服“阿司匹林肠溶片、依那普利”等药物,病情相对稳定。1天前患者自觉胸闷、憋气症状较前明显加重,静息状态下发作频繁,程度较重,为求进一步明确诊治来我院,以“冠心病、心力衰竭”为诊断收住我科。患者近来饮食睡眠差,大小便基本正常,体重无明显增减。

既往史:既往“高血压”史10年,血压最高达“180/?mmHg”,未系统监测血压。

心脏彩超

左心肥大;

瓣膜退行性病变;

二尖瓣中量反流;

主动脉重度狭窄,少量反流;

三尖瓣少量反流;

心律失常;

左心功能28%。

主动脉根部分析

ANNULUS

LVOT

 SOV DIAMETER

 STJ

ASCENDING AORTA 

 LEFT VENTRICLE

冠脉开口高度

LEFT CORONARY

左冠开口高度12.1mm

RIGHT CORONARY

右冠开口高14.8mm

左冠脉风险评估

右冠脉风险评估

钙化分布:HU850:305.2m³

外周血管及主动脉弓解剖

股动脉入路无迂曲,分叉高度可。髂总、腹主钙化分布。左侧血管平均最小内径5.4mm, 右侧血管平均最小内径6.2mm。 

建议右侧为主入路,穿刺点附近钙化夹层,建议外科切开。左右髂总钙化,内径较小,建议18F大鞘预扩。

手术策略与讨论

三叶式主动脉瓣。瓣叶纤维增厚,重度钙化。钙化主要分布于瓣叶。 

瓣环周长75.2mm,平均径23.9mm。LVOT周长73.9mm,平均径23.5mm。

左冠高度低,瓣叶长,窦宽相对瓣膜可;右冠高度可,瓣叶长度可,窦宽相对瓣膜稍小,综合评估冠脉风险低。

计划使用22mm球囊进行有扩张,瓣膜进行释放,结合流出道形态及瓣上多平面分析,vitaflow tav24瓣膜进行释放,结合流出道形态及瓣上多平面分析,采取零位释放策略。

手术流程概括

零位定位开始释放,一次释放,零位释放位置良好,决定完全释放。

释放后多体位观察造影,瓣膜位置良好,展开良好,轻微瓣周漏。

手术总结

首例患者,根据主动脉根部及瓣上结构特点,使用小球囊进行预扩张,采用零位定位释放瓣膜,基于输送系统定位特点,在角度选择及瓣环、窦底共平面要求较高。瓣膜最终释放,手术效果非常好,术前担心的瓣周漏、瓣膜移位等问题也得到了很好的解决。

第二例患者为Type1型二叶瓣,对于瓣膜有释放要求很高的稳定性,对临时起搏及团队要求比较高,术中团队下达有效指令快速起搏血压将至60mmHg以下,缓慢释放瓣膜,直到工作位评估无瓣周漏、无反流,完成最后全释放。术后患者的状况得到了很好的改善,整个手术结果非常满意。

第三例患者,入院时诊断为重度心衰患者EF29%,且伴有冠脉狭窄,患者身体虚弱,手术在无体外循环支持下进行接入手术治疗,取得良好改善,术后患者心功能改善为EF61%,恢复心脏功能,术后结果非常满意。

对比传统外科手术需要在开胸、心脏停跳下手术,外科手术具有创伤大、风险高、恢复慢等缺点,并不适合老年人,而经导管瓣膜修复或置换技术的出现,使得高龄老年心脏瓣膜的微创介入治疗成为了现实。潍坊市人民医院TAVR团队成立于2020年,由心脏外科、心脏内科、血管外科、放射科、麻醉科、心脏超声等多学科组成。在心内二科王健主任的带领下TAVR团队已趋于成熟,作为潍坊市人民医院重点立项的临床应用新技术项目,潍坊人民医院TAVR团队通过多学科密切合作,经过不懈努力,取得了优异的临床效果。进一步奠定了潍坊市人民医院在我国心脏瓣膜病介入治疗领域的地位和综合治疗水平。并将更好的服务于全省的瓣膜患者。

专家简介

王健

潍坊市人民医院

潍坊市人民医院心内二科主任,主任医师,医学博士,硕士研究生导师。山东省生物工程学会心律委员会副主任委员,山东省疼痛医学会心脏大血管疾病委员会常委,山东省重症医学学会心血管分会委员,山东省心功能协会理事,山东省精准医疗学会委员,山东省康复医学会心脏康复分会委员,山东省老年医学学会心血管专业委员会委员,潍坊医学会心血管委员会副主任委员,潍坊临床心电学会副主任委员,潍坊预防医学会心血管分会副主任委员,潍坊市中西医结合学会心血管分会常委,潍坊医学会心脏介入分会委员。

王世勋

潍坊市人民医院

医学博士、潍坊市人民医院副主任医师,副教授,硕士研究生导师,潍坊市人民医院心内科研究室主任,擅长复杂冠心病的介入治疗,包括CTO的逆向治疗,严重钙化病变的旋磨治疗。缓慢性心律失常的起搏治疗,包括希浦系统起搏,三腔起搏器心脏再同步化治疗,快速性心律失常的射频消融治疗,特别擅长室上速的射频消融治疗,结构性心脏病的介入治疗。中国医药教育协会胸痛专业委员会委员,中国医师协会中西医结合分会心血管专业委员会委员,山东中西医结合学会胸痛专业委员会常务委员,山东中医药学会介入心脏病学委员会委员等。

徐景涛

潍坊市人民医院

副主任医师,医学博士,研究生导师,伦敦帝国理工学院访问学者。擅长冠心病的综合治疗,特别是复杂冠脉病变,如CTO,左主干、分叉病变、弥漫钙化迂曲病变的介入治疗。对起搏器植入及结构性心脏病的治疗有较深造诣。主要社会兼职:山东省老年医学心脏康复委员会委员,潍坊市医学会高血压病学会委员,潍坊市中西医结合学会心血管分会委员。

阅读数: 2765