5天转播18台手术,中山团队引领“大结构风”

作者:复旦大学附属中山医院  潘文志 周达新

本届结构周由复旦大学附属中山医院主办,10月10日至10月14日葛均波院士、周达新主任领导的中山医院结构团队在短短5天之内,向国内及国际会场直播演示了18台高质量的手术(含3台录播):5台经导管主动脉瓣置换,1台经导管二尖瓣缘对缘修复(TEER),2台经导管三尖瓣成形(K-Clip),2台经导管三尖瓣置换(LuX-Plus),1台经导管肺动脉瓣植入(PPVI)3台左心耳封堵(LAAC),2台可穿刺房间隔封堵器(ReAces)房缺封堵,1台经导管卵圆孔(PFO)封堵,1台经皮球囊肺动脉成形(PBPA)。不仅全面覆盖四个心脏瓣膜:主动脉瓣、二尖瓣、三尖瓣、肺动脉瓣;涵盖新近结构领域的主流术式:心源性脑卒中的预防(左心耳封堵、卵圆孔未闭封堵),还有慢性血栓栓塞性肺动脉高压的球囊扩张,以及传统先天性心脏病的新概念器械:可穿刺房间隔封堵器的直播亮相,吸引来云端数十万观众的点击关注。

这18台手术各有千秋,看点十足,首先,有同一术式不同器械的对比:中山医院团队在经导管主动脉瓣置换(TAVR)频道就分别直播展示了HanchorValve, TaurusElite、Evolute Pro 、Venus-A plus,VitaFlow II等新型器械应用特点。其中,HanchorValve为全球首个带有锚定件的球囊扩张瓣膜,由中国心血管医生创新俱乐部的成员发明、葛均波院士作为PI在全国进行多中心临床试验,此次转播为该瓣膜首次手术直播。左心耳封堵频道也分别展示了Watchman FlX,LACbes和Lambre左心耳封堵器的各家所长,让观众觉得收获满满!也有同一疾病不同治疗术式的对比:中山医院此次就国际最前沿的三尖瓣反流两种介入治疗:三尖瓣瓣环成形(K-Clip)和瓣膜置换(LuX-Plus)分别进行了直播展示,并且对三尖瓣反流的特点和两种介入治疗术式的适应征进行了深入的分析和对比,得到了业内同行的广泛赞誉!此外,传统先天性心脏病的新概念器械:世界首个可穿刺房间隔封堵器(ReAces)的直播亮相也是此次中山医院团队直播的一大亮点:直播中展示出封堵器房间隔成形服帖,金属含量少,预留可穿刺通道的特点获得国内专家广泛关注。


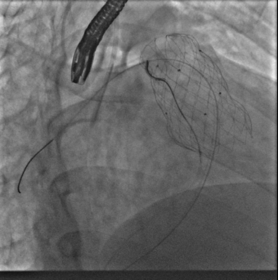
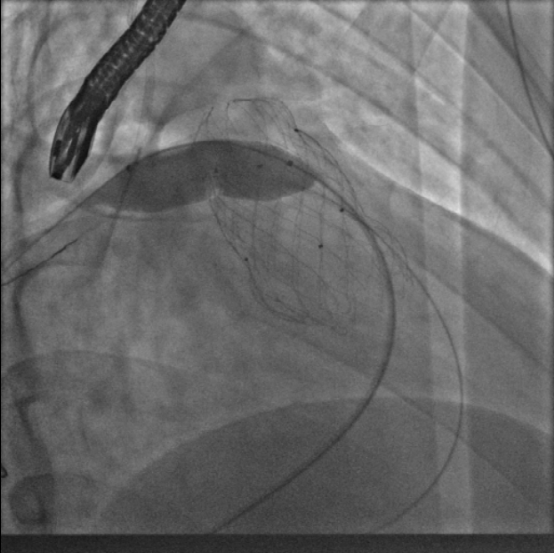
10月10日,葛均波院士、周达新教授团队转播了一台高难度的经导管肺动脉瓣置换术(PPVI),患者为法洛四联症纠治术并发肺动脉瓣反流患者。为防止患者右心功能障碍进一步恶化,团队决定为其行PPVI。术中考虑到患者肺动脉分叉较短,存在瓣膜释放后移位风险,故选择高位释放法。但释放瓣膜后造影提示右肺动脉开口局部被阻挡。

在先后尝试Snare圈套瓣架下缘下拉法、双导管圈套瓣架上缘下拉法,但效果不理想。团队迅速调整方案,创新性的采用Snare圈套住主路的Lunder quist导丝,建立球囊输送轨道,


如此球囊顺利通过瓣膜支架网孔进入右肺动脉,在DSA指引下逐步扩张球囊,成功使人工瓣膜支架向右心室侧移位。复查造影提示右肺动脉开口未见明显阻挡,跨右肺动脉压差小于8mmHg。复查肺动脉主干造影,显示人工瓣膜启闭良好,轻微瓣膜反流。最终手术疗效显著、取得令人满意的结果。肺瓣植入阻挡肺动脉是少见并发症,本例采用了多种技术,最终完美解决问题,为此类病人处理提供了很好经验参考。

10月12日,葛均波院士、周达新教授团队直播为一名特殊的患者进行TAVR手术,该患者仅有44岁,但因为维持性血透,严重心功能不全,射血分数只有25%,外科医生评估外科手术风险极高,因而转为TAVR手术。

术中由于患者心功能此前已经严重受损,在球囊扩张后由于瓣膜狭窄解除,反流加重出现心脏停跳循环崩溃,体循环血压降至30mmHg以下,周达新主任经验丰富迅速为患者进行胸外按压并同时使用血管活性药物,将患者的血压维持在100mmHg左右,直至其心脏自主收缩恢复。

在瓣膜释放过程中,因为29mm瓣膜太大,患者又是二叶瓣主动脉瓣,导致尽管在瓣膜释放过程中进行快速起搏控制血压,但瓣膜释放过程中数次出现定位困难,一次上弹至升主动脉的过程中,导丝损伤打折,导致瓣膜输送系统与导丝间摩擦力过大,输送系统一时回撤困难,周达新教授用持针器固定导丝,最终成功回撤瓣膜输送系统。但在随后使用6F猪尾巴交替受损的Safari导丝时,因为损伤部位折角过大,猪尾巴管无法通过损伤部位,团队迅速更换6F大腔导管,顺利通过受损导丝到达左心室,使用交换导丝,再上6F猪尾巴管,重新导丝建立轨道。

考虑到瓣膜在释放过程中定位困难,周达新教授在瓣膜释放开始出现下滑后,将瓣膜回收一点后上提紧贴自身瓣膜,再迅速释放,最终使得瓣膜完全固定。因为患者是type0式二叶瓣,瓣膜释放后,支架展开不良,准备予以球囊后扩张,但是食道超声发现左冠窦内可疑有扩碎的瓣叶在飘动。考虑患者的窦部宽大,冠脉堵塞风险较小后还是予以球囊扩张,同时造影看到左右冠血流可。球囊扩张后瓣膜之间展开良好。

虽然手术过程中经历一波三折,但周达新教授沉着应对,团队最终顺利的完成了手术,面对直播镜头,周达新主任及其团队展示了高水平的手术技巧,更展示了强大的心理素质和丰富的手术经验。

风从东方来,清波扬四海,此次中国结构周以“风”为主题,此次中国结构周直播演示中,中山医院结构团队引领“大结构风”:不仅展示出在结构性心脏病领域的技术全面性,更展示出在治疗理念的超前性和先进性。

团队介绍

中山医院心内科是全国著名结构性心脏病介入治疗诊疗中心,在结构性心脏病治疗方面即历史悠久又不断创新。在葛均波院士规划培养下,团队实力雄厚,人才梯队合理。团队现有医师12名,具有正高职称2人,副高职称1人,主治医师9人。团队负责人周达新教授, 2021年获被评为上海工匠,现任中国医师协会心血管分会结构心脏病学组副组长。秉承“大结构”的理念,业务范围涵盖先心介入、瓣膜病介入、瓣周漏封堵、左心耳封堵、心衰的介入、肺血管介入,以及肺动脉高压诊治,是国内技术最全面的结构性心脏病团队。团队在结构性心脏病介入整体上属于国内领先、国际先进,部分技术国际领先。已累计完成先心介入手术15000台,经导管瓣膜修复/置换手术1400台,左心耳封堵手术1800台,近年来在国内或世界范围内率先开展8项重要结构性心脏病介入新技术。





严道医声同步精彩直播

扫码收藏观看


往期回顾

中国结构周 2022|年度盛会即将开启,八大亮点抢先预览

中国结构周 2022|周达新教授:领先一步,书写中国瓣膜介入原创风采!

中国结构周 2022|吴永健教授:拥抱未来,共同创造中国结构介入的明

中国结构周 2022|罗建方教授:合作是加速器,规范是定盘星——中国结构介入昂首向前

中国结构周 2022|陶凌教授:手术操作有规范,学术交流无界限

中国结构周 2022 | 苏晞教授:你我同行 共赴盛会;他山之石 可以攻玉!

中国结构周 2022|林逸贤教授:初心不变,求索医师与医术的发展之路

中国结构周 2022|线上注册通道开放,欢迎开启中国结构周 2022全新旅程(附在线注册详细流程)

中国结构周 2022|殷伟贤教授:结构性心脏病的哲学之道

中国结构周 2022丨Hasan Jilaihawi教授:令人惊叹的进步速度,中国结构周与世界同行

中国结构周 2022|Thomas Modine教授:中欧合作前景无限,期待结构周线上相见

中国结构周 2022|高润霖院士:道虽远,行将必至,并肩拓宽结构介入发展之路

中国结构周 2022|倒计时2天,中国结构周即将开幕!

中国结构周 2022|葛均波院士:以人为本,以史为鉴——团结一致迎接更大的机遇与挑战

中国结构周 2022|10月10日亮点预告:数十台不同主题的手术演示,全天候展示

风从东方来,清波扬四海:中国结构周2022盛大开幕!

中国结构周2022|10月11日亮点预告:攻坚克难,破解临床难点与困境

中国结构周2022 | 百折不挠、创新突围——葛均波院士团队克服高难度TPVR困境一例

中国结构周2022|瓣膜中心TAVR-MDT专场系列报道(一):每个学科都不可或缺,每个阶段都严阵以待!

转载自《瓣膜中心》公众号

阅读数: 733