健适杰成新一代经血管介入主动脉瓣膜系统由中山医院王春生教授团队成功启动中国临床研究

2022年10月15日,杰成医疗(健适医疗成员企业)的新一代经血管介入生物主动脉瓣膜系统在复旦大学附属中山医院成功启动中国注册临床,并顺利完成了首次临床入组,为一位主动脉瓣重度狭窄以及一位主动脉瓣重度关闭不全(反流)患者实施救治。手术非常顺利,瓣膜植入的关键步骤均在10分钟内完成,术后患者展现良好的精神状态,效果满意。

手术由王春生、魏来教授带领的微创心血管外科团队实施,在心外科杨晔、王文硕医师,心超科董丽莉教授、麻醉科郭克芳教授、重症医学科罗哲教授、放射科杨雪医师、以及护理部婉珺护士长、王成浩护师等多学科团队的密切配合下高质量完成。

图为王春生教授研究杰成瓣膜系统的自主导航定位装置
图为王春生、魏来教授领导的中山医院微创心血管外科团队实施手术

病例一:患者基本情况

患者,女性,83岁,因“劳动过后呼吸困难多年,近一个月症状明显加重”入院,至中山医院经过详细的超声和CT诊断,发现其:主动脉瓣狭窄伴有关闭不全(反流),瓣叶增厚,游离缘中度钙化,同时左侧冠脉开口9.1mm稍低,二尖瓣环重度钙化,STS评分8.6。经过临床详细评估,计划植入一枚22mm的杰成经血管介入生物主动脉瓣膜。

患者术前CT分析:患者主动脉瓣为三叶式,瓣叶重度钙化伴增厚;左侧冠脉开口9.1mm稍低;主动脉弓角度偏小。

瓣环

开口面积

左冠高度

钙化积分

外周血管通道

手术过程

1:开通血管通路:切开右侧股动脉,置入血管鞘,建立主入路;穿刺左侧股动脉,猪尾巴导管入主动脉根部造影;

2:建立轨道:应用直头导丝跨瓣,更换猪尾巴导管测跨瓣压后,换加硬导丝建立输送轨道;

3:球囊前扩:沿加硬导丝植入球囊,扩张狭窄瓣膜;

4:过主动脉弓:沿加硬导丝送入输送器,到主动脉弓后旋转输送器调弯按钮缓慢过主动脉弓;

5:定位件入窦:先将定位件脱离鞘管,充分展开,调节定位件入窦;

6:瓣膜释放:调节鼻锥控制按键,选择最佳位置释放瓣膜,然后锁丝脱钩;

7:撤离输送器:缓慢回撤,过弓时回弯;

8:球囊后扩:再次沿加硬导丝植入球囊,扩张人工瓣膜,使瓣膜紧密贴合血管壁,复查造影,结束手术。

术后瓣膜形态良好

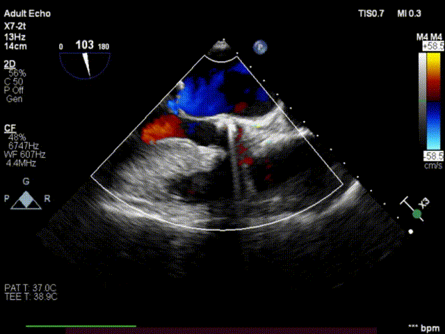
术前心超

术后心超

术中使用22mm杰成经血管介入瓣膜,顺利完成手术,经超声评估患者跨瓣压差等指标较术前明显改善。患者恢复状况良好,术后第一天便顺利出院。

病例二:患者基本情况

患者,男,90岁,因“1月前胸闷发作”入院,经过详细的超声和CT诊断,发现其:主动脉瓣重度关闭不全(反流),瓣叶增厚,主动脉窦及升主动脉增宽;左房室稍增大,STS评分8.4。经过临床详细评估,计划植入一枚28mm的杰成经血管介入生物主动脉瓣膜。

患者术前CT分析:主动脉瓣为三叶式,瓣叶增厚;主动脉弓角度偏小。

瓣环

窦部大小

左室流出道

升主动脉

瓣叶开放3D图

外周血管

手术过程

1:开通血管通路:切开右侧股动脉,置入血管鞘,建立主入路;穿刺左侧股动脉,猪尾巴导管入主动脉根部造影;

2:建立轨道:应用直头导丝跨瓣,更换猪尾巴测跨瓣压后,换加硬导丝建立输送轨道;

3:过主动脉弓:沿加硬导丝送入输送器,到主动脉弓后旋转输送器调弯按钮缓慢过主动脉弓;

4:定位件入窦:先将定位件脱离鞘管,充分展开,调节定位件入窦;

5:瓣膜释放:调节鼻锥控制按键,选择最佳位置释放瓣膜,同时锁丝脱钩;

6:撤离输送器。

术后反流改善,无瓣周漏

术前心超

术后心超

使用28mm杰成经血管介入瓣膜,顺利完成手术,术后主动脉瓣反流情况消失。患者术后第二天便顺利出院。

讨论

心脏瓣膜病是临床发病率和死亡率双高的一类疾病,在成年人外科心脏疾病中占一半以上,而主动脉瓣膜病又是最常见的瓣膜病之一。目前中国市场上已获官方批准可同时治疗主动脉瓣关闭不全和狭窄的TAVR产品只有杰成医疗的J-Valve经心尖介入瓣膜。J-Valve瓣膜凭借其原创的“自主导航定位系统”,同时具有冠脉保护、起搏器植入率低等优势,代表中国高端医疗器械在国际上拿到话语权,得到西方主流国家的认可。

创新从来都不会一蹴而就,而是建立在扎实的探索和钻研的基础上所创造的。此次手术应用的杰成经血管介入瓣膜,经过多年潜心开发,在延续了上一代产品(经心尖)的优势的基础上,采用经股动脉(经血管)入路,为患者提供了更多的入路选择,同时具有手术时间更短,手术创伤更小,病人恢复更快等优点。

复旦大学附属中山医院拥有国内领先的心内科和心外科,也是中国最早开展经导管主动脉瓣置换术(TAVR)的医院,在TAVR临床研究方面积累深厚。在葛均波院士的领导下,医院又专门组建了包括心内科、心外科、心超室、麻醉科、重症监护科、放射科等在内的跨学科介入瓣膜团队。凭借团队的综合技术能力,中山医院希望巩固并持续输出临床研究、学术推广、病患治疗等各项能力。本次两台手术分别治疗主动脉瓣狭窄和主动脉瓣关闭不全(反流)患者,手术成功证明其安全有效性和易操作性,预计该手术将在各大心血管中心广泛开展,给更多的主动脉瓣狭窄及重度反流患者带来福音。

专家简介

王春生

复旦大学附属中山医院

主任医师,二级教授,博导,心脏外科主任,上海市心血管病研究所副所长,上海市心胸外科临床质控中心主任,上海市心脏瓣膜研究中心主任,中华医学会心胸血管外科分会副主任委员,国家微创心血管外科专业委员会主任委员,中国医师协会心脏瓣膜病专家委员会主任委员,美国胸外科协会(AATS)委员,亚洲心胸外科协会 (ASCVTS) 资深会员,上海医学会心脏大血管外科专业委员会创始主任委员,中国医师协会心外科分会大血管专业委员会,卫计委及上海市人体器官移植技术临床应用委员会委员,国际微创心胸外科学会(ISMICS)执委,荣获卫生部吴阶平医学研究奖一等奖、上海市劢树教育卫生一等奖、上海市“曙光学者 ”(2003)、上海市领军人才 (2010)、上海市优秀学术带头人 (2014)、 国家名医盛典-国之名医 卓越建树 (2018)。

魏来

复旦大学附属中山医院

主任医师,博导,复旦大学附属中山医院心外科副主任;微创心血管外科主任;上海市心脏瓣膜工程技术研究中心副主任;上海市医学会心脏大血管外科分会副主委;国家心血管病中心微创心血管外科专委会常委兼秘书长;中华医学会胸心血管外科学分会全国委员;中国医师协会心血管外科医师分会全国委员;中国医师协会腔内血管学分会心脏瓣膜病专家委员会副主委;中国医师协会机器人外科医师分会常委。

阅读数: 997