嘉境·瓣旅|河南科技大学第一附属医院完成严重肾功能不全长期透析重度主动脉瓣狭窄合并重度关闭不全TAVR一例!

近日,河南科技大学第一附属医院结构性心脏病病区汪砚雨主任团队,联合心外科、麻醉科,超声科、手术室护理团队,成功为一名重度主动脉狭窄合并重度反流患者进行了经导管主动脉瓣置换,该患者病情复杂,急诊以:“1.冠心病,缺血性心肌病,PCI术后,急性冠脉综合征,心功能三级;2.心脏瓣膜病,主动脉重度狭窄并大量反流,二尖瓣大量反流”收治入院。该患者植入后瓣膜工作正常稳定,术后患者血流动力学和心功能均得到了有效改善,为患者带来更长久生存期受益和更高生活质量。

患者基本信息

男性,63岁,间断胸闷,胸痛9年,再发八小时收治入院。“高血压病”20余年,发现糖尿病2年余,“慢性肾脏病5期”3年,规律透析治疗2年,3年前于肾脏内科行左手动静脉内瘘成形术。诊断主动脉瓣重度狭窄并伴有重度关闭不全。

超声提示

主动脉瓣三叶,瓣缘增厚钙化粘连,开放受限,关闭不全,瓣环内径24mm,最大压差87mmHg,瓣上速度 4.7m/s,舒张期反流面积5.0平方厘米。
左房前后径51mm,房、室间隔连续正常。
左室前后径56mm,室间隔厚度13mm,左室后壁厚度11mm,室壁运动幅度减低,EF:50%,FS:26%,SV:105ml,EDV:159ml,ESV :79ml,SV :80ml 。
肺动脉瓣光滑,结构正常,大动脉关系正常,升主动脉增宽。

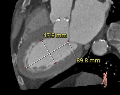
术前CT评估

1.CT数据显示该患者Type 1型二叶式主动脉瓣,左右钙化融合,瓣叶重度钙化并增厚,钙化分布较均匀,主要分布在无冠侧瓣叶边缘及左右交界。
2.主动脉瓣瓣环周长95.7mm,平均周长径30.5mm。
3.左心室舒张期前后径59mm,术中发生恶性心律失常风险大,预装瓣膜,备自动除颤仪和体外循环。
4.冠脉开口高度可。
5.入路血管钙化严重,内径可,符合血管入路条件。

主动脉根部及外周入路预览

主动脉根部测量

冠脉阻挡风险及左室大小评估

瓣上测量

钙化分布

弓角弓距及瓣环角度


外周入路

病例特点

该病例为一例典型主动脉瓣重度狭窄并重度关闭不全患者。

1.TYPE1二叶瓣,钙化分布不均匀,存在瓣膜下移的风险,瓣周漏可能性较大。

2.术中注意尿量变化,术前及术后制定周密透析方案,心功能一般,能耐受手术,常规抗凝即可。术前CT影像和超声显示:左室腔容积较大,恶性心律失常风险高,术中密切关注血流动力学变化,备自动除颤仪和体外循环。

手术策略

1.全麻+TEE手术方式,

2.右侧股动脉为主入路,左侧股动脉为辅入路,

3.使用23mm球囊预扩,预装AV29瓣膜,瓣上2mm开始释放。

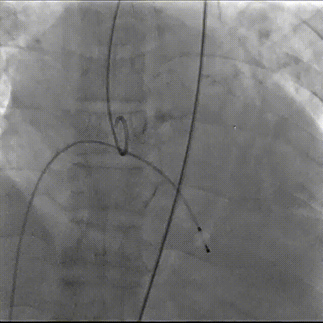
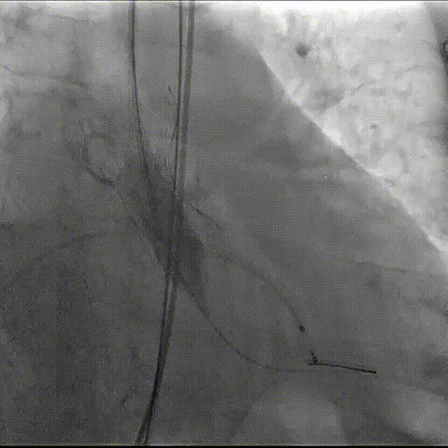
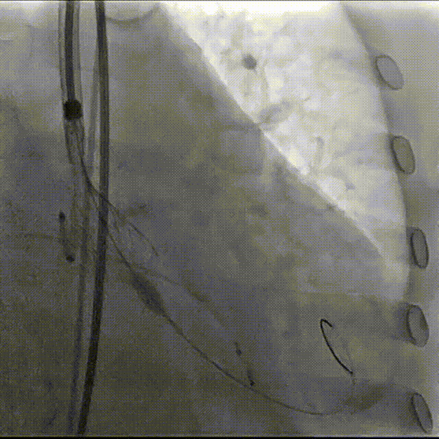
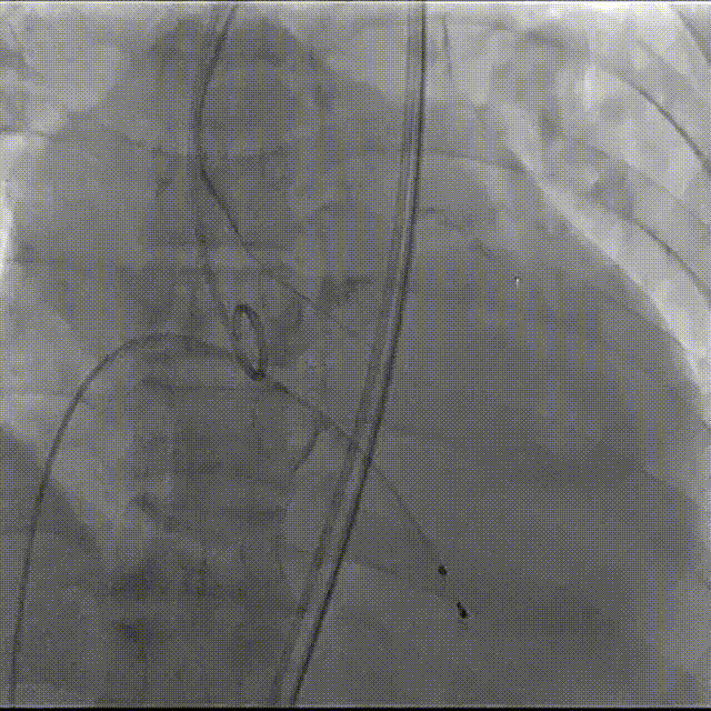
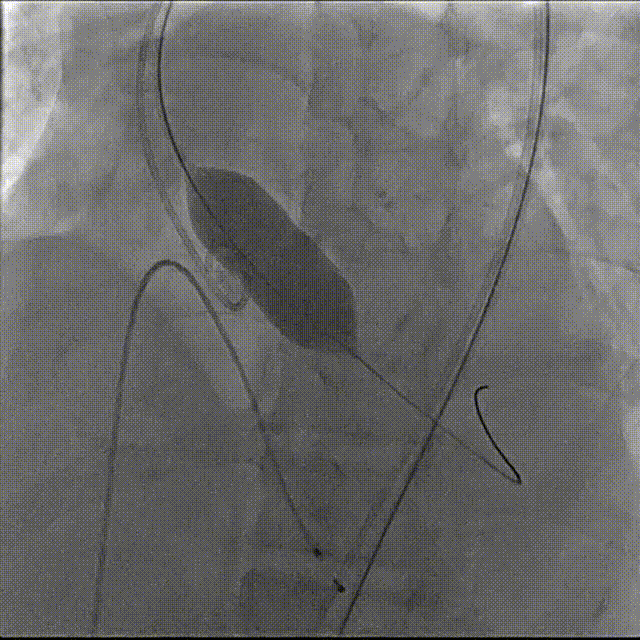
手术过程

主动脉根部造影

导丝跨瓣

23mm球囊预扩

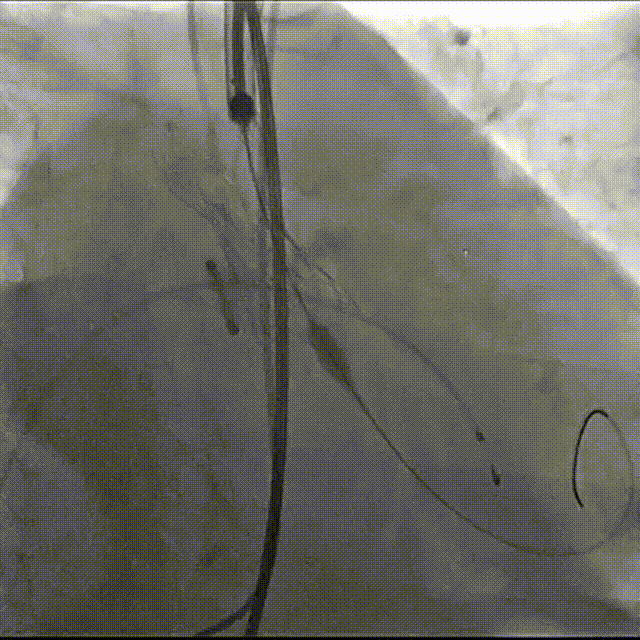
球扩后上输送器之前,心脏停跳,心脏按压复律。

第一次瓣膜定位,心脏再次停跳,按压复律           

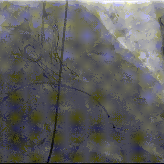
第二次完全释放

球囊后扩

最终造影

总结

在高危风险以上人群中,TAVR患者常合并多种疾病,如肾功能不全、二尖瓣反流、胸部放射治疗等。TAVR对肾功能的影响是复杂的:一方面,与手术相关的多方面,如对比剂,低血压,出血,可导致高达50%的TAVR病例可能出现急性肾损伤,基线肾功能不全的患者发生AKI的风险最高,并与短中期死亡风险显著增加。另一方面,TAVR术后或可改善心输出量,改善肾灌注,降低静脉血压,改善肾功能。主动脉瓣狭窄患者中,慢性肾脏疾病显著增加死亡率。此次手术经过两个小时紧张有序的操作,手术取得圆满成功,术中患者心脏多次停跳,术后预后良好。沛嘉医疗的TaurusElite二代瓣膜,强径向力兼顾顺应性,从容应对高钙化、二叶瓣,最大程度降低瓣膜位移;外裙边设计,有效封堵,进一步降低瓣周漏;稳定多次可回收,亦可重新跨瓣。

专家简介

汪砚雨

河南科技大学第一附属医院

景华院区心内科副主任,医学博士,主任医师。曾在沈阳军区总医院进修先天性心脏病的介入诊疗技术,在日本草津心血管病中心进修复杂冠脉病变、CTO(冠状动脉慢性完全闭塞)病变的介入治疗技术。对心血管内科疾病的诊治具有丰富的临床经验,擅长冠心病、先天性心脏病、心脏瓣膜病、心力衰竭、高血压病等疾病的诊断及治疗工作。

阅读数: 684